相关产品推荐更多 >
万千商家帮你免费找货
0 人在求购买到急需产品
- 详细信息
- 文献和实验
- 技术资料
- 供应商:
上海联迈生物工程有限公司
- 库存:
大量
- 目录编号:
LM-9686R
- 克隆性:
多克隆
- 抗原来源:
Rabbit
- 保质期:
1年
- 抗体英文名:
VGLUT2
- 抗体名:
囊泡谷氨酸转运蛋白2抗体
- 宿主:
Rabbit
- 适应物种:
Human, Mouse, Rat, Chicken, Dog, Pig, Cow, Horse,
- 免疫原:
KLH conjugated synthetic peptide derived from human VGLUT2:10-110/582
- 亚型:
IgG
- 形态:
Lyophilized or Liquid
- 应用范围:
ELISA=1:500-1000 IHC-P=1:400-800 IHC-F=1:400-800 ICC=1:100-500 IF=1:100-500 (石蜡切片需做抗原修复)
- 浓度:
1mg/ml
- 保存条件:
Store at -20 °C
- 规格:
50ul 100ul 200ul
| 英文名称 | VGLUT2 |
| 中文名称 | 囊泡谷氨酸转运蛋白2抗体 |
| 别 名 | Differentiation associated BNPI; Differentiation associated Na dependent inorganic phosphate cotransporter; Differentiation associated Na(+) dependent inorganic phosphate cotransporter; Differentiation-associated BNPI; Differentiation-associated Na(+)-dependent inorganic phosphate cotransporter; DNPI; SLC17A6; Sodium dependent inorganic phosphate cotransporter; Solute carrier family 17 (Sodium dependent inorganic phosphate cotransporter) member 6; Solute carrier family 17 member 6; Vesicular glutamate transporter 2; Vesicular glutamate transporter type 2; VGLU2_HUMAN; VGLUT 2; VGluT2. |
![]() |
Specific References (1) | bs-9686R has been referenced in 1 publications. [IF=4.29] Curley, J. L., et al. "Isolated node engineering of neuronal systems using laser direct write." Biofabrication 8.1 (2016): 015013. PubMed:26924823 |
| 规格价格 | 50ul/780元 购买 100ul/1380元 购买 200ul/2200元 购买 大包装/询价 |
| 说 明 书 | 50ul 100ul 200ul |
| 研究领域 | 肿瘤 细胞生物 神经生物学 |
| 抗体来源 | Rabbit |
| 克隆类型 | Polyclonal |
| 交叉反应 | Human, Mouse, Rat, Chicken, Dog, Pig, Cow, Horse, |
| 产品应用 | ELISA=1:500-1000 IHC-P=1:400-800 IHC-F=1:400-800 ICC=1:100-500 IF=1:100-500 (石蜡切片需做抗原修复) not yet tested in other applications. optimal dilutions/concentrations should be determined by the end user. |
| 分 子 量 | 64kDa |
| 细胞定位 | 细胞浆 细胞膜 |
| 性 状 | Lyophilized or Liquid |
| 浓 度 | 1mg/ml |
| 免 疫 原 | KLH conjugated synthetic peptide derived from human VGLUT2:10-110/582 |
| 亚 型 | IgG |
| 纯化方法 | affinity purified by Protein A |
| 储 存 液 | 0.01M TBS(pH7.4) with 1% BSA, 0.03% Proclin300 and 50% Glycerol. |
| 保存条件 | Store at -20 °C for one year. Avoid repeated freeze/thaw cycles. The lyophilized antibody is stable at room temperature for at least one month and for greater than a year when kept at -20°C. When reconstituted in sterile pH 7.4 0.01M PBS or diluent of antibody the antibody is stable for at least two weeks at 2-4 °C. |
| PubMed | PubMed |
