相关产品推荐更多 >
万千商家帮你免费找货
0 人在求购买到急需产品
- 详细信息
- 技术资料
- 免疫原:
Recombinant Human S100A7 protein
- 亚型:
IgG1
- 形态:
Liquid
- 保存条件:
Store as concentrated solution. Centrifuge briefly prior to opening vial. For short-term storage (1-2 weeks), store at 4ºC. For long-term storage, aliquot and store at -20ºC or below. Avoid multiple freeze-thaw cycles.
- 克隆性:
Monoclonal
- 标记物:
Unconjugated
- 适应物种:
Human, Cynomolgus monkey
- 保质期:
12 months from the shipping date of the product.
- 抗原来源:
Human
- 目录编号:
GTX02129
- 级别:
Primary Antibodies
- 库存:
Available
- 供应商:
GeneTex
- 宿主:
Mouse
- 应用范围:
IHC-P
- 浓度:
Batch dependent (Please refer to the vial label for the specific concentration.)
- 靶点:
No cross-reactivity with human S100A8 protein, human S100A9 protein, and human S100A10 protein in ELISA assay.
- 抗体英文名:
Psoriasin antibody [3E3H12F9]
- 抗体名:
Psoriasin 抗体 [3E3H12F9]
- 规格:
100 μl
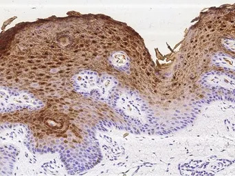
IHC-P analysis of cynomolgus skin tissue section using GTX02129 Psoriasin antibody [3E3H12F9].
Dilution : 1:60
IHC-P analysis of human esophageal carcinoma tissue section using GTX02129 Psoriasin antibody [3E3H12F9].
Dilution : 1:60
风险提示:丁香通仅作为第三方平台,为商家信息发布提供平台空间。用户咨询产品时请注意保护个人信息及财产安全,合理判断,谨慎选购商品,商家和用户对交易行为负责。对于医疗器械类产品,请先查证核实企业经营资质和医疗器械产品注册证情况。
技术资料暂无技术资料 索取技术资料





![Estrogen Receptor beta antibody [ERb455]](https://img1.dxycdn.com/2022/0328/135/9579698758250700453-14.jpg!wh200)
![Angiotensinogen antibody [034]](https://img1.dxycdn.com/2022/0328/581/5186546150938700453-14.jpg!wh200)

![TFR2 antibody [N3C2], Internal](https://img1.dxycdn.com/2022/0328/673/6871887062038200453-14.jpg!wh200)

