万千商家帮你免费找货
0 人在求购买到急需产品
- 详细信息
- 询价记录
- 文献和实验
- 技术资料
- 服务名称:
神经元尼氏染色实验服务
- 提供商:
晶莱生物
- 规格:
样本
实验技术简介:
Franna Nissl (1860-1919) 1892年创立了Nissl染色法,以发现Nissl小体和Nissl变性而闻名。常用的碱性染料有Cresyl violet (焦油紫,甲.酚紫,克紫);thionine (硫荲);tolridine blue (甲苯.胺蓝)等。
尼氏体为嗜碱性物质,又称嗜染质,光镜 下呈斑块状或细粒状散在均匀分布。在一些大型的运动神经元,尼氏体大而多,宛如虎皮花纹,又称“虎斑”。电镜下,尼氏体由大量平行排列的粗面内质网和其间 的游离核糖体组成。尼氏体是神经元胞体细胞质的特征性结构之一,神经元胞质另外一特征性结构为神经原纤维。
实验技术原理:
正常的神经细胞都含有一定数量的尼氏体,它们主要分布于神经细胞 的浆中,形状有大有小,如三角形,有的为椭圆形。这些物质能被大部分的蓝色染料所染色,这些染料如焦油坚牢紫(Cresyl fast violet)亚 甲蓝(m*th*lene blue)甲苯.胺蓝(toluidine blue)硫董(thionin)等钭其染为蓝色。但是,当神经细胞受伤后,胞质内 的尼氏体更可发生变化,严重的可消失。
实验操作流程:
1、切片脱蜡至水
2、用焦油坚牢紫水溶液浸染20-30分钟
3、水洗
4、用95%酒精分化
5、无.水.酒.精脱水,二甲苯透明,中性树胶
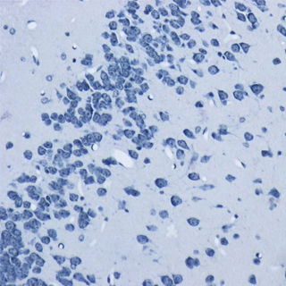
实验结果:
神经细胞单位:紫-蓝色 细胞核:紫-蓝色 尼氏体:紫-深蓝色

神经元尼氏(nissl)染色
客户提供:
1、组织样品:新鲜组织放入液氮或-80度保存,组织不少于100mg;
2、培养细胞:通过细胞计数取不少于2×106个细胞于EP管,加入0.5ml生理盐水或蛋白保护剂,混匀后保存于冰箱(-80℃,避免反复冻融);
3、血液细胞标本:以抗凝管保存血样或以淋巴细胞分离液分离细胞后加入0.5ml生理盐水或蛋白保护剂,保存(-80℃可长期保存,避免反复冻融);
4、血清或细胞培养液标本:离心去掉杂质后取上清入EP管,保存(4℃可保存15-20天,-80℃可长期保存,避免反复冻融);
5、石蜡切片,冰冻切片以及细胞爬片,涂片等。
6、样本运输:可选择以下任何一种方式寄送标本
组织样本、细胞样本以干冰运输或加入蛋白保护剂后,加冰袋寄送;
细胞样本也可直接寄送培养瓶(密封保证不污染、培养液不漏出);
血清或上清液直接加冰袋寄送(送视路程远近2-3天可到达)。
交付标准:
1、图片;
2、完整项目报告(材料、试剂、仪器、方法、数据分析、实验结果)。
其他:
1、应用酒精分化切片,要迅速,防止过度分化,将切片上的颜色全部脱掉。
晶莱生物病理类实验服务总览表
| 类别 | 服务项目 | 备注 | 说明 |
| 制 片 前 处 理 |
石蜡包埋 | 包埋1块 | 固定后组织按客户要求取材,脱水,包埋成蜡块(进口石蜡) |
| 特殊包埋(细胞、材料、眼球等) | 包埋1块 | 包埋要求难度较高(含特殊位置取材) | |
| 石蜡组织芯片 | 阵列点位包埋 | 客户提供供体蜡块及标本信息 | |
| 软化(肝硬化、皮肤结痂、植物等) | 1块标本软化 | 较为坚硬组织软化处理 | |
| 骨组织脱钙(小) | 1块标本脱钙 | 最大面≤2cm²骨组织脱钙 | |
| 骨组织脱钙(大) | 1块标本脱钙 | 最大面>2cm²骨组织脱钙 | |
| 骨组织EDTA脱钙(小) | 1块标本脱钙 | 最大面≤2cm²骨组织EDTA脱钙 | |
| 骨组织EDTA脱钙(大) | 1块标本脱钙 | 最大面>2cm²骨组织EDTA脱钙 | |
| 石蜡白片 | 石蜡白片1片 | 组织防脱载玻片石蜡白片 | |
| 冰冻组织制备 | 冰冻包埋及前处理 | 4%多.聚.甲.醛固定的组织或OCT包裹的新鲜组织(-80℃或液氮内保存,干冰运输) | |
| 冰冻切片 | 冰冻组织切片1片 | 同一组织连续切片3张以上免制备费 | |
| 染 色 |
HE染色 | 染色含切片 | 苏木.精-伊红染色法,观察组织形态 |
| 油红O染色 | 染色含冰冻切片 | 4%多.聚.甲.醛固定,冰冻切片。对组织内脂质(如脂滴)染色 | |
| 番红O固绿染色 | 染色含切片 | 常用于植物、软骨组织形态染色 | |
| Masson染色 | 染色含切片 | 观察组织纤维化和肌纤维的鉴别及组织纤维化程度 | |
| 天狼猩红染色 | 染色含切片 | 观察组织纤维化程度,及偏振光进行胶原亚型的分区 | |
| PAS糖原染色 | 染色含切片 | 观察肝脏、肌肉等组织内糖原的变化;肠胃肺支气管等杯状细胞酸性粘液物质变化 | |
