万千商家帮你免费找货
0 人在求购买到急需产品
- 详细信息
- 文献和实验
- 技术资料
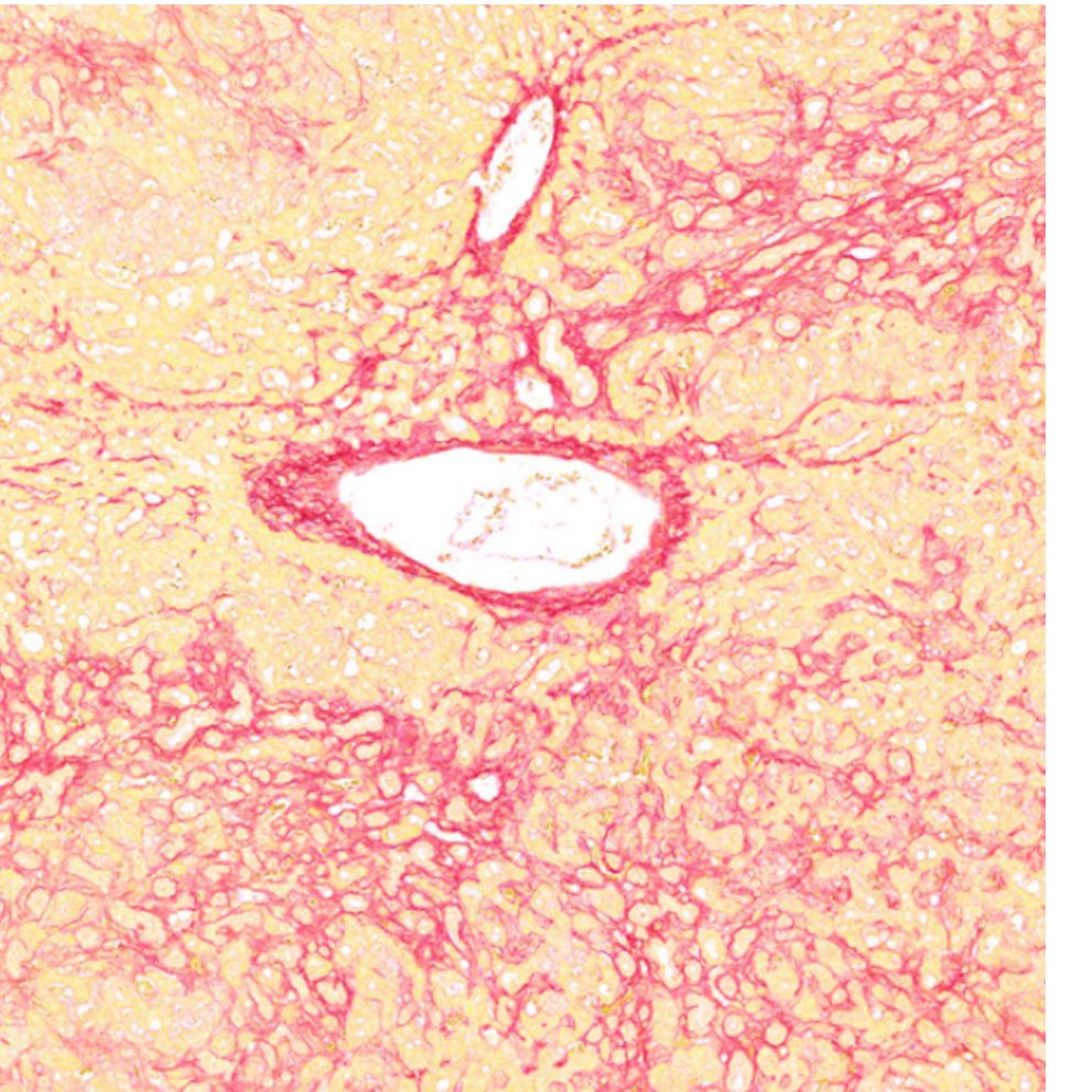
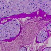
天狼猩红染色:偏振光镜检查,胶原纤维有正的单轴双折射光的属性,与天狼星红复合染色液结合后,可增强双折射,提高分辨率,从而区分两型胶原纤维。
风险提示:丁香通仅作为第三方平台,为商家信息发布提供平台空间。用户咨询产品时请注意保护个人信息及财产安全,合理判断,谨慎选购商品,商家和用户对交易行为负责。对于医疗器械类产品,请先查证核实企业经营资质和医疗器械产品注册证情况。
文献和实验该产品被引用文献
天狼猩红染色原理:
胶原纤维(Collagen Fiber)是结缔组织中分布含量最多的一种纤维,广泛分布于各种脏器,其中Ⅰ型胶原纤维主要是骨、皮肤、肌腱;Ⅱ型胶原纤维主要是软骨胶原;Ⅲ型胶原纤维主要在胚胎组织、成人血管、胃肠道;Ⅳ型胶原纤维主要在基膜中。 天狼星红与其衬染液都是强酸性染料,易与胶原分子中的碱性基团结合,吸附牢固。偏振光镜检查,胶原纤维有正的单轴双折射光的属性,与天狼星红复合染色液结合后,可增强双折射,提高分辨率,从而区分两型胶原纤维。
天狼猩红染色染色步骤:
(1)脱蜡至水:二甲苯Ⅰ5分钟,二甲苯Ⅱ5分钟,二甲苯Ⅲ5分钟,无水乙醇1分钟,95%乙醇1分钟,75%乙醇1分钟,蒸馏水洗5分钟。
(2)滴加铁苏木素染se液5-10分钟,蒸馏水洗10-20秒洗去多余染色液。
(3)自来水洗5分钟。
(4)天狼星红染色液滴染15-30分钟。
(5)流水冲洗,去除切片表面染液。
(6)脱水透明:75%乙醇1分钟,95%乙醇1分钟,无水乙醇1分钟,二甲苯3次,每次1-2分钟,中性树胶封固。
技术资料暂无技术资料 索取技术资料
文献支持
天狼猩红染色
询价









