相关产品推荐更多 >
万千商家帮你免费找货
0 人在求购买到急需产品
- 详细信息
- 文献和实验
- 技术资料
- 供应商:
上海康朗生物科技有限公司
- 库存:
大量
- 目录编号:
kl-4973R
- 克隆性:
多克隆
- 抗原来源:
Rabbit
- 保质期:
12个月
- 抗体英文名:
Laminin alpha 1 antibody
- 抗体名:
层粘蛋白α1抗体
- 宿主:
Rabbit
- 适应物种:
Human, Mouse, Rat, Chicken, Cow, Rabbit,
- 免疫原:
KLH conjugated synthetic peptide derived from human Laminin alpha 1:2201-2400/3075
- 亚型:
IgG
- 形态:
冻干粉或液体
- 应用范围:
ELISA=1:500-1000 IHC-P=1:400-800 IHC-F=1:400-800 ICC=1:100-500 IF=1:100-500
- 浓度:
1mg/ml
- 保存条件:
-20 °C
- 规格:
100ul 200ul
| 中文名称 | 层粘蛋白α1抗体 |
| 别 名 | LAMA; LAMA1; Laminin A chain; Laminin subunit alpha-1; Laminin-1 subunit alpha; Laminin-3 subunit alpha; S-laminin subunit alpha; S-LAM alpha; Laminin subunit alpha-1; LAMA1_HUMAN; Laminin-1 subunit alpha; Laminin-3 subunit alpha. Laminin α-1; Laminin α1; Laminin α 1; Laminin subunit α1; Laminin subunit α-1. |
| 规格价格 | 100ul/1380元 购买 200ul/2200元 购买 大包装/询价 |
| 说 明 书 | 100ul 200ul |
| 研究领域 | 细胞生物 神经生物学 信号转导 细胞粘附分子 细胞骨架 细胞外基质 |
| 抗体来源 | Rabbit |
| 克隆类型 | Polyclonal |
| 交叉反应 | Human, Mouse, Rat, Chicken, Cow, Rabbit, |
| 产品应用 | ELISA=1:500-1000 IHC-P=1:400-800 IHC-F=1:400-800 ICC=1:100-500 IF=1:100-500 (石蜡切片需做抗原修复) not yet tested in other applications. optimal dilutions/concentrations should be determined by the end user. |
| 分 子 量 | 337kDa |
| 细胞定位 | 细胞膜 细胞外基质 分泌型蛋白 |
| 性 状 | Lyophilized or Liquid |
| 浓 度 | 1mg/ml |
| 免 疫 原 | KLH conjugated synthetic peptide derived from human Laminin alpha 1:2201-2400/3075 |
| 亚 型 | IgG |
| 纯化方法 | affinity purified by Protein A |
| 储 存 液 | 0.01M TBS(pH7.4) with 1% BSA, 0.03% Proclin300 and 50% Glycerol. |
| 保存条件 | Store at -20 °C for one year. Avoid repeated freeze/thaw cycles. The lyophilized antibody is stable at room temperature for at least one month and for greater than a year when kept at -20°C. When reconstituted in sterile pH 7.4 0.01M PBS or diluent of antibody the antibody is stable for at least two weeks at 2-4 °C. |
| PubMed | PubMed |
| 产品介绍 | background: This gene encodes one of the alpha 1 subunits of laminin. The laminins are a family of extracellular matrix glycoproteins that have a heterotrimeric structure consisting of an alpha, beta and gamma chain. These proteins make up a major component of the basement membrane and have been implicated in a wide variety of biological processes including cell adhesion, differentiation, migration, signaling, neurite outgrowth and metastasis. Mutations in this gene may be associated with Poretti-Boltshauser syndrome. [provided by RefSeq, Sep 2014]. Function: Binding to cells via a high affinity receptor, laminin is thought to mediate the attachment, migration and organization of cells into tissues during embryonic development by interacting with other extracellular matrix components. Subunit: Laminin is a complex glycoprotein, consisting of three different polypeptide chains (alpha, beta, gamma), which are bound to each other by disulfide bonds into a cross-shaped molecule comprising one long and three short arms with globules at each