万千商家帮你免费找货
0 人在求购买到急需产品
- 详细信息
- 询价记录
- 文献和实验
- 技术资料
- 提供商:
上海达为科生物科技有限公司
- 服务名称:
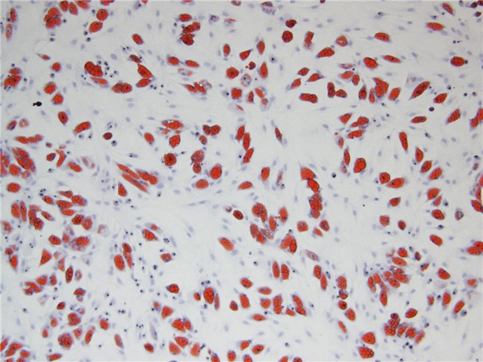
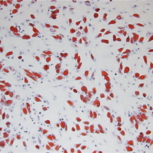
油红O染色
一、油红o染色实验步骤
1.标本 人或动物的肝组织等,甲醛—钙液固定,冰冻切片,厚10μm。
2. 改良的油红O染色液 油红O 0. 5g, 50%乙醇100ml。将油红O溶于乙醇内,且不断搅拌至完全溶解即可。配制好的染液置磨口瓶内保存备用。
3. 染色步骤 ①切片干燥后入50%乙醇稍洗;②油红O乙醇染液作用8min;③50%乙醇分化,自来水终止分化;④苏木素复染核,自来水返蓝,甘油明胶封片.
二、注意事项
1. 由于脂肪易溶于有机溶剂,所以一般用冰冻切片染色来显示
2. 做脂肪染色的冰冻切片不能太薄,过薄的切片常会使脂质丢失
3. 苏木素复染时间不能过长
4. 染色结果不能长期保存,应尽快观察及照相。
上海达为科生物科技有限公司,公司位于上海长江软件园,实验室面积600多平方米。我们拥有专业的实验室、先进的实验设备和经验丰富的科研技术人员。公司目前具备较好的生物学、医学技术服务平台,能够为广大客户提供医学科研样本检测、合作研究、开发及生产服务。

风险提示:丁香通仅作为第三方平台,为商家信息发布提供平台空间。用户咨询产品时请注意保护个人信息及财产安全,合理判断,谨慎选购商品,商家和用户对交易行为负责。对于医疗器械类产品,请先查证核实企业经营资质和医疗器械产品注册证情况。
- 作者
- 内容
- 询问日期
文献和实验油红 O属于偶氮染料,是很强的脂溶剂和染脂剂,与甘油三酯结合呈小脂滴状。脂溶性染料能溶于组织和细胞中的脂类,它在脂类中的溶解度比在溶剂中大。当组织切片置人染液时,染料则离开染液而溶于组织内的脂质(如脂滴)中,使组织内的脂滴呈橘红色。 一、油红O染液的配制 1.油红O 1g 异丙醇 100ml 2.油红O 足量 异丙醇 100ml 配成油红O饱和溶液,使用时以油红O饱和液一份加蒸馏水两份,过滤后使用。 二、染色程序 1.切片用甲醛―钙
脂肪和类脂(磷脂、糖脂、固醇脂等)统称为脂类。它是构成人体组织的正常成分,不溶于水而易溶于酒精、乙醚、氯仿等脂溶剂中。在化学组成上,脂类属于脂肪酸的酯或与这些酯有关的物质。脂类的主要功能是氧化供能。脂肪主要存积于脂肪组织中,并以油滴状的微粒存在脂肪细胞浆内。在病理检验中,脂类染色法最常用以证明脂肪变性,脂肪栓子以及肿瘤的鉴别。脂类染色使用最广泛的染料是苏丹染料,最常用的有苏丹Ⅲ,苏丹Ⅳ,苏丹黑及油红O等。脂肪被染色,实际上是苏丹染料被脂肪溶解吸附而呈现染料的颜色。经研究认为组织中脂质在液态或半
原理: 苏丹红染料在脂类物质中的溶解度大于其在溶剂中的溶解度,如果染料与含有脂类的试样接触,便有大量染料进入脂类物质的结构内,使这些结构呈红色。多用苏丹红染料、油红O、尼罗蓝等溶于脂类的染料染色,使脂质呈色。也可用四氧化锇染色,脂肪酸或胆碱可使四氧化锇还原为二氧化锇而呈黑色。 配制试剂:1. 苏丹红Ⅲ染色液:将1g苏丹红Ⅲ溶于加温的70%乙醇溶液中过滤备用; 2. 甲醛钙固定液:将10ml甲醛和1g CaCl2 混合加水至100ml; 3. 甘油明胶:将12g明胶











