- 详细信息
- 技术资料
- 提供商:
研载生物
- 服务名称:
天狼猩红染色
一、技术简介
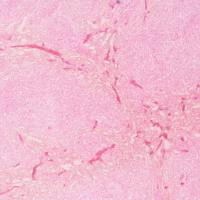
天狼猩红染色可用于区分Ⅰ、Ⅱ、Ⅲ和Ⅳ型胶原,由于胶原呈碱性,与酸性染料起强烈反应,天狼星红就是一种很强的酸性染料,胶原的双折光现象将会强烈地显现。而且可以在同一张切片上同时显示它们相互之间的关系,直接观察分析纤维化程度,主要应用于各种组织病变时对胶原纤维异常或纤维增生的研究中。
天狼星红是一种强酸性阴离子染料,每个分子含有6 个磺酸基,易与胶原蛋白的碱性氨基酸集团紧密结合,染色后不褪色且具特异,染料分子长形展开,在胶原长轴方向以平行排列的方式附着胶原分子。当有偏振光照射时,天狼星红可以和胶原纤维反应使胶原纤维产生明显的双折光现象。不同的胶原纤维具有不同的旋光性,在偏振光显微镜下呈现相异的颜色,借以区分Ⅰ、Ⅱ、Ⅲ和Ⅳ型胶原,Ⅰ型纤维:紧密排列, 显示很强的双折光性,呈黄色或红色的纤维;Ⅱ型纤维:显示弱的双折光,呈多种色彩的疏松网状分布;Ⅲ型纤维:显示弱的双折光,呈绿色的细纤维;Ⅳ型纤维:显示弱的双折光的基膜,呈淡黄色。
二、实验流程
1. 组织固定于4%多聚甲醛液,制备石蜡切片。
2. 切片脱蜡至水化后,天狼星红染色液滴染1 h。
3. 自来水稍洗,洗去多余染料。
4. 苏木精染胞核8-10 min,流水中冲洗10 min。
5. 无水乙醇I中脱水30 s,无水乙醇II中脱水3-5 min。
6. 二甲苯透明、中性树胶封片。
7. 偏振光显微镜下观察染色结果。
三、服务说明及结果
1. 客户提供:待检测组织或切片。
2. 公司提供:基本实验步骤,图片,数据分析结果。
3. 实验周期:5-10个工作日。
【欢迎来电/邮件咨询】
联系人:刘经理
电话:021-54376058
手机:13917998048 (7:00-24:00, 周末节假日不休)
邮箱:yanzaibio@yihaowan.cn, yanzaibio@163.com
地址: 上海市闵行区放鹤路1088号博济科技园6号楼109室
天狼猩红染色可用于区分Ⅰ、Ⅱ、Ⅲ和Ⅳ型胶原,由于胶原呈碱性,与酸性染料起强烈反应,天狼星红就是一种很强的酸性染料,胶原的双折光现象将会强烈地显现。而且可以在同一张切片上同时显示它们相互之间的关系,直接观察分析纤维化程度,主要应用于各种组织病变时对胶原纤维异常或纤维增生的研究中。
天狼星红是一种强酸性阴离子染料,每个分子含有6 个磺酸基,易与胶原蛋白的碱性氨基酸集团紧密结合,染色后不褪色且具特异,染料分子长形展开,在胶原长轴方向以平行排列的方式附着胶原分子。当有偏振光照射时,天狼星红可以和胶原纤维反应使胶原纤维产生明显的双折光现象。不同的胶原纤维具有不同的旋光性,在偏振光显微镜下呈现相异的颜色,借以区分Ⅰ、Ⅱ、Ⅲ和Ⅳ型胶原,Ⅰ型纤维:紧密排列, 显示很强的双折光性,呈黄色或红色的纤维;Ⅱ型纤维:显示弱的双折光,呈多种色彩的疏松网状分布;Ⅲ型纤维:显示弱的双折光,呈绿色的细纤维;Ⅳ型纤维:显示弱的双折光的基膜,呈淡黄色。
二、实验流程
1. 组织固定于4%多聚甲醛液,制备石蜡切片。
2. 切片脱蜡至水化后,天狼星红染色液滴染1 h。
3. 自来水稍洗,洗去多余染料。
4. 苏木精染胞核8-10 min,流水中冲洗10 min。
5. 无水乙醇I中脱水30 s,无水乙醇II中脱水3-5 min。
6. 二甲苯透明、中性树胶封片。
7. 偏振光显微镜下观察染色结果。
三、服务说明及结果
1. 客户提供:待检测组织或切片。
2. 公司提供:基本实验步骤,图片,数据分析结果。
3. 实验周期:5-10个工作日。
【欢迎来电/邮件咨询】
联系人:刘经理
电话:021-54376058
手机:13917998048 (7:00-24:00, 周末节假日不休)
邮箱:yanzaibio@yihaowan.cn, yanzaibio@163.com
地址: 上海市闵行区放鹤路1088号博济科技园6号楼109室
风险提示:丁香通仅作为第三方平台,为商家信息发布提供平台空间。用户咨询产品时请注意保护个人信息及财产安全,合理判断,谨慎选购商品,商家和用户对交易行为负责。对于医疗器械类产品,请先查证核实企业经营资质和医疗器械产品注册证情况。
技术资料暂无技术资料 索取技术资料
天狼猩红染色
询价









