相关产品推荐更多 >
万千商家帮你免费找货
0 人在求购买到急需产品
- 详细信息
- 文献和实验
- 技术资料
- 库存:
216
- 保质期:
长期
- 供应商:
北京百奥莱博科技有限公司
- 规格:
1ml×5
特别提示:包括2×RoomTop Fast Taq PCR MasterMix在内,本公司的所有产品仅可用于科研实验,严禁用于临床医疗及其他非科研用途!
产品名称:2×RoomTop Fast Taq PCR MasterMix
产品货号:JN0036
产品规格:1ml×5
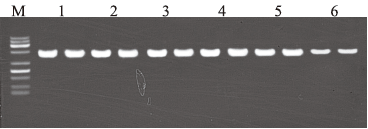
本制品是以2×Fast Taq PCR MasterMix为基础,与新型稳定剂整合后研发成功的预混试剂,具有高度的保存稳定性,室温25℃存放2个月,4℃存放6个月后,依然能保持极佳的扩增性能(图例一)。
2×RoomTop Fast Taq PCR MasterMix延续了Fast系列快速、高效的优点,72℃保温15秒延伸1kb,大幅度减少了PCR扩增所需要的时间,达到了缩短整个PCR反应时间的目的。
2×RoomTop Fast Taq PCR MasterMix对于基因组、高GC及复杂模板的扩增能获得更好的扩增效果。2×RoomTop Fast Taq PCR MasterMix提供快速上样型(含高纯度蓝色染料)及不含染料的普通型两种形式供您选择。快速上样型在PCR反应完成后可直接电泳,节省时 间。经测试,高纯度染料的加入不影响PCR反应。
产品特点:
1、可置于实验台上的PCR鉴定试剂。
2、室温存放2个月,4度存放6个月,扩增性能不受影响。
3、Fast Taq 扩增速度为Taq 4倍以上,长片段扩增更省时。
4、可直接用于菌落、菌液等PCR鉴定实验。
5、基因组DNA及复杂模板扩增效果更佳。
产品用途:常规PCR鉴定;小片段DNA克隆;PCR产物加A;长片段扩增
使用建议:
1、使用本试剂扩增得到的PCR产物3′ 端有一突出"A"碱基,可直接克隆于T载体中。
2、PCR反应液请在冰上配制,然后置于PCR仪上进行。这种冷启动法(Cool Start Method)可增加PCR扩增的特异性,得到良好的PCR结果。
3、使用PCR克隆目的片段时,为减少PCR过程中的随机突变,可适量增加模板量,减少PCR循环(如20至25次循环)。
应用实例:
图例一)在50μl 体系中,使用室温保存不同时间后2×RoomTop Fast Taq PCR Mix试剂对小鼠基因组2.1kb片段进行扩增
泳道M:DNA Ladder 2000 Plus 泳道1:0周
泳道2:2周 泳道3:4周
泳道4:6周 泳道5:8周
泳道6:10周 泳道7:12周
常用反应体系(50μl):
| 组分 | 体积 |
| 2×PCR MasterMix* | 25μl |
| 上游引物 | 0.2-1.0μM(终浓度) |
| 下游引物 | 0.2-1.0μM(终浓度) |
| 模板 | 1-50ng(质粒) |
| 10ng-1μg(基因组) | |
| ddH2O | 至50μl |
| *Mg2+终浓度为2mM | |
常用PCR循环:
| 当扩增片段<3K: | |
| 94℃ | 10分钟 |
| 30次循环 | 94℃,20秒 57℃ 20秒 72℃根据产物长度调整,15秒/kb |
| 72℃ | 3分钟 |
| 4℃ | 保温 |
| 当扩增片段≥3K(推荐引物长度≥30bp): | |
| 94℃ | 10分钟 |
| 30次循环 | 94℃,5秒 68℃ 根据产物长度调整,15秒/kb |
| 72℃ | 3分钟 |
| 4℃ | 保温 |
PCR MasterMix选购指南:
| 编号 | 产品名称 | 特点 |
| 适用于菌落鉴定、菌液鉴定及常规PCR鉴定实验的Mix系列 | ||
| JN0030 | 2×Taq PCR MasterMix | 高性价比PCR Mix,使用简便,扩增灵敏度高 |
| JN0034 | 2×Complex Taq PCR MasterMix | JN0030改进版,性能更均衡,适用面更广 |
| JN0040 | 2×Fast Taq PCR MasterMix | 最快速的PCR试剂,常规PCR鉴定45分钟内知道结果 |
| JN0035 | 2×RoomTop Taq PCR MasterMix | 可放在手边的PCR试剂,室温稳定存放60天 |
