相关产品推荐更多 >
万千商家帮你免费找货
0 人在求购买到急需产品
- 详细信息
- 文献和实验
- 技术资料
- 免疫原:
KLH-conjugated synthetic peptide encompassing a sequence within the center region of Laminin alpha 5. The exact sequence is proprietary.
- 亚型:
IgG
- 形态:
Liquid
- 保存条件:
Store as concentrated solution. Centrifuge briefly prior to opening vial. For short-term storage (1-2 weeks), store at 4ºC. For long-term storage, aliquot and store at -20ºC or below. Avoid multiple freeze-thaw cycles.
- 克隆性:
Polyclonal
- 标记物:
Unconjugated
- 适应物种:
Human, Mouse
- 保质期:
12 months from the shipping date of the product.
- 抗原来源:
Human
- 目录编号:
GTX55867
- 级别:
Primary Antibodies
- 库存:
Available
- 供应商:
GeneTex
- 宿主:
Rabbit
- 应用范围:
WB, IHC-P, IHC-Fr
- 浓度:
Batch dependent (Please refer to the vial label for the specific concentration.)
- 靶点:
Laminin alpha 5
- 抗体英文名:
Laminin alpha 5 antibody
- 抗体名:
Laminin alpha 5 抗体
- 规格:
100 μl
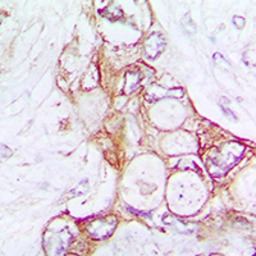
IHC-P analysis of formalin fixed human lung cancer tissue section using GTX55867 Laminin alpha 5 antibody.
Antigen retrieval : Heat mediated antigen retrieval with sodium citrate buffer (pH 6.0)
WB analysis of JAR (A), A431 (B), RAW264.7 (C) whole cell lysates using GTX55867 Laminin alpha 5 antibody.
风险提示:丁香通仅作为第三方平台,为商家信息发布提供平台空间。用户咨询产品时请注意保护个人信息及财产安全,合理判断,谨慎选购商品,商家和用户对交易行为负责。对于医疗器械类产品,请先查证核实企业经营资质和医疗器械产品注册证情况。
文献和实验Uchio-Yamada K et al., Am J Physiol Renal Physiol 2020 (PMID:32390516)
Sasamoto Y et al., Cell Rep 2022 (PMID:35947947)
In situ hybridisation to alpha satellite sequences (chromosome specific)
Alpha satellite sequences, whilst highly repetitive, are specific to each individual chromosome. These sequences flank the centromeres and can present a target measured in megabases. In this protocol a biotin or digoxigenin labelled DNA
CD49a/CD49b/CD49c/CD49d/CD49e/CD49f分子
originally identified on activated human T cells, later on fibroblasts, platelets, others. Six forms, VLA1 to VLA6, have been identified, each with distinct alpha chain (numbered alpha-1 to alpha-6) associated with a common beta chain. CD49a - Laminin
marrow. The prime suspect: an adhesion molecule called alpha2 integrin. The molecule showed increased expression on memory cells, and its ligand is predominantly expressed in bone marrow tissue. Also, when the researchers blocked alpha2 integrin
技术资料暂无技术资料 索取技术资料





![Beclin 1 antibody [AT45E8]](https://img1.dxycdn.com/2022/0328/968/4574619345760800453-14.jpg!wh200)





