相关产品推荐更多 >
万千商家帮你免费找货
0 人在求购买到急需产品
- 详细信息
- 询价记录
- 文献和实验
- 技术资料
- 供应商:
上海联迈生物工程有限公司
- 库存:
大量
- 目录编号:
LM-1035R
- 克隆性:
多克隆
- 抗原来源:
Rabbit
- 保质期:
1年
- 抗体英文名:
CD86
- 抗体名:
CD86抗体
- 宿主:
Rabbit
- 适应物种:
Human, Mouse, Rat, Dog, Pig, Cow, Sheep,
- 免疫原:
KLH conjugated synthetic peptide derived from the middle of human CD86 (140-175aa):140-175/313 <Extracellular>
- 亚型:
IgG
- 形态:
Lyophilized or Liquid
- 应用范围:
WB=1:500-2000 ELISA=1:500-1000 IHC-P=1:400-800 IHC-F=1:400-800 Flow-Cyt=1μg/Test ICC=1:100-500 IF=1:100-500 (石蜡切片需做抗原修复)
- 浓度:
1mg/ml
- 保存条件:
Store at -20 °C
- 规格:
50ul 100ul 200ul
| 英文名称 | CD86 |
| 中文名称 | CD86抗体 |
| 别 名 | CD28LG2; FUN1; LAB72; Activation B7 2 antigen; Activation B7-2 antigen 3; CD86_HUMAN; Activation B7-2 antigen; Activation B72 antigen; B lymphocyte activation antigen B7 2; B lymphocyte activation antigen B72; B-lymphocyte activation antigen B7-2 2; B-lymphocyte activation antigen B7-2; B7 2; B7 2 antigen; B7; B7-2; B7.2; B70; B72 antigen; BU63; CD 86; CD28 antigen ligand 2 2; CD28 antigen ligand 2; Cd28l2; CD28LG2; CD86 antigen (CD28 antigen ligand 2, B7-2 antigen) 1, 2; CD86 antigen; CD86 molecule; CLS1; CTLA 4 counter receptor B7 2; CTLA 4 counter receptor B7.2; CTLA-4 counter-receptor B7.2 2, 3; CTLA4 counter receptor B72; Early T-cell costimulatory molecule 1; ETC-1; FUN 1; LAB72; Ly-58; Ly58; MB7; MB7-2; Membrane glycoprotein; MGC34413; T lymphocyte activation antigen CD86; T-lymphocyte activation antigen CD86; TS/A-2. |
![]() |
Specific References (10) | bs-1035R has been referenced in 10 publications. [IF=0.00] Evans, Elizabeth E., et al. "Antibody blockade of semaphorin 4D promotes immune infiltration into tumor and enhances response to other immunomodulatory therapies." Cancer Immunology Research (2015): canimm-0171. IHC-P ; Mouse. PubMed:25614511 [IF=0.90] Zhou, Xi-Jin, et al. "Vasoactive Intestinal Peptide Promotes Immune Escape of MKN45 Cells by Inhibiting Antigen-Presenting Molecules of Dendritic Cells In Vitro." International Journal of Peptide Research and Therapeutics: 1-13. other ; PubMed:not posted yet [IF=2.96] Xie, Juan, et al. "PICK1 confers anti-inflammatory effects in acute liver injury via suppressing M1 macrophage polarization." Biochimie (2016). WB ; Mouse. PubMed:27157267 [IF=1.55] Chen, Quan, et al. "Prevention of ultraviolet radiation‑induced immunosuppression by sunscreen in Candida albicans‑induced delayed‑type hypersensitivity." Molecular Medicine Reports (2016). WB ; Mouse. PubMed:27175551 [IF=5.76] Das, Subhamoy, et al. "Syndesome Therapeutics for Enhancing Diabetic Wound Healing." Advanced Healthcare Materials (2016). IHC-P ; Mouse. PubMed:27385307 [IF=2.16] Ju, Huanyu, et al. "An effective cytokine adjuvant vaccine induces autologous T-cell response against colon cancer in an animal model." BMC immunology 17.1 (2016): 31. IHC-P ; Mouse. PubMed:27669687 [IF=1.58] Liang, Zhuoping, et al. "Role of dendritic cells in consistency between upper and lower airway inflammatory responses: animal experimental studies." Int J Clin Exp Pathol 9.10 (2016): 10093-10104. IHC-P ; Rat. PubMed:0 [IF=1.48] Zhang, Suxin, et al. "Variation and significance of secretory immunoglobulin A, interleukin 6 and dendritic cells in oral cancer." Oncology Letters. IHC-P ; Human. PubMed:28454394 [IF=3.15] Chen, Xionglin, et al. "Peptide-modified chitosan hydrogels promote skin wound healing by enhancing wound angiogenesis and inhibiting inflammation." Am J Transl Res 9.5 (2017): 2352-2362. IHC-P ; Mouse. PubMed:28559985 [IF=5.19] Han, Sheng, et al. "LPS alters the immuno-phenotype of glioma and glioma stem-like cells and induces in vivo antitumor immunity via TLR4." Journal of Experimental & Clinical Cancer Research 36.1 (2017): 83. WB ; Human. PubMed:28641579 |