| JN0036 | 2×RoomTop Fast Taq PCR MasterMix | 室温稳定存放60天,高速PCR试剂,常规PCR鉴定45分钟内知道结果 |
| 适用于一些较难扩增的PCR条带的鉴定及短片段克隆 | ||
| JN0032 | 2×Taq Plus PCR MasterMix | 扩增效率更高及较好的保真度 |
| JN0038 | 2×Hot Start Taq PCR MasterMix | 采用热启动Taq,可获得很好的特异性 |
| JN0041 | 2×Ultra Taq PCR MasterMix | 高速扩增酶,优化配方,解决PCR扩增难题的,灵敏度高 |
| 高保真酶试剂,适用于长片段基因克隆 | ||
| JN0031 | 2×Pfu PCR MasterMix | 采用高保真酶,适用于基因克隆 |
| JN0043 | 2×Fast Pfu PCR MasterMix | 采用改良型高保真酶,更好的扩增效果,4倍扩增速度;扩增迅速 |
| 防止PCR产物二次污染、极高检测灵敏度的PCR试剂 | ||
| JN0047 | 2×PCR MasterMix(防污染) | 采用dUTP/UDG酶系统,从根本上杜绝PCR产物二次污染 |
| JN0033 | 2×Genotyping PCR Kit(nomal) | 极高检测灵敏度,可达到普通PCR试剂102至104倍扩增灵敏度 |
PCR MasterMix性能对比表:
| 名称 | 编号 | 扩增时间 | 扩增长度 | 是否有3"-A | 基因组扩增 |
| 2×Taq PCR MasterMix | JN0030 | 1min/kb | ≤8kb | √ | + |
| 2×RoomTop Taq PCR MasterMix | JN0035 | 1min/kb | ≤8kb | √ | ++ |
| 2×Complex Taq PCR MasterMix | JN0034 | 1min/kb | ≤8kb | √ | + |
| 2×Fast Taq PCR MasterMix | JN0040 | 15s/kb | ≤8kb | √ | + |
| 2×RoomTop Fast Taq PCR MasterMix | JN0036 | 15s/kb | ≤8kb | √ | ++ |
| 2×Ultra Taq PCR MasterMix | JN0041 | 15s/kb | ≤8kb | √ | +++ |
| 2×Taq Plus PCR MasterMix | JN0032 | 1min/kb | ≤20kb | √ | ++++ |
| 2×Ultra Taq Plus PCR MasterMix | JN0042 | 15s/kb | ≤30kb | √ | ++++ |
| 2×Hot Start Taq PCR MasterMix | JN0038 | 1min/kb | ≤8kb | √ | ++++ |
| 2×Hot Start Taq Plus PCR MasterMix | JN0039 | 1min/kb | ≤20kb | √ | ++++ |
| 2×Pfu PCR MasterMix | JN0031 | 1min/kb | ≤6kb | × | + |
| 2×Fast Pfu PCR MasterMix | JN0043 | 30min/kb | ≤12kb | × | + |
| 2×SYBR Green Realtime PCR MasterMix | JN0049 | 1min/kb | ≤8kb | √ | ++ |
| 2×Genotyping PCR Kit(Normal) | JN0033 | 1min/kb | ≤8kb | √ | +++++ |
| 2×Genotyping PCR Kit(Fast) | JN0044 | 15s/kb | ≤8kb | √ | +++++ |
| 2×PCR MasterMix(防污染) | JN0047 | 1min/kb | ≤8kb | √ | + |
除了2×RoomTop Fast Taq PCR MasterMix,,我公司还供应以下相关产品:
| 货号 | 名称 | 规格 |
| BTN90302 | 25mM氯化镁溶液(PCR级MgCl2溶液) | 5mL |
| BTN130815 | taq酶抗体 | 500U |
