相关产品推荐更多 >
万千商家帮你免费找货
0 人在求购买到急需产品
- 详细信息
- 文献和实验
- 技术资料
- 免疫原:
Recombinant human GLOI-GST fusion protein.
- 亚型:
IgG
- 形态:
Liquid
- 保存条件:
Store as concentrated solution. Centrifuge briefly prior to opening vial. For short-term storage (1-2 weeks), store at 4ºC. For long-term storage, aliquot and store at -20ºC or below. Avoid multiple freeze-thaw cycles.
- 克隆性:
Monoclonal
- 标记物:
Unconjugated
- 适应物种:
Human, Mouse, Rat, Primate
- 保质期:
12 months from the shipping date of the product.
- 抗原来源:
Human
- 目录编号:
GTX15747
- 级别:
Primary Antibodies
- 库存:
Available
- 供应商:
GeneTex
- 宿主:
Mouse
- 应用范围:
WB, ICC/IF, IHC-P, IHC
- 浓度:
1 mg/ml (Please refer to the vial label for the specific concentration.)
- 靶点:
Glyoxalase I
- 抗体英文名:
Glyoxalase I antibody [Glo1a]
- 抗体名:
Glyoxalase I 抗体 [Glo1a]
- 规格:
100 μg
IHC-P analysis of human prostate and stomach carcinoma tissue using GTX15747 Glyoxalase I antibody [Glo1a].
Antigen retrieval : heat induced antigen retrieval was performed using 10mM sodium citrate (pH6.0) buffer for 20 minutes
Dilution : 1:800
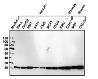
WB analysis of 25 ug of various whole cell lysates using GTX15747 Glyoxalase I antibody [Glo1a].
Dilution : 1:1000
WB analysis of whole cell extracts (30 μg lysate) of MCF7 (Lane 1), HeLa (Lane 2), MDA-MB-231 (Lane 3), HL-60 (Lane 4), MOLT-4 (Lane 5), LNCaP (Lane 6), T-47D (Lane 7), U-87 MG (Lane 8) and A549 (Lane 9) using GTX15747 Glyoxalase I antibody [Glo1a].
Dilution : 1:1000
风险提示:丁香通仅作为第三方平台,为商家信息发布提供平台空间。用户咨询产品时请注意保护个人信息及财产安全,合理判断,谨慎选购商品,商家和用户对交易行为负责。对于医疗器械类产品,请先查证核实企业经营资质和医疗器械产品注册证情况。
文献和实验Cinzia Antognelli et al., Cancers (Basel) 2021 (PMID:34199263)
技术资料暂无技术资料 索取技术资料







![Cytokeratin 8 antibody [AT3D11]](https://img1.dxycdn.com/2022/0328/606/3712783904170800453-14.jpg!wh200)

![SOX4 antibody [SOX4/2540]](https://img1.dxycdn.com/2022/0328/856/3348204989543700453-14.jpg!wh200)

