万千商家帮你免费找货
0 人在求购买到急需产品
- 详细信息
- 文献和实验
- 技术资料
- 提供商:
上海达为科生物科技有限公司
- 服务名称:
酸性磷酸酶染色(ACP)
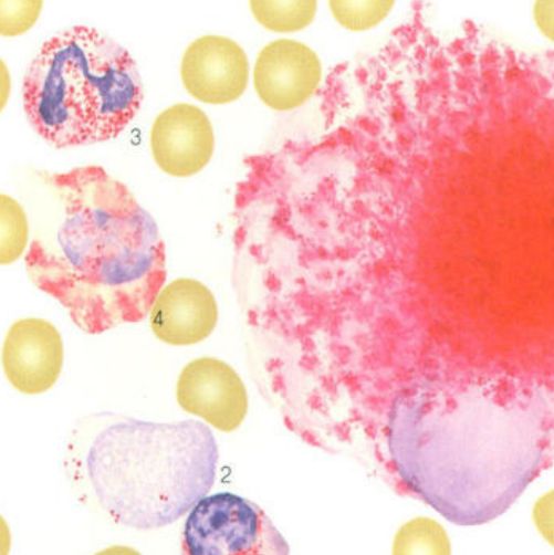
酸性磷酸酶染色原理:血细胞内的酸性磷酸酶在酸性条件下,将基质中的磷酸萘酚AS-BI水解,释放萘酚AS-BI,萘酚AS-BI与六偶氮付品红偶联,形成不溶性红色沉淀,定位于胞质内,如果血细胞的胞质呈红色为阳性反应,无红色为阴性反应。抗酒石酸酸性磷酸酶染色是用相同方法制备2份基质液,一份再加入适量L-酒石酸,另一份不加L-酒石酸。取两张相同标本的涂片,分别用这2种不同基质液作酸性磷酸酶染色。如果血细胞内的酸性磷酸酶耐L-酒石酸抑制的都呈阳性反应。如果不耐L-酒石酸抑的抑制不加L-酒石酸的呈阳性反应,而加L-酒石酸的呈阴性反应。
酸性磷酸酶染色结果判断:阳性结果为胞质中出现鲜红色颗粒沉淀:
①(-)胞质无色;②(+)胞质出现淡红色颗粒;③(++)胞质布满鲜红色颗粒;④(+++)胞质充满深红色颗粒。
正常血细胞的染色反应:粒细胞、单核细胞、淋巴细胞、巨核细胞、血小板、浆细胞、巨噬细胞呈阳性。
风险提示:丁香通仅作为第三方平台,为商家信息发布提供平台空间。用户咨询产品时请注意保护个人信息及财产安全,合理判断,谨慎选购商品,商家和用户对交易行为负责。对于医疗器械类产品,请先查证核实企业经营资质和医疗器械产品注册证情况。
文献和实验目的要求 1.熟悉酸性磷酸酶显示方法的原理及操作步骤 2.观察酸性磷酸酶在细胞中的分布 基本原理 酸性磷酸酶(acid phosphatase,ACP)主要存在于巨噬细胞,定位于溶酶体内。在溶酶体膜稳定完整时,底物不易渗入,ACP活力微弱或无活性,经固定,在合适pH条件下,膜本身变为不稳定,逐渐改变其渗透性,底物可以渗入,酶活力被显示。 ACP在酸性条件
阳性结果为胞质中出现鲜红色颗粒沉淀医学教育|网搜集整理:①(一)胞质无色。 ②(+)胞质出现淡红色颗粒。③(++)胞质布满鲜红色颗粒。④(+++)胞质充满深红色颗粒。
血袋标签上ACP、CPD或CPDA是抗凝保存液配方的英文缩写词。 众所周知,血液到体外必须与抗凝保存液混合才能使血液不凝固,并且能够保存,目前常用的抗凝剂有三种: 一种叫酸性枸酸盐-葡萄糖溶液(ACP); 一种叫枸酸盐-磷酸盐-葡萄糖溶液(CPD); 还有一种在CDP保存液中加入腺嘌呤A变成(CPDA)。 ACD血只能保存21天,CPD血保存28天,而CPDA血在4摄氏度可达35天。











