万千商家帮你免费找货
0 人在求购买到急需产品
- 详细信息
- 技术资料
一、实验原理
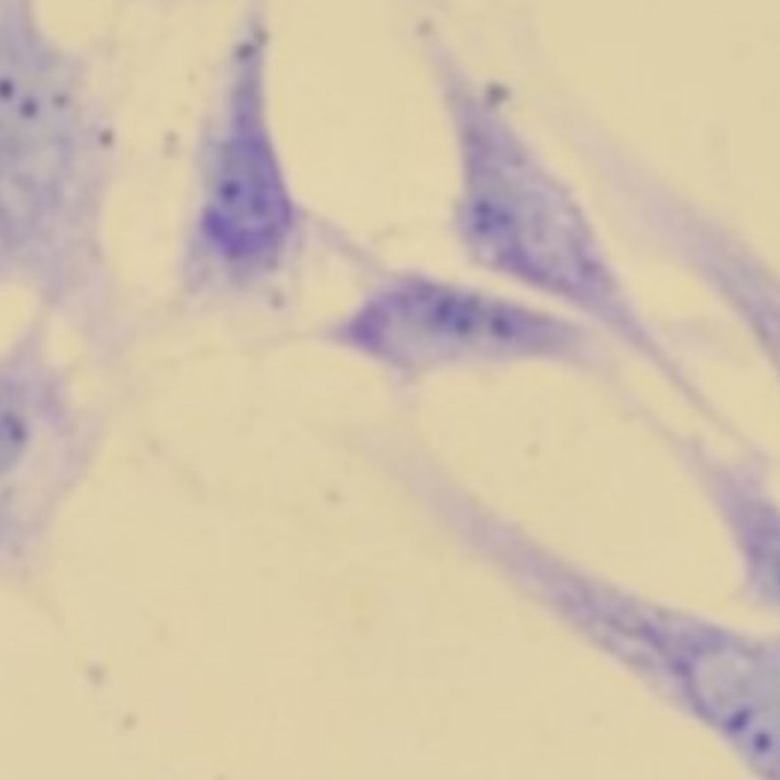
甲苯胺蓝染色实验外包是常用的人工合成染料的一种,属于醌亚胺染料类,这类染料一般含有两个发色团,一个是胺基,一个是醌型苯环,来构成色原显色。染料除有发色团外,还要有能使色原对组织及其他被染物产生亲和力的原子团即助色。助色团能促使染料产生电离成盐类,帮助发色团对组织产生染色力, 使切片上的组织细胞着色。甲苯胺蓝不仅含有两个发色团,还含有两个助色团,为碱性染料,甲苯胺蓝中的阳离子有染色作用,组织细胞的酸性物质与其中的阳离子相结合而被染色。
二、甲苯胺蓝染色实验步骤
1.组织切片常规脱蜡至水。
2.入甲苯胺蓝液30min。
3.稍水洗。
4.入bing醋酸液分化,直到胞核和颗粒清晰。
5.稍水洗,用冷风吹干。
6.二甲苯透明,中性树胶封固。
风险提示:丁香通仅作为第三方平台,为商家信息发布提供平台空间。用户咨询产品时请注意保护个人信息及财产安全,合理判断,谨慎选购商品,商家和用户对交易行为负责。对于医疗器械类产品,请先查证核实企业经营资质和医疗器械产品注册证情况。
技术资料暂无技术资料 索取技术资料
甲苯胺蓝染色实验外包
询价









