相关产品推荐更多 >
万千商家帮你免费找货
0 人在求购买到急需产品
- 详细信息
- 文献和实验
- 技术资料
- 免疫原:
Human thymus cells
- 亚型:
IgG1
- 形态:
Liquid
- 保存条件:
Store as concentrated solution. Centrifuge briefly prior to opening vial. For short-term storage (1-2 weeks), store at 4ºC. For long-term storage, aliquot and store at -20ºC or below. Avoid multiple freeze-thaw cycles.
- 克隆性:
Monoclonal
- 标记物:
Unconjugated
- 适应物种:
Human, Monkey
- 保质期:
12 months from the shipping date of the product.
- 抗原来源:
Human
- 目录编号:
GTX34469
- 级别:
Primary Antibodies
- 库存:
Available
- 供应商:
GeneTex
- 宿主:
Mouse
- 应用范围:
WB, ICC/IF, IHC-P, FACS
- 浓度:
0.2 mg/ml (Please refer to the vial label for the specific concentration.)
- 靶点:
CD1a
- 抗体英文名:
CD1a antibody [O10]
- 抗体名:
CD1a 抗体 [O10]
- 规格:
100 μg
FACS analysis of MOLT-4 cells using GTX34469 CD1a antibody [O10].
Blue : Primary antibody
Red : Isotype control
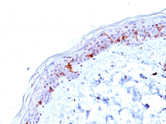
IHC-P analysis of human skin tissue using GTX34469 CD1a antibody [O10].
风险提示:丁香通仅作为第三方平台,为商家信息发布提供平台空间。用户咨询产品时请注意保护个人信息及财产安全,合理判断,谨慎选购商品,商家和用户对交易行为负责。对于医疗器械类产品,请先查证核实企业经营资质和医疗器械产品注册证情况。
文献和实验Chandra N et al., AIDS Res Hum Retroviruses 2013 (PMID:23189932)
CD1a/CD1b/CD1c/CD1d分子 CD1a 常用单克隆抗体或代号:T6,Leu6 主要表达细胞:Thy,DCsub,LHC,Bsub T细胞 分子质量(kDa)和结构:gp49(IgSF) 功 能:与β2m组成MHCI类样分子,有抗原提呈功能 CD1b 常用单克隆抗体或代号:WM-25,4A7.6,NUT2 主要表达细胞:Thy,DC,LHC,Bsub T细胞 分子
it)or directly place it in blocking solution: 1hr at room temp (gentle shaking)or overnight in fridge.5.Wash off blocking solution with PBS-T,use 25-50 ml for 5 minutes,shaking,at room temperature.Repeat.6.During the last wash,dilute your primary antibody in BSA
,dilute your primary antibody in BSA/PBST (15 ml is enough for one blot in a little clear--square--box,use 25 ml for 2 blots).Pour off wash,then immediately add the primary antibody.Incubate at room temp,60 minutes or overnight at 4℃.Pour off.7.Wash 4 X 10
技术资料暂无技术资料 索取技术资料






![Glyoxalase I antibody [Glo1a]](https://img1.dxycdn.com/2022/0328/116/4240372683717300453-14.jpg!wh200)
![PAK2 antibody [3B5]](https://img1.dxycdn.com/2022/0328/656/6830409420177500453-14.jpg!wh200)


