相关产品推荐更多 >
万千商家帮你免费找货
0 人在求购买到急需产品
- 详细信息
- 文献和实验
- 技术资料
- 供应商:
上海联迈生物工程有限公司
- 库存:
大量
- 目录编号:
LM-6617R
- 克隆性:
多克隆
- 抗原来源:
Rabbit
- 保质期:
1年
- 抗体英文名:
GAT1/GABA Transporter 1
- 抗体名:
γ氨基丁酸运载蛋白1抗体
- 宿主:
Rabbit
- 适应物种:
Human, Mouse, Rat, Dog, Pig, Guinea Pig,
- 免疫原:
KLH conjugated synthetic peptide derived from human GABA Transporter 1:151-250/599 <Extracellular>
- 亚型:
IgG
- 形态:
Lyophilized or Liquid
- 应用范围:
WB=1:500-2000 ELISA=1:500-1000 IHC-P=1:400-800 IHC-F=1:400-800 IF=1:100-500 (石蜡切片需做抗原修复)
- 浓度:
1mg/ml
- 保存条件:
Store at -20 °C
- 规格:
100ul 200ul
| 英文名称 | GAT1/GABA Transporter 1 |
| 中文名称 | γ氨基丁酸运载蛋白1抗体 |
| 别 名 | GABATHG; GABATR; GABT 1; GABT1; GAT-1; SLC6A1; Sodium and chloride dependent GABA transporter 1; Solute carrier family 6 (neurotransmitter transporter GABA) member 1; Solute carrier family 6 member 1. |
| 规格价格 | 100ul/1380元 购买 200ul/2200元 购买 大包装/询价 |
| 说 明 书 | 100ul 200ul |
| 研究领域 | 细胞生物 神经生物学 转运蛋白 |
| 抗体来源 | Rabbit |
| 克隆类型 | Polyclonal |
| 交叉反应 | Human, Mouse, Rat, Dog, Pig, Guinea Pig, |
| 产品应用 | WB=1:500-2000 ELISA=1:500-1000 IHC-P=1:400-800 IHC-F=1:400-800 IF=1:100-500 (石蜡切片需做抗原修复) not yet tested in other applications. optimal dilutions/concentrations should be determined by the end user. |
| 分 子 量 | 66kDa |
| 细胞定位 | 细胞浆 细胞膜 |
| 性 状 | Lyophilized or Liquid |
| 浓 度 | 1mg/ml |
| 免 疫 原 | KLH conjugated synthetic peptide derived from human GABA Transporter 1:151-250/599 <Extracellular> |
| 亚 型 | IgG |
| 纯化方法 | affinity purified by Protein A |
| 储 存 液 | 0.01M TBS(pH7.4) with 1% BSA, 0.03% Proclin300 and 50% Glycerol. |
| 保存条件 | Store at -20 °C for one year. Avoid repeated freeze/thaw cycles. The lyophilized antibody is stable at room temperature for at least one month and for greater than a year when kept at -20°C. When reconstituted in sterile pH 7.4 0.01M PBS or diluent of antibody the antibody is stable for at least two weeks at 2-4 °C. |
| PubMed | PubMed |
| 产品介绍 | background: GABA Transporter 1/GAT1 is a gamma-amino butyric acid (GABA) transporter. After its release from interneurons in the CNS, the major inhibitory neurotransmitter GABA is taken up by GABA transporters (GATs). The predominant neuronal GABA transporter GAT1 is localized in GABAergic axons and nerve terminals, where it is thought to influence GABAergic synaptic transmission by removing GABA from the synaptic cleft. Function: Terminates the action of GABA by its high affinity sodium-dependent reuptake into presynaptic terminals. Subunit: Interacts with MPP5. Subcellular Location: Cell membrane; Multi-pass membrane protein. Membrane; Multi-pass membrane protein. Note=Localized at the plasma membrane and in a subset