相关产品推荐更多 >
万千商家帮你免费找货
0 人在求购买到急需产品
- 详细信息
- 文献和实验
- 技术资料
- 免疫原:
The antiserum was produced against synthesized peptide derived from human Caspase 3.
- 亚型:
IgG
- 形态:
Liquid
- 保存条件:
Store as concentrated solution. Centrifuge briefly prior to opening vial. For short-term storage (1-2 weeks), store at 4ºC. For long-term storage, aliquot and store at -20ºC or below. Avoid multiple freeze-thaw cycles.
- 克隆性:
Polyclonal
- 标记物:
Unconjugated
- 适应物种:
Human, Mouse, Rat
- 保质期:
12 months from the shipping date of the product.
- 抗原来源:
Human
- 目录编号:
GTX86952
- 级别:
Primary Antibodies
- 库存:
Available
- 供应商:
GeneTex
- 宿主:
Rabbit
- 应用范围:
WB, IHC-P, IHC
- 浓度:
Batch dependent (Please refer to the vial label for the specific concentration.)
- 靶点:
Caspase 3 (cleaved Asp175)
- 抗体英文名:
Caspase 3 (cleaved Asp175) antibody
- 抗体名:
Caspase 3 (cleaved Asp175) 抗体
- 规格:
100 μg
WB analysis of 293 cells treated with Etoposide (25uM, 60mins) lysate using GTX86952 Caspase 3 (cleaved Asp175) antibody.
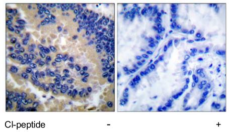
IHC-P analysis of human lung carcinoma tissue using GTX86952 Caspase 3 (cleaved Asp175) antibody.
风险提示:丁香通仅作为第三方平台,为商家信息发布提供平台空间。用户咨询产品时请注意保护个人信息及财产安全,合理判断,谨慎选购商品,商家和用户对交易行为负责。对于医疗器械类产品,请先查证核实企业经营资质和医疗器械产品注册证情况。
文献和实验Huang ST et al., Sci Rep 2017 (PMID:28106052)
Zheng Y et al., Int J Biol Sci 2016 (PMID:26722223)
Huang ST et al., Am J Chin Med 2016 (PMID:27776427)
Dong Y et al., J Nat Prod 2012 (PMID:22304236)
Qu J et al., Clin Exp Pharmacol Physiol 2015 (PMID:26718307)
Sun Z et al., Front Cell Neurosci 2022 (PMID:35928572)
Yuan-Kun Tu et al., Curr Neurovasc Res 2021 (PMID:34645375)
Xu C et al., Oxid Med Cell Longev 2021 (PMID:34970414)
Du D. et al., Journal of Functional Foods 2021 84()
Zhang J et al., Mediators Inflamm 2021 (PMID:33958974)
Li D et al., Life Sci 2021 (PMID:33811894)
Huang C et al., BMC Complement Med Ther 2020 (PMID:32126993)
Yan J et al., Life Sci 2020 (PMID:33065148)
Li M et al., Cancer Manag Res 2020 (PMID:33061608)
Ahn CR et al., Biomedicines 2020 (PMID:32957430)
Xu Y et al., Aging (Albany NY) 2020 (PMID:32701482)
Wang YY et al., ACS Omega 2020 (PMID:32258937)
Tan YJ et al., Ther Adv Med Oncol 2019 (PMID:31632470)
Yi Jer Tan et al., Therapeutic Advances in Medical Oncology 2019 (Epub)
Chang CS et al., Sci Rep 2019 (PMID:31366973)
Dasgupta A et al., IUBMB Life 2019 (PMID:30977280)
Si W et al., 3 Biotech 2019 (PMID:30863710)
Yu H et al., Microcirculation 2019 (PMID:30801897)
Chen CC et al., Cancers (Basel) 2018 (PMID:30201872)
Chen CC et al., Cell Death Dis 2018 (PMID:29749376)
Yan J et al., J Photochem Photobiol B 2018
Omer FAA et al., Tumour Biol 2017 (PMID:29110583)
He Y et al., FASEB J 2017 (PMID:28420695)
技术资料暂无技术资料 索取技术资料






![c-Fos antibody [2G2]](https://img1.dxycdn.com/2022/0328/987/6471730365423500453-14.jpg!wh200)

![ETS1 antibody [10D2]](https://img1.dxycdn.com/2022/0328/691/0573193688937500453-14.jpg!wh200)