end. Alpha-1 is a subunit of laminin-1 (laminin-111 or EHS laminin) and laminin-3 (laminin-121 or S-laminin). Subcellular Location: Secreted, extracellular space, extracellular matrix, basement membrane. Note=Major component. Similarity: Contains 17 laminin EGF-like domains. Contains 5 laminin G-like domains. Contains 2 laminin IV type A domains. Contains 1 laminin N-terminal domain. SWISS: P25391 Gene ID: 284217 Database links: Entrez Gene: 10319 Human Entrez Gene: 284217 Human Entrez Gene: 3908 Human Entrez Gene: 3912 Human Entrez Gene: 3913 Human Entrez Gene: 3915 Human Entrez Gene: 3918 Human Entrez Gene: 16772 Mouse Entrez Gene: 316758 Rat Omim: 150320 Human SwissProt: P07942 Human SwissProt: P24043 Human SwissProt: P25391 Human SwissProt: P55268 Human SwissProt: Q9Y6N6 Human SwissProt: P19137 Mouse SwissProt: Q9R0B6 Mouse Unigene: 201805 Human Unigene: 270364 Human Unigene: 302362 Mouse Important Note: This product as supplied is intended for research use only, not for use in human, therapeutic or diagnostic applications. |
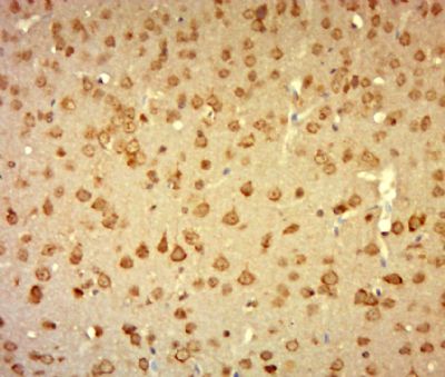
| 产品图片 | ![]() Paraformaldehyde-fixed, paraffin embedded (Mouse brain); Antigen retrieval by boiling in sodium citrate buffer (pH6.0) for 15min; Block endogenous peroxidase by 3% hydrogen peroxide for 20 minutes; Blocking buffer (normal goat serum) at 37°C for 30min; Antibody incubation with (Laminin alpha 1) Polyclonal Antibody, Unconjugated (bs-4973R) at 1:500 overnight at 4°C, followed by a conjugated secondary (sp-0023) for 20 minutes and DAB staining. ![]() Paraformaldehyde-fixed, paraffin embedded (mouse brain); Antigen retrieval by boiling in sodium citrate buffer (pH6.0) for 15min; Block endogenous peroxidase by 3% hydrogen peroxide for 20 minutes; Blocking buffer (normal goat serum) at 37°C for 30min; Antibody incubation with (Laminin alpha 1) Polyclonal Antibody, Unconjugated (bs-4973R) at 1:400 overnight at 4°C, followed by a conjugated secondary (sp-0023) for 20 minutes and DAB staining. |
风险提示:丁香通仅作为第三方平台,为商家信息发布提供平台空间。用户咨询产品时请注意保护个人信息及财产安全,合理判断,谨慎选购商品,商家和用户对交易行为负责。对于医疗器械类产品,请先查证核实企业经营资质和医疗器械产品注册证情况。
文献和实验In situ hybridisation to alpha satellite sequences (chromosome specific)
Alpha satellite sequences, whilst highly repetitive, are specific to each individual chromosome. These sequences flank the centromeres and can present a target measured in megabases. In this protocol a biotin or digoxigenin labelled DNA
CD49a/CD49b/CD49c/CD49d/CD49e/CD49f分子
originally identified on activated human T cells, later on fibroblasts, platelets, others. Six forms, VLA1 to VLA6, have been identified, each with distinct alpha chain (numbered alpha-1 to alpha-6) associated with a common beta chain. CD49a - Laminin
marrow. The prime suspect: an adhesion molecule called alpha2 integrin. The molecule showed increased expression on memory cells, and its ligand is predominantly expressed in bone marrow tissue. Also, when the researchers blocked alpha2 integrin
技术资料暂无技术资料 索取技术资料