| 规格价格 | 50ul/780元 购买 100ul/1380元 购买 200ul/2200元 购买 大包装/询价 |
| 说 明 书 | 50ul 100ul 200ul |
| 研究领域 | 免疫学 微生物学 干细胞 细胞表面分子 糖蛋白 淋巴细胞 t-淋巴细胞 b-淋巴细胞 |
| 抗体来源 | Rabbit |
| 克隆类型 | Polyclonal |
| 交叉反应 | Human, Mouse, Rat, Dog, Pig, Cow, Sheep, |
| 产品应用 | WB=1:500-2000 ELISA=1:500-1000 IHC-P=1:400-800 IHC-F=1:400-800 Flow-Cyt=1μg/Test ICC=1:100-500 IF=1:100-500 (石蜡切片需做抗原修复) not yet tested in other applications. optimal dilutions/concentrations should be determined by the end user. |
| 分 子 量 | 31kDa |
| 细胞定位 | 细胞膜 |
| 性 状 | Lyophilized or Liquid |
| 浓 度 | 1mg/ml |
| 免 疫 原 | KLH conjugated synthetic peptide derived from the middle of human CD86 (140-175aa):140-175/313 <Extracellular> |
| 亚 型 | IgG |
| 纯化方法 | affinity purified by Protein A |
| 储 存 液 | 0.01M TBS(pH7.4) with 1% BSA, 0.03% Proclin300 and 50% Glycerol. |
| 保存条件 | Store at -20 °C for one year. Avoid repeated freeze/thaw cycles. The lyophilized antibody is stable at room temperature for at least one month and for greater than a year when kept at -20°C. When reconstituted in sterile pH 7.4 0.01M PBS or diluent of antibody the antibody is stable for at least two weeks at 2-4 °C. |
| PubMed | PubMed |
| 产品介绍 | background: This gene encodes a type I membrane protein that is a member of the immunoglobulin superfamily. This protein is expressed by antigen-presenting cells, and it is the ligand for two proteins at the cell surface of T cells, CD28 antigen and cytotoxic T-lymphocyte-associated protein 4. Binding of this protein with CD28 antigen is a costimulatory signal for activation of the T-cell. Binding of this protein with cytotoxic T-lymphocyte-associated protein 4 negatively regulates T-cell activation and diminishes the immune response. Alternative splicing results in several transcript variants encoding different isoforms.[provided by RefSeq, May 2011]. Function: Receptor involved in the costimulatory signal essential for T-lymphocyte proliferation and interleukin-2 production, by binding CD28 or CTLA-4. May play a critical role in the early events of T-cell activation and costimulation of naive T-cells, such as deciding between immunity and anergy that is made by T-cells within 24 hours after activation. Isoform 2 interferes with the formation of CD86 clusters, and thus acts as a negative regulator of T-cell activation. Subunit: Homodimer. Interacts with MARCH8. Interacts with human herpesvirus 8 MIR2 protein (Probable). Interacts with adenovirus subgroup B fiber proteins and acts as a receptor for these viruses. Subcellular Location: Cell membrane; Single-pass type I membrane protein. Tissue Specificity: Expressed by activated B-lymphocytes and monocytes. Post-translational modifications: Polyubiquitinated; which is promoted by MARCH8 and results in endocytosis and lysosomal degradation. Similarity: Contains 1 Ig-like C2-type (immunoglobulin-like) domain. Contains 1 Ig-like V-type (immunoglobulin-like) domain. SWISS: O35531 Gene ID: 942 Database links: Entrez Gene: 942 Human Entrez Gene: 56822 Rat Omim: 601020 Human SwissProt: P42081 Human Unigene: 171182 Human Unigene: 229570 Rat Important Note: This product as supplied is intended for research use only, not for use in human, therapeutic or diagnostic applications. CD86是一个很重要要的辅助刺激分子,CD86作为CD28的辅助刺激分子,提供 T 细胞活化的辅助信号,它们之间的结合和随后介导的信号转导是 T 细胞和 APC 相互协作的重要分子基础。 |
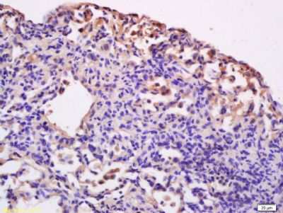