| BTN130986 | 即用型热启动PCR试剂盒 | 1.5mL |
| BTN100409 | 6nt随机引物(0.5 ug/uL) | 5μg |
| BTN60906 | cDNA第一链合成试剂盒(逆转录试剂盒)(RT试剂盒) | 50次 |
| BTN130308 | 一管式双链cDNA合成试剂盒 | 10次 |
| YT395 | cDNA第一链合成试剂盒(RNase H-) | 10次 |
| WE0104 | 2×Bes Taq MasterMix(含染料) | 1ml|5ml|25ml |
| WE0120 | 血液直接PCR扩增试剂盒 | 50μl×40次|50μl×200次 |
| WE0151 | 快速实时荧光定量PCR的预混体系(荧光探针) | 1ml|5ml |
| WE0156 | BaldStar TaqMan Mixture(dUTP+UNG酶)(高含量ROX校正染料) | 5ml |
| ALH284 | 2.5mM dNTP混合溶液 | 1ml|5ml |
| ALH191 | 荧光定量反转录PCR试剂盒(两步法) | 50μl×25次|50μl×50次 |
| ALH195 | 一步法荧光定量RT-PCR试剂盒 | 50μl×50次|50μl×100次 |
| SY0036 | 高保真DNA聚合酶 | 100U |
| SY0051 | 矿物油 | 100ml |
| SY0292 | 第一链cDNA Synthesis Super Mix for RT-qPCR(+gDNA wiper) | 200T |
| JN0032 | 2×Taq Plus PCR MasterMix | 1ml×5 |
| JN0043 | 2×Fast Pfu PCR MasterMix | 1ml |
| JN0045 | PCR优化试剂盒 | 80次 |
| JN0062 | 双链DNA染料(SYBR Green) | 0.5ml×5 |
| HQF09 | 组织-细胞免抽提直接PCR试剂盒 | 100次/400次 |
| HQF13 | 转基因食品直接PCR试剂盒 | 100次/500次 |
| BTN180701 | 荧光PCR专用模板稀释液 | 1mL |
| BTN130922 | 单酶一管式RT-PCR试剂盒(Tth) | 50次 |
风险提示:丁香通仅作为第三方平台,为商家信息发布提供平台空间。用户咨询产品时请注意保护个人信息及财产安全,合理判断,谨慎选购商品,商家和用户对交易行为负责。对于医疗器械类产品,请先查证核实企业经营资质和医疗器械产品注册证情况。
文献和实验bp 片段,以 pBS 菌液为模板扩增 1500 bp 片段。 模板:菌液 OD600=0.8 时 2 μL /50 μL PCR 扩增程序:同上 a 扩增程序同。 结果:Bioteke 2×power Taq PCR MasterMix 试剂对于质粒或菌液均可高效率的扩增。取扩增产物 10 μL 用 1% 琼脂糖凝胶电泳进行分析可见明亮条带。 二、genomic DNA扩增 1.大肠杆菌DNA扩增 模板:大肠杆菌DNA 50 ng/50 μL PCR扩增程序: 循环数 Step 温度
Fast Taq DNA Polymerase都能做到!产品特点:1. 超快速DNA合成(10-15 s/kb)。2. 大幅度提高保真性,约为Taq 酶的3倍,接近Pyrococcus furiosus DNA聚合酶(Pfu)的水平。3. 高退火温度。在比Tm值高3 °C的条件下,引物仍能有效与模板配对结合,有效打开二级结构,避免引物二聚体的形成,提高扩增特异性和效率。4. 能够从含抑制剂较多的模板直接扩增。5. PCR 产物3’末端有一个“A”碱基,可以直接用于T-载体连接克隆
PCR基础 聚合酶链式反应(PCR)过程利用模板变性,引物退火和引物延长的多个循环来扩增DNA序列。这是一个指数增长的过程,因为上一轮的扩增产物又作为下一轮扩增的模板,使其成为检测核酸的一种非常灵敏的技术。一般,经过20-30个循环得到的扩增产物就足够在溴化乙锭染色的凝胶上观察到。反应包括几个成分(表1)。模板可以为纯化的基因组或质粒DNA;由RNA转化得到的cDNA;或未经纯化的粗制生物样品,如细菌克隆或噬菌斑。引物确定了扩增产物的序列和长度。最常用的热稳定聚合酶是Taq DNA
技术资料暂无技术资料 索取技术资料