| 产品介绍 | background: The ATP-dependent, chloride-sensitive vesicular glutamate transporters (VGLUT) include BNPI (VGLUT1), VGLUT2 (DNPI) and VGLUT3. The brain expresses BNPI (brain specific Na+-dependent inorganic phosphate (Pi) cotransporter) and VGLUT2 in a complementary fashion. The telencephalic regions express BNPI, whereas the lower brainstem and diencephalic regions express VLGUT2. Rat pinealocytes express both BNPI and VGLUT2. The striatum, hippocampus, cerebral cortex and raphe nuclei express VGLUT3 in a small number of neurons. Pancreatic a and b cells express BNPI and VGLUT2 in response to glucose concentrations. Human VGLUT3 shares a 72% sequence homology with VLGUT2 and BNPI. Function: Mediates the uptake of glutamate into synaptic vesicles at presynaptic nerve terminals of excitatory neural cells. May also mediate the transport of inorganic phosphate. Subcellular Location: Cytoplasmic vesicle, secretory vesicle, synaptic vesicle membrane. Membrane; Multi-pass membrane protein (Potential). Cell junction, synapse, synaptosome. Tissue Specificity: Predominantly expressed in adult brain. Expressed in amygdala, caudate nucleus, cerebral cortex, frontal lobe, hippocampus, medulla, occipital lobe, putamen, spinal cord, substantia nigra, subthalamic nucleus, temporal lobe and thalamus. Similarity: Belongs to the major facilitator superfamily. Sodium/anion cotransporter family. VGLUT subfamily SWISS: Q9P2U8 Gene ID: 57084 Database links: Entrez Gene: 57084 Human Entrez Gene: 140919 Mouse Entrez Gene: 84487 Rat Omim: 607563 Human SwissProt: Q9P2U8 Human SwissProt: Q8BLE7 Mouse SwissProt: Q9JI12 Rat Unigene: 242821 Human Unigene: 256618 Mouse Unigene: 19372 Rat Important Note: This product as supplied is intended for research use only, not for use in human, therapeutic or diagnostic applications. |
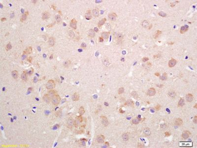
| 产品图片 | ![]() Tissue/cell: rat brain tissue; 4% Paraformaldehyde-fixed and paraffin-embedded; Antigen retrieval: citrate buffer ( 0.01M, pH 6.0 ), Boiling bathing for 15min; Block endogenous peroxidase by 3% Hydrogen peroxide for 30min; Blocking buffer (normal goat serum,C-0005) at 37℃ for 20 min; Incubation: Anti-VGLUT2 Polyclonal Antibody, Unconjugated(bs-9686R) 1:200, overnight at 4°C, followed by conjugation to the secondary antibody(SP-0023) and DAB(C-0010) staining |
风险提示:丁香通仅作为第三方平台,为商家信息发布提供平台空间。用户咨询产品时请注意保护个人信息及财产安全,合理判断,谨慎选购商品,商家和用户对交易行为负责。对于医疗器械类产品,请先查证核实企业经营资质和医疗器械产品注册证情况。
文献和实验技术原理与方法|超级色差校正物镜 PLAPON60XOSC 在脑组织四重免疫荧光分析中的应用
基底杏仁核的锥体细胞躯体(星号)周围,形成具有独特内陷结构的内陷突触(箭头)。这些侵入性突触表达囊泡抑制性氨基酸转运蛋白(VIAAT)(蓝色)和囊泡谷氨酸转运蛋白-3(VGluT3)(红色),表明其分别具有抑制性和兴奋性递质 GABA 和谷氨酰胺酸的神经化学特性。与此相比,如果未在其周围形成 DGLα簇,则抑制性突触的 CB1 阳性、VIAAT 阳性常见类型不表达 VGluT3,这表明其仅具有 GABA 的神经化学特性。比例尺:5 μm。 图 2. 脑组织的四重免疫荧光。 VIAAT
硫氨素磷酸盐焦磷酸化酶、 thiC表达硫氨素嘧啶转运蛋白、thiD表达磷酸甲基化嘧啶激酶、thiK表达硫氨素激酶、 thiL表达硫氨素甲磷酸激酶。thi的变异使硫氨素的生物合成不能进行,最小培养基中必须添加硫氨素(VB1),细胞才能正常生长。 10、蛋白酶相关的基因型 lon(long form) 功能:lon基因表达 ATP依赖型蛋白分解酶(La),它对外源的异型蛋白质具有特异性的分解作用。lon基因的变异或缺失,使细胞中的这种异型蛋白质分解酶不能得到表达,这对于保持克隆体目的蛋白的稳定
position: 26 minδ埽簃crA基因表达大肠杆菌防御体系中起重要作用的mcrA酶,这种酶能特异性地作用于外来DNA上的被甲基化的胞嘧啶序列,即C5mCGG特异序列,使之分解,对大肠杆菌本身起保护作用。mcrA基因的变异,导致上述功能缺失,对外来DNA中被甲基化的胞嘧啶特异序列(C5mCGG)失去作用,有利于限制酶及甲基化酶的克隆体的稳定。mcrB, C (Methyl cytosine-specific restriction)Map position: 98 min功能:mcrB, C
技术资料暂无技术资料 索取技术资料












