万千商家帮你免费找货
0 人在求购买到急需产品
- 详细信息
- 文献和实验
- 技术资料
- 提供商:
上海达为科生物科技有限公司
- 服务名称:
免疫组化实验
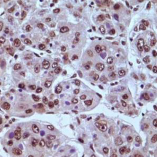
一、实验流程概述
小鼠肺组织免疫组化实验的核心流程包括以下步骤:
- 样本固定与处理:采用4%多ju甲醛固定24小时,或福尔马林固定后梯度脱水、石蜡包埋。
- 切片制备:石蜡切片厚度通常为5 μm,需在37℃烘箱中烘干以增强组织附着力。
- 脱蜡与水化:依次使用二甲苯(Ⅰ、Ⅱ、Ⅲ)和无水乙醇梯度脱蜡,再经梯度酒精(95%、85%、75%、50%)水化。
- 抗原修复:采用微波法(柠檬酸钠缓冲液,pH6.0,95-99℃维持15分钟)或高压加热法恢复抗原表位。
- 内源性酶灭活:3% H₂O₂处理20分钟以消除过氧化物酶活性。
- 封闭:使用5% BSA或血清封闭非特异性结合位点。
- 抗体孵育:一抗(如TTF-1、CD68)4℃过夜,二抗(HRP标记)37℃孵育30分钟。
- 显色与复染:DAB显色后苏木素复染(30秒至5分钟),梯度酒精脱水。
- 封片与分析:中性树胶封片,显微镜下观察棕褐色阳性信号。
二、小鼠肺组织样本处理关键点
-
取材与固定:
- 处死方法:推荐CO₂窒息法,避免颈椎脱臼导致肺组织损伤。
- 固定液选择:4%多ju甲醛(PLP固定液)可更好地保存抗原活性。
- 固定时间:4℃固定24小时,避免过度固定导致抗原交联。
-
脱水与包埋:
- 梯度酒精(70%-100%)脱水后,石蜡包埋需控制温度(60-65℃)以防组织收缩。
-
防脱片处理:
- 使用多聚赖氨酸包被载玻片,烤片时间延长至2小时(65℃)。
- 抗原修复后缓慢降温,避免热应力导致组织脱落。

风险提示:丁香通仅作为第三方平台,为商家信息发布提供平台空间。用户咨询产品时请注意保护个人信息及财产安全,合理判断,谨慎选购商品,商家和用户对交易行为负责。对于医疗器械类产品,请先查证核实企业经营资质和医疗器械产品注册证情况。
文献和实验相关实验
性笔在组织周围画圈,然后滴加稀释好的一抗,如果做阴性对照实验,就在对照组的组织上滴加 PBS。加完一抗后于 4 °C湿盒中孵育过夜。(抗体的最佳稀释比应预先通过实验确定,时间控制在 15h 以上)。 PBS 冲洗切片 3 次,每次 3 min,吸水纸擦干切片后滴加辣根过氧化物酶标记二抗 ,37 ℃ 孵育 30 min。 信号检测 PBS 冲洗切片 4 次,每次 3 min,甩去 PBS 液体后吸水纸擦干切片,每张切片滴加新鲜配制的 DAB 显色液,显微镜下观察,阳性信号为棕黄色或棕褐色,时间
免疫组化(IHC)实验流程。
作为实验动物中的最为炙手可热的一员,小鼠在人们认识生命现象了解相应机理过程中发挥了无可替代的作用,在基础医学研究领域内更是拥有无与伦比的地位。那么,这群拉丁名为 Musmusculus 的小动物是如何从最初的 home mouse 演变为 laboratory mouse,成为实验动物界的制霸呢? 故事需要追溯到 100 多年前。1900 年,尘封 30 多年的 Mendel 遗传定律被来自欧洲几个科学家 deVries, Correns,Tschermark 重新发现,使得生
技术资料暂无技术资料 索取技术资料
小鼠肺组织免疫组化实验
询价










