万千商家帮你免费找货
0 人在求购买到急需产品
- 详细信息
- 文献和实验
- 技术资料
- 提供商:
上海达为科生物科技有限公司
- 服务名称:
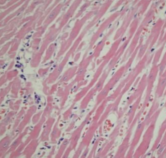
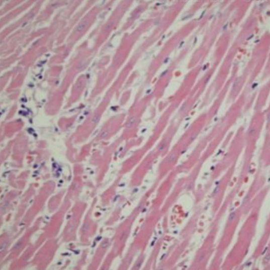
上海心脏HE染色实验
常规组织切片基本为无色透明,在一般光镜下不易观察,因此要根据组织不同结构的特异性来选择不同的实验方法。苏mu精—伊红染色法,简称HE染色法,病理技中常用的染色法之一 。苏mu精染液为碱性,使细胞核着紫蓝色;伊红为酸性,使细胞质着红色,HE染色法是组织学、病理学研究中使用广泛的技术方法,用来观察组织的基本结构。
整个染色过程包括五个内容:脱蜡,染色,脱水,透明和封固。
(一)脱蜡:
1.从温箱中取出烤干的切片,立即投入二甲苯中脱蜡5~10min(可在二瓶中进行),脱蜡时间长短取决于蜡是不溶解。气温低可延长时间,气温高可适当缩短时间或在温箱中加速脱蜡。
2.移入无水jiu精(二瓶)中,约2min。
3.移入90%酒精中(二瓶),约2min。
4.移入80%酒精中(二瓶),约2min。
5.移入70%酒精中,约2min。
6.移入水中,洗去酒精,约2~3min。
7.移入蒸馏水中,约2min。
(二)染色:
1.移入苏mu素中,浸染8~15min,一般以稍深染为宜。
2.移入水中,洗去苏mu素和浮色,约1~2min。
3.移入分化液(1%盐酸酒精)中,分化几秒至30秒钟,使切片褪色至淡兰红色即可。分化的作用,可使细胞浆兰色脱去,而细胞核更加清晰,鲜丽,分化不足时,胞浆带兰,胞核过染,分化过度时,胞核太淡,难以辩认,可再退回苏mu素染液, 延长时间。
4.移入流水中,洗涤30~60min,使组织呈鲜兰色或天兰色(兰化)。
5.移入伊红液中,浸染2~5min,如着染缓慢 , 可在伊红液中加入冰cu酸 (100ml伊红液加1~2滴冰cu酸)以助染。
6.移入水中,洗去伊红浮液,并用纱布擦净玻片上的多余染料。
(三)脱水:
1.吸去玻片上的水分后多入80%酒精中,(二瓶)脱水,约1~2min, 如在酒精中褪色很快时,可迅速移入90%酒精或返回伊红液中复染。
2.移入90%酒精中(二瓶)脱水,约2~4min。
3.移入无水jiu精(酒精)(二瓶)脱水,约4~8min。
(四)透明
1.移入二甲苯Ⅰ中透明3~5min。
2.移入二甲苯Ⅱ中透明5~10min。
(五)封固:
用树胶封固,先从二甲苯Ⅱ中取出切片,将组织外围的二甲苯迅速擦去,在滴上一滴树胶于组织片上,然后取干净的盖玻片,仔细加在封固剂上,慢慢压平, 使盖片位置适中。切片封固后,放在温箱中烤干,或平置凉干后装盒。

风险提示:丁香通仅作为第三方平台,为商家信息发布提供平台空间。用户咨询产品时请注意保护个人信息及财产安全,合理判断,谨慎选购商品,商家和用户对交易行为负责。对于医疗器械类产品,请先查证核实企业经营资质和医疗器械产品注册证情况。
文献和实验相关专题 本篇文章主要介绍了采用苏木素(Hematoxylin)-伊红(Eosin)染色法对细胞染色的实验原理、实验用品和具体实验步骤。 HE染色法 一、原理 苏木素(Hematoxylin)-伊红(Eosin)染色法,简称HE染色法。 HE染色法采用两种染料即碱性染料苏木素和酸性染料伊红分别于细胞核 和细胞质发生作用,使细胞的微细结构通过颜色而改变它的折光率,从而在光镜下能清晰地呈现出细胞图像。该染色过程既有化学
一、蟾蜍心活动起搏点的观察 【实验目的】 1. 学习蟾蜍心脏的暴露方法,熟悉其表面结构。 2. 观察心脏不同部位的活动规律及相互关系,确定蟾蜍心活动的起搏点。 【实验原理】 心脏的特殊传导系统具有自动节律性(autorhythmicity),但各部分的自律性高低不同,两栖类动物以静脉窦的自律性最高(哺乳类动物以窦房结的自律性为最高)。正常心脏每次兴奋都从自律性最高的部位开始,依次传到心房、心室,相继引起心房、心室收缩。把自动节律性最高的部位称为心脏的起搏
相关专题 [实验目的] 用结扎法观察两栖类动物心脏的起搏点和心脏不同部位传导系统的自动节律性高低。 [实验原理] 心脏的特殊传导系统具有自动节律性,但各部分的自动节律性高低不同。两栖类动物的心脏起搏点是静脉窦(哺乳动物 的是窦房结)。正常情况下,静脉窦(窦房结)的自律性最高,能自动产生节律性兴奋,并依次传到心房、房室交界区、心室,引起整个心脏兴奋和收缩,因此静脉窦(窦房结)是主导整个心脏兴奋
技术资料暂无技术资料 索取技术资料









