- 详细信息
- 询价记录
- 技术资料
- 提供商:
攸碧艾(上海)贸易有限公司
服务介绍
免疫组化技术服务
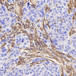
免疫组织化学(ImmunoHistochemistry,IHC)是一项以免疫学的抗原-抗体反应为理论基础,应用理化方法显示细胞结构的物质成分,进而分析研究细胞和组织的代谢、功能及其形态变化的实验技术。该方法将抗原-抗体反应的特异性与酶的高效催化作用有效结合起来,即用酶标记抗体,以酶与底物的显色反应对抗原进行示踪,并对呈色反应后的免疫阳性产物做半定量分析。
服务内容
1.切片常规脱蜡;2.复水;3. 灭活内源性过氧化物酶;4. 抗原修复;5. 血清封闭;6. 一抗孵育;7. 二抗孵育;8. 加DAB显色剂;9. 苏木素复染;10. 脱水,透明;11. 封片,拍照;
服务说明
1、签订实验协议;
2、交接未处理样品切片;
3、如需额外购买抗体实验周期可能适当延长;
4、客户提供实验必要信息,如组织来源、实验目的及拍照要求;
5、实验周期及费用请咨询本公司。
质量承诺
1、实验处理后的切片;
2、样品拍照及照片数据处理;
3、完整的实验报告;
4、详细完整的实验流程。
风险提示:丁香通仅作为第三方平台,为商家信息发布提供平台空间。用户咨询产品时请注意保护个人信息及财产安全,合理判断,谨慎选购商品,商家和用户对交易行为负责。对于医疗器械类产品,请先查证核实企业经营资质和医疗器械产品注册证情况。
- 作者
- 内容
- 询问日期
技术资料暂无技术资料 索取技术资料
免疫组化技术服务
询价