| 阿利新蓝染色 | 染色含切片 | 常用于软骨组织或早幼粒细胞、巨核细胞染色 | |
| 甲苯.胺蓝染色 | 染色含切片 | 观察软骨组织形态或组织内肥大细胞的数量及分布 | |
| 尼氏染色 | 染色含切片 | 观察脑或脊髓等中枢神经系统内神经元尼氏体的变化 | |
| LFB髓鞘染色 | 染色含切片 | 观察神经髓鞘的形态及变化 | |
| 普鲁士蓝染色 | 染色含切片 | 常用于吞噬细胞内铁粒子的含量和定位 | |
| VG染色 | 染色含切片 | 显示组织胶原纤维及肌纤维的形态及变化 | |
| EVG染色 | 染色含切片 | 观察血管弹性纤维的形态及变化 | |
| VonKossa染色 | 染色含切片 | 观察组织内病理性钙沉积情况 | |
| 刚果红染色 | 染色含切片 | 一般用于组织淀粉样变染色 | |
| 维多利亚蓝染色 | 染色含切片 | 用于弹力纤维染色 | |
| 免疫 组化 |
免疫组化预式 | 染色含切片 | 试两个一抗浓度后拍照 |
| 免疫组化正式 | 染色含切片 | 客户提供一抗,常用二抗公司提供 | |
| 免疫组化芯片 | 染色含切片 | 免疫组化组织芯片染色 | |
| 免疫荧光(石蜡-单标) | 染色含切片和拍照 | 需实验前商定拍照倍数及视野 | |
| 免疫荧光(石蜡-双标) | 染色含切片和拍照 | 需实验前商定拍照倍数及视野 | |
| 免疫荧光(冰冻-单标) | 染色含冰冻切片和拍照 | 需实验前商定拍照倍数及视野 | |
| 免疫荧光(冰冻-双标) | 染色含冰冻切片和拍照 | 需实验前商定拍照倍数及视野 | |
| 抗体代购 | 详情请咨询工作人员 | ||
| Tunel | Tunel(POD自带试剂盒) | 染色含切片 | 细胞凋亡染色,客户需提供Tunel试剂盒 |
| Tunel(公司提供试剂盒) | 细胞凋亡染色,公司提供罗氏POD Tunel试剂盒 | ||
| 凋亡试剂盒代购 | 染色含切片 | 详情请咨询工作人员 |
晶莱病理实验室:长沙实验室;北京实验室;提前预约免费上门取样!
更多病理学实验服务内容详情请咨询晶莱生物!
晶莱生物服务流程
收费标准/服务周期/提供结果:
欢迎咨询详谈,我们会根据您的方案及需求制定详细的服务协议。
更多实验技术服务请浏览网站其他内容,或来电咨询!
做实验,找晶莱!您的科研生涯,我们一路相伴!
【平台项目开展范围】慢病毒,腺病毒,RNAi类,分子生物实验,病理实验,免疫学实验,细胞实验,动物实验,蛋白组学实验,芯片类实验,并为广大客户朋友们提供课题设计指导、基金申请指导等服务。
【北京公司】北京经济技术开发区科创十三街12号院德为科技园1号楼5层
【长沙公司】长沙市高新区麓谷大道627号新长海中心A1-1203室
【晶莱生物】已开展了数千个实验外包项目。我们专注于医学课题研究,已从课题申请、方案设计、试剂采购、模型构造、标本检测、数据分析,各个环节积累了数千个成功案例经验,为数千个来自临床的科研工作者解决了大量的科研问题。更多相关实验服务信息请咨询晶莱生物
风险提示:丁香通仅作为第三方平台,为商家信息发布提供平台空间。用户咨询产品时请注意保护个人信息及财产安全,合理判断,谨慎选购商品,商家和用户对交易行为负责。对于医疗器械类产品,请先查证核实企业经营资质和医疗器械产品注册证情况。
- 作者
- 内容
- 询问日期
文献和实验大脑皮质的这些神经元是以分层方式排列的,除大脑的个别区域外,一般可分为6层,从表面至深层的结构如下(图7-31): 图7-31 大脑皮质6层结构 (1)银染法示神经元形态 (2)尼氏染色示6层结构 (3)髓鞘染色示神经纤维的分布 (1)分子层(molecular layer):神经元小而少,主要是水平细胞和星形细胞,还有许多与皮质表面平行的神经纤维。 (2)外颗粒层(external granular layer):主要由许多星形细胞和少量小型锥体
。 尼氏染色 染色 观察脑或脊髓等中枢神经系统内神经元尼氏体的变化 LFB髓鞘染色 染色 观察神经髓鞘的形态及变化 普鲁士蓝染色 染色 常用于吞噬细胞内铁粒子的含量和定位 VG染色 染色 显示组织胶原纤维及肌纤维的形态及变化 EVG染色 染色 观察血管弹性纤维的形态及变化 VonKossa染色 染色 观察组织内病理性钙沉积情况
因子的破膜 【求助】免疫组化检测VEGF 【求助】免疫电镜的切片问题,请教 【求助】ECM1(细胞外基质蛋白1)方面的试验 【求助】酶标板能否用洗液洗涤 【求助】P物质在脊髓中的分布 【求助】CK18与TPS的区别 【求助】尼氏染色的详细步骤 【求助】关于磷酸化CDK1免疫荧光的问题 【求助】检测肾脏石蜡切片的MCP-1含量 【求助】关于皮肤基底膜的染色方法 【求助】关于AEC染色 【求助】寻求噬菌体抗体库! 【求助】帮帮
技术资料暂无技术资料 索取技术资料









