相关产品推荐更多 >
万千商家帮你免费找货
0 人在求购买到急需产品
- 详细信息
- 文献和实验
- 技术资料
- 免疫原:
Recombinant human laminin-alpha 3B N-term ~190 kDa fragment. Alpha 3A chain is truncated form ,and alpha 3B chain is full length.
- 亚型:
IgG2a
- 形态:
Liquid
- 保存条件:
Store as concentrated solution. Centrifuge briefly prior to opening vial. For short-term storage (1-2 weeks), store at 4ºC. For long-term storage, aliquot and store at -20ºC or below. Avoid multiple freeze-thaw cycles.
- 克隆性:
Monoclonal
- 标记物:
Unconjugated
- 适应物种:
Human
- 保质期:
12 months from the shipping date of the product.
- 抗原来源:
Human
- 目录编号:
GTX17685
- 级别:
Primary Antibodies
- 库存:
Available
- 供应商:
GeneTex
- 宿主:
Mouse
- 应用范围:
WB, IHC-P, IHC-Fr, IP, ELISA, Purification
- 靶点:
This antibody specifically detects alpha 3A in IHC. However, this clone may cross react with alpha 3B in ELISA, IP and Western Blot.
- 抗体英文名:
Laminin alpha 3A antibody [BG5]
- 抗体名:
Laminin alpha 3A 抗体 [BG5]
- 规格:
100 μl
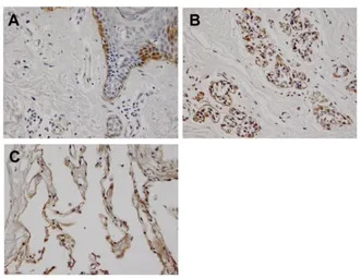
IHC-P analysis of various tissue samples using GTX17685 Laminin alpha 3A antibody [BG5].
Figure A : Normal skin tissue (paraffin slice)
Figure B : Normal mammary gland (paraffin slice)
Figure C : Normal lung tissue (paraffin slice)
ELISA anaiysis of five recombinant human laminins using GTX17684 Laminin alpha 3B antibody [F7] and GTX17685 Laminin alpha 3A antibody [BG5].
Protein structure of laminin-332s and binding sites of antibodies
WB analysis of recombinant human intact laminin 3A32 protein (containing alpha 3A, Beta 3, gamma 2 chains) using GTX17685 Laminin alpha 3A antibody [BG5].
Dilution : 1:10000
Reduced condition : 7% gel
Non-reduced condition : 5% gel
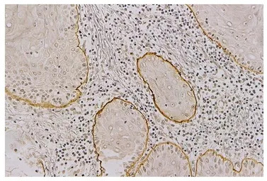
IHC-P analysis of skin cancer tissue using GTX17685 Laminin alpha 3A antibody [BG5].
风险提示:丁香通仅作为第三方平台,为商家信息发布提供平台空间。用户咨询产品时请注意保护个人信息及财产安全,合理判断,谨慎选购商品,商家和用户对交易行为负责。对于医疗器械类产品,请先查证核实企业经营资质和医疗器械产品注册证情况。
文献和实验PMID: 18670895, 2008
PMID: 27685891, 2016
PMID: 21276136, 2011
in detail here. The first protocol is essentially a dual-pulldown assay employing Flag-tagged DNMT3A or antibody of choice for an endogenous protein and 5' biotin linked antisense RNA (Figure 1a), while the second protocol is a triple pulldown assay which essentially expands
v468. chapter 4 WNT 细胞通路 检测细胞GSK3活性与表达水平
organelles. Two isoforms areencoded by separate genes; GSK3b (chromosome 19q13.2)encodes a protein of 51 kDa, while GSK3b (chromosome 3q13.3)encodes a protein of 47 kDa (1 – 3) . The difference in size is dueto a glycine-rich N-terminal insertion in GSK3a
in detail here. The first protocol is essentially a dual-pulldown assay employing Flag-tagged DNMT3A or antibody of choice for an endogenous protein and 5' biotin linked antisense RNA (Figure 1a), while the second protocol is a triple pulldown assay which essentially expands
技术资料暂无技术资料 索取技术资料







![ATM (phospho Ser1981) antibody [10H11.E12]](https://img1.dxycdn.com/2022/0328/152/7282537028480400453-14.jpg!wh200)



