万千商家帮你免费找货
0 人在求购买到急需产品
- 详细信息
- 文献和实验
- 技术资料
- 提供商:
上海达为科生物科技有限公司
- 服务名称:
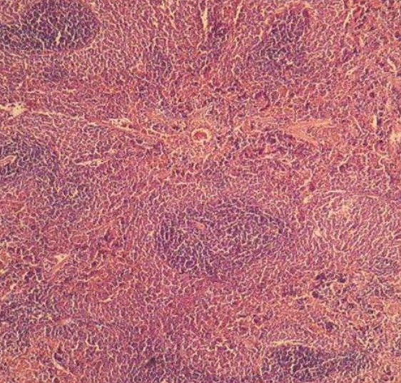
上海脾脏HE染色实验
实验步骤
-
样本采集与固定
-
动物选择与麻醉:选择合适的小鼠或大鼠等实验动物,使其麻醉。
-
样本采集:迅速打开动物腹腔,取出脾脏,尽量避免挤压和过度触碰,用预冷的生理盐水冲洗脾脏,去除表面血污和杂质,用滤纸吸干水分。
-
固定:将脾脏组织块置于 4% 中性缓冲甲quan溶液(又称 10% 中性缓冲甲quan溶液,由 40% 甲quan溶液稀释 10 倍制得)中固定 24-48 小时。Helly 固定液也是制作大鼠脾石蜡切片 HE 染色标本的理想固定液。
-
-
脱水与透明
-
脱水:将固定好的组织依次放入 70%、80%、90%、95% 和 100% 的乙醇中进行脱水,每个浓度的乙醇中停留 30 分钟左右。脱水过程中应注意避免组织干燥,防止组织收缩和变形。
-
透明:将脱水后的组织放入二甲苯中透明 2 次,每次 15-30 分钟,使组织完全透明,便于后续石蜡包埋。
-
-
石蜡包埋
-
浸蜡:将透明后的组织放入 60℃左右的石蜡中进行浸蜡,使组织块表面充分浸润石蜡。
-
包埋:将浸蜡后的组织块放入模具中,注入熔化的石蜡,确保组织块完全被石蜡包围,待石蜡凝固后形成蜡块。
-
-
切片
-
修蜡块:用刀片将蜡块修整成合适的形状和大小,使切片更加平整和规则。
-
切片:将蜡块安装在切片机上,切成厚度为 3-5μm 的切片。切片过程中应保持切片机刀片锋利,避免切片出现褶皱和破裂。
-
展片与烤片:将切片放入 40℃左右的水浴中展片,使切片完全展开,然后捞至载玻片上,置于烤箱中烤片 1-2 小时,使切片与载玻片粘附牢固。
-
-
脱蜡与水化
-
脱蜡:将切片放入二甲苯中脱蜡 2 次,每次 15 分钟,使切片中的石蜡完全溶解。
-
水化:将脱蜡后的切片依次放入 100%、95%、80%、70% 的乙醇中进行水化,每个浓度的乙醇中停留 5 分钟左右,最后用蒸馏水冲洗切片,使切片充分水化。
-
-
染色
-
苏木素染色:将水化后的切片放入苏木素染液中染色 5-10 分钟,使细胞核染成蓝色。
-
分化与冲洗:将切片放入 1% 盐酸酒精溶液中分化数秒,使过量的苏木素染料分化掉,然后用自来水冲洗数分钟,直到切片上的蓝色变为淡蓝色为止。
-
伊红染色:将切片放入伊红染液中染色 2-3 分钟,使细胞质和细胞外基质染成红色。
-
-
脱水与透明
-
脱水:将染色后的切片依次放入 70%、80%、90%、95% 和 100% 的乙醇中进行脱水,每个浓度的乙醇中停留 3-5 分钟,使切片完全脱水。
-
透明:将脱水后的切片放入二甲苯中透明 2 次,每次 10 分钟左右,使切片变得透明,便于后续观察。
-
-
封片
-
滴加封片剂:在切片上滴加适量的中性树胶等封片剂。
-
盖上盖玻片:用镊子夹起盖玻片,轻轻覆盖在切片上,注意避免产生气泡,待封片剂凝固后即可。
-

风险提示:丁香通仅作为第三方平台,为商家信息发布提供平台空间。用户咨询产品时请注意保护个人信息及财产安全,合理判断,谨慎选购商品,商家和用户对交易行为负责。对于医疗器械类产品,请先查证核实企业经营资质和医疗器械产品注册证情况。
文献和实验相关专题 本篇文章主要介绍了采用苏木素(Hematoxylin)-伊红(Eosin)染色法对细胞染色的实验原理、实验用品和具体实验步骤。 HE染色法 一、原理 苏木素(Hematoxylin)-伊红(Eosin)染色法,简称HE染色法。 HE染色法采用两种染料即碱性染料苏木素和酸性染料伊红分别于细胞核 和细胞质发生作用,使细胞的微细结构通过颜色而改变它的折光率,从而在光镜下能清晰地呈现出细胞图像。该染色过程既有化学
清泓生物技术(上海)有限公司 1. 稳定高效的蛋白表达平台 真核表达系统 –哺乳细胞表达平台, - 有活性的蛋白:哺乳细胞表达平台有效保证目的蛋白正确折叠和正确修饰 - 蛋白复合物:多个蛋白共表达,表达和纯化制备蛋白复合体 - 哺乳细胞:众多蛋白,尤其是分泌蛋白最理想的宿主细胞 - 快速高效:一个月内得到目的蛋白 - 最优流程:细胞生长,蛋白表达和纯化工艺流程 - (可选)蛋白活性检测服务 真核表达系统 –昆虫细胞表达平台
2010 年 7 月 18 日应上海市公共卫生临床研究中心的邀请,上海锐赛生物技术有限公司组织参加了为上海市各大医院临床医生举办的上海市临床科研基本实验技能培训,培训的内容是细胞培养相关操作。细胞培养技术是生物医学研究领域的重要组成部分,安全稳定的细胞培养能够提供良好的实验依据。目前许多生物技术服务企业与科研单位都对如何更好的解决细胞培养问题存在很大疑问。就此基础问题上海锐赛技术部的黄博士结合多年的生物操作经验,详尽介绍了细胞培养技术,并将理论与实际操作作为课程的重点,向各单位
技术资料暂无技术资料 索取技术资料