of intracellular vesicles. Localized at the presynaptic terminals of interneurons. Similarity: Belongs to the sodium:neurotransmitter symporter (SNF) (TC 2.A.22) family. SLC6A1 subfamily. SWISS: P30531 Gene ID: 6529 Database links: Entrez Gene: 415960 Chicken Entrez Gene: 6529 Human Entrez Gene: 232333 Mouse Entrez Gene: 79212 Rat Omim: 137165 Human SwissProt: P30531 Human SwissProt: P31648 Mouse SwissProt: P23978 Rat Unigene: 443874 Human Unigene: 5260 Mouse Unigene: 10035 Rat Important Note: This product as supplied is intended for research use only, not for use in human, therapeutic or diagnostic applications. |
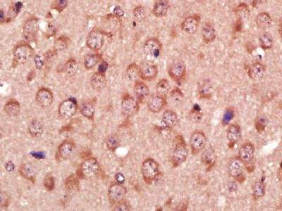
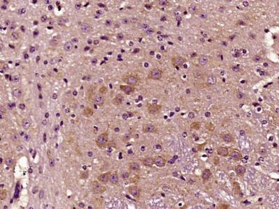
| 产品图片 | ![]() Paraformaldehyde-fixed, paraffin embedded (Mouse brain); Antigen retrieval by boiling in sodium citrate buffer (pH6.0) for 15min; Block endogenous peroxidase by 3% hydrogen peroxide for 20 minutes; Blocking buffer (normal goat serum) at 37°C for 30min; Antibody incubation with (GAT1 GABA Transporter 1) Polyclonal Antibody, Unconjugated (bs-6617R) at 1:400 overnight at 4°C, followed by operating according to SP Kit(Rabbit) (sp-0023) instructionsand DAB staining. ![]() Paraformaldehyde-fixed, paraffin embedded (Rat brain); Antigen retrieval by boiling in sodium citrate buffer (pH6.0) for 15min; Block endogenous peroxidase by 3% hydrogen peroxide for 20 minutes; Blocking buffer (normal goat serum) at 37°C for 30min; Antibody incubation with (GAT1) Polyclonal Antibody, Unconjugated (bs-6617R) at 1:400 overnight at 4°C, followed by operating according to SP Kit(Rabbit) (sp-0023) instructionsand DAB staining. |
风险提示:丁香通仅作为第三方平台,为商家信息发布提供平台空间。用户咨询产品时请注意保护个人信息及财产安全,合理判断,谨慎选购商品,商家和用户对交易行为负责。对于医疗器械类产品,请先查证核实企业经营资质和医疗器械产品注册证情况。
文献和实验Neurotransmitter Transporters and Anticonvulsant Drug Development
drugs. Tiagabine, a selective inhibitor of GABA transporter 1 (GAT1), is marketed for treatment of certain seizure types and serves as a proof of principle that inhibitors of GABA transport may be interesting in this context
三句话读懂一篇CNS:好奇心的发生机制,意念打字速度接近手机打字,古代粪便揭示肠道微生物信息...
. Alexander Heimel 团队在 Science 杂志发表论文 A cell type–specific cortico-subcortical brain circuit for investigatory and novelty-seeking behavior, 研究发现小鼠神经元区域的 γ- 氨基丁酸(GABA)能从大脑皮层接收新奇和 / 或唤醒信息的形式的兴奋性输入,揭示了好奇心驱使不同行为产生的机制。 图 10:来源 Science 本周推荐:三句话读懂一篇 CNS:为什么有人总是容易
下才打开,又称为门通道(gated channel)。主要有4类:电位门通道、配体门通道、环核苷酸门通道、机械门通道。 1、配体门通道(ligand gated channel) 特点:受体与细胞外的配体结合,引起门通道蛋白发生构象变化, “门”打开。又称离子通道型受体。 可分为阳离子通道,如乙酰胆碱、谷氨酸和五羟色胺受体,和阴离子通道,如甘氨酸和γ-氨基丁酸受体。 Ach受体是由4种不同的亚单位组成的5聚体蛋白质,形成一个结构为α2βγδ的梅花状通道样结构,其中的两个α亚单位是同两分子Ach
技术资料暂无技术资料 索取技术资料












