相关产品推荐更多 >
万千商家帮你免费找货
0 人在求购买到急需产品
- 详细信息
- 技术资料
- 免疫原:
Purified recombinant fragment of PAK2(AA : 4-223) expressed in E. Coli.
- 亚型:
IgG1
- 形态:
Liquid
- 保存条件:
Store as concentrated solution. Centrifuge briefly prior to opening vial. For short-term storage (1-2 weeks), store at 4ºC. For long-term storage, aliquot and store at -20ºC or below. Avoid multiple freeze-thaw cycles.
- 克隆性:
Monoclonal
- 标记物:
Unconjugated
- 适应物种:
Human, Monkey
- 保质期:
12 months from the shipping date of the product.
- 抗原来源:
Human
- 目录编号:
GTX83373
- 级别:
Primary Antibodies
- 库存:
Available
- 供应商:
GeneTex
- 宿主:
Mouse
- 应用范围:
WB, ICC/IF, IHC-P, ELISA
- 靶点:
PAK2
- 抗体英文名:
PAK2 antibody [3B5]
- 抗体名:
PAK2 抗体 [3B5]
- 规格:
100 μl
ICC/IF analysis of HeLa cells using GTX83373 PAK2 antibody [3B5].
Green : PAK2
Blue: DRAQ5 fluorescent DNA dye
WB analysis of HeLa (1), Jurkat (2), A549 (3), HEK293 (4) and K562 (5) cell lysate using GTX83373 PAK2 antibody [3B5].
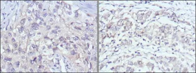
IHC-P analysis of human lung cancer (left) and gastric cancer (right) using GTX83373 PAK2 antibody [3B5].
风险提示:丁香通仅作为第三方平台,为商家信息发布提供平台空间。用户咨询产品时请注意保护个人信息及财产安全,合理判断,谨慎选购商品,商家和用户对交易行为负责。对于医疗器械类产品,请先查证核实企业经营资质和医疗器械产品注册证情况。
技术资料暂无技术资料 索取技术资料


![PAK2 antibody [3B5]](https://img1.dxycdn.com/2022/0328/656/6830409420177500453-14.jpg)


![CD160 antibody [BY55] (Azide free)](https://img1.dxycdn.com/2022/0328/621/4762166255424400453-14.jpg!wh200)




