万千商家帮你免费找货
0 人在求购买到急需产品
- 详细信息
- 询价记录
- 文献和实验
- 技术资料
- 提供商:
普瑞麦迪
- 服务名称:
玻片扫描服务
病理切片扫描服务申请单:https://jinshuju.net/f/1DPp2H
http://www.bioss.com.cn/newslook_02.asp?id01=256
服务简介:
普瑞麦迪提供的玻片扫描服务使用了新研发设计的玻片扫描影像分析系统,具有灵活的物镜配置、全自动上载玻片、超大尺寸扫描;可以将数万张病理切片图片无缝隙拼接成一张完整的切片,智能生成一张全视野的数字化切片,可以数字化、完整、永久存储玻片的信息。专家可以从一张宏观图像浏览,然后放到到任意位置任意倍率,观察切片细节。服务流程:

收费标准:
根据以下参数进行报价,具体价格体系请咨询电话4006-813-863:
* 切片内组织大小
* 总切片数量
* 单张切片扫描倍数
* 是否使用多层扫描融合技术服务规范:

技术优势:



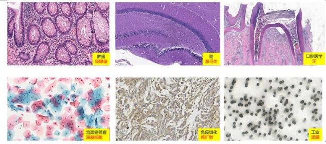
图像展示:



主要应用领域:

* 病理切片数字化
数字化信息更易于整理和浏览
可长期保存,并节省存放玻片空间
病理诊断方便读片
* 远程病理会诊
不受时间空间影响,可网上远程会诊
* 读片会研讨
与病理信息系统结合,实现真正的数字病理信息化,可多人网上讨论。
* 病理课程教学
将组织玻片制作成数字切片,应用于组织学教学。
* 人工智能(AI)病理诊断
解决细胞学医生不足的问题
解决阅片效率问题
解决阅片医生水平参差不齐的问题
制片要求:
1) 需要扫描的部分尽量位于切片中间,请勿靠近边缘
2) 切片表面光滑,无划痕和与液体残留;
3) 封片保持均匀,且无溢胶现象
4) 切片尺寸:
长:75-76mm
宽:25-26mm
厚度:0.9-1.2mm
*邮寄时请标注:切片组织种属,切片类型,数量
相关设备:
我们公司同时代理了生强玻片扫描仪和Nanolive 3D全息成像显微镜,详情请点击下方链接了解。风险提示:丁香通仅作为第三方平台,为商家信息发布提供平台空间。用户咨询产品时请注意保护个人信息及财产安全,合理判断,谨慎选购商品,商家和用户对交易行为负责。对于医疗器械类产品,请先查证核实企业经营资质和医疗器械产品注册证情况。
- 作者
- 内容
- 询问日期
文献和实验医科大学附属逸夫医院薛斌教授及复旦大学李蓬院士为本文的共同通讯作者。该成果得到了国家基金委、江苏省自然科学基金的大力资助。 在本次研究中,小鼠脂滴和 Cidea 荧光标记图片使用了 Evident SpinSR 活细胞超分辨转盘共聚焦显微成像系统,在南京医科大学附属逸夫医院中心实验室生物样本全景成像室完成拍摄。 生物样本全景成像室将转盘式共聚焦超分辨率显微镜 Evident SpinSR 和全玻片扫描系统 VS200 进行融合,使实验更加智能人性化。Evident SpinSR 系统无需
应用案例 | 抑郁症患者的福音,Cell 杂志发文揭示心理韧性的环路机制
可作为诱导心理韧性的潜在靶点。 图 2 投射向 PV 神经元的脑区代表图和统计图琶洲实验室脑疾病与健康研究中心李环宇和朱旻桢为本文的共同第一作者,朱心红教授为本文的唯一通讯作者。该研究得到国家自然科学基金委、科技创新 2030 重大项目的资助。本文投射向 PV 神经元的脑区的发现,是基于神经环路示踪技术实现,即对荧光标记的脑组织切片图像进行信号对比和分析。如图 2 所示,文章中的显微图像数据展示了不同核团接受的 PV 神经元的逆向投射。这些数据经由 Olympus 科研级全玻片扫描系统 VS
文献速递|Science 子刊 :少突胶质前体细胞调控免疫反应及多发性硬化症早期脱髓鞘新机制
了 OPC 作为免疫反应调节细胞的全新功能,发现了 OPC 通过 Wnt 信号激活并分泌趋化因子 CCL4 的机制,揭示了 T 细胞与 cMacrophage 协同作用于早期脱髓鞘损伤的具体细胞与分子机制,为多发性硬化症的早期干预治疗提供了新的理论基础和潜在药物靶点。 神经科学研究者需要对从单个细胞到整体组织、大脑、表层和深层区域进行详细观察。本研究中组织样本显微图像使用奥伟登(Evident)的研究级全玻片扫描系统 VS200 拍摄。VS200 可以对整个样本进行高速高分辨率全景扫描,以此取代
技术资料暂无技术资料 索取技术资料