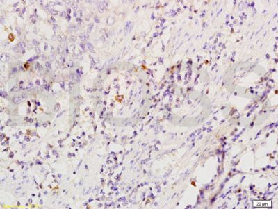
| 产品图片 | ![]() Sample: Lymph node(Mouse)Cell Lysate at 40 ug Primary: Anti-CD86 (bs-1035R) at 1/300 dilution Secondary: IRDye800CW Goat Anti-Rabbit IgG at 1/20000 dilution Predicted band size: 31 kD Observed band size: 31 kD ![]() Sample: Brain(Rat) lysates at 30ug; Heart(Rat) lysates, 30ug; Primary: Anti-CD86/B7-2 (bs-1035R) at 1:200; Secondary: HRP conjugated Goat Anti-Rabbit IgG(bs-0295G-HRP) at 1: 3000; ECL excitated the fluorescence; Predicted band size : 34kD Observed band size : 34kD ![]() Tissue/cell: rat lung tissue; 4% Paraformaldehyde-fixed and paraffin-embedded; Antigen retrieval: citrate buffer ( 0.01M, pH 6.0 ), Boiling bathing for 15min; Block endogenous peroxidase by 3% Hydrogen peroxide for 30min; Blocking buffer (normal goat serum,C-0005) at 37℃ for 20 min; Incubation: Anti-CD86/B7-2 Polyclonal Antibody, Unconjugated(bs-1035R) 1:200, overnight at 4°C, followed by conjugation to the secondary antibody(SP-0023) and DAB(C-0010) staining ![]() Tissue/cell: Human esophageal carcinoma; 4% Paraformaldehyde-fixed and paraffin-embedded; Antigen retrieval: citrate buffer ( 0.01M, pH 6.0 ), Boiling bathing for 15min; Block endogenous peroxidase by 3% Hydrogen peroxide for 30min; Blocking buffer (normal goat serum,C-0005) at 37℃ for 20 min; Incubation: Anti-CD86/B7-2 Polyclonal Antibody, Unconjugated(bs-1035R) 1:200, overnight at 4°C, followed by conjugation to the secondary antibody(SP-0023) and DAB(C-0010) staining ![]() Tissue/cell: BV-2 cell; 4% Paraformaldehyde-fixed; Triton X-100 at room temperature for 20 min; Blocking buffer (normal goat serum, C-0005) at 37°C for 20 min; Antibody incubation with (CD86) Polyclonal Antibody, Unconjugated (bs-1035R) 1:200, 90 minutes at 37°C; followed by a conjugated Goat Anti-Rabbit IgG antibody (bs-0295G-FITC) at 37°C for 90 minutes, DAPI (5ug/ml, blue, C-0033) was used to stain the cell nuclei. ![]() Blank control: U937(blue). Primary Antibody: Rabbit Anti-CD86 antibody(bs-1035R), Dilution: 1μg in 100 μL 1X PBS containing 0.5% BSA; Isotype Control Antibody: Rabbit IgG (orange) ,used under the same conditions. Secondary Antibody: Goat anti-rabbit IgG-PE(white blue), Dilution: 1:200 in 1 X PBS containing 0.5% BSA. Protocol The cells were fixed with 2% paraformaldehyde (10 min).Primary antibody (bs-1035R, 1μg /1x10^6 cells) were incubated for 30 min on the ice, followed by 1 X PBS containing 0.5% BSA + 10% goat serum (15 min) to block non-specific protein-protein interactions. Then the Goat Anti-rabbit IgG/PE antibody was added into the blocking buffer mentioned above to react with the primary antibody at 1/200 dilution for 30 min on ice. Acquisition of 20,000 events was performed. |
风险提示:丁香通仅作为第三方平台,为商家信息发布提供平台空间。用户咨询产品时请注意保护个人信息及财产安全,合理判断,谨慎选购商品,商家和用户对交易行为负责。对于医疗器械类产品,请先查证核实企业经营资质和医疗器械产品注册证情况。
- 作者
- 内容
- 询问日期
文献和实验CD86 分子 CD86 常用单克隆抗体或代号: FUN- 1,BU63,GR65;(B7- 2) 主要表达细胞: Ba,M [B] 分子质量(kDa)和结构: gp80(IgSF) 功 能: CD28、CTLA- 4配体,提供T细胞共刺激信号 CD86 Summary: Costimulates IL-2 production and T cell proliferation
抗体的结构决定了其对应的功能,同一抗体的V区和C区的氨基酸组成和顺序不同,决定了其功能上的差异。V区和C区的组成和结构,决定了抗体的生物学功能。 图1:抗体的主要功能(图片来源:Abbas et al: Cellular and Molecular Immunology, 7e.) 1、特异性识别功能 抗体可以通过其结构上的可变区域与抗原结合,同时,具有极高的特异性。这种特异性识别功能可以使抗体识别和结合到感染的病原体,肿瘤细胞等不同种类的分子,帮助免疫系统识别并定位到这些分子,进而启动
在生命科学和医学基础研究中,或多或少都需要用到抗体。抗体的应用场景不同、标记物众多,且针对同一标记物市场上往往有多个抗体可供选择,那么,我们如何从成百万上千万种抗体中,挑选出我们想要的那支呢? 在我们6月份的关于抗体的调研活动中,我们发现,大家更多的是去参考文献或专利中的材料和方法部分,这无疑很大程度上保证了抗体的有效性。其次有45%和34%的受访者会用到百度和谷歌,然而这两个搜索引擎覆盖面颇广,经常会出现抗体无关的搜索结果,而专业用于查找抗体的网站,大家却知之甚少。 因此,本次文章中
技术资料暂无技术资料 索取技术资料

















