相关产品推荐更多 >
万千商家帮你免费找货
0 人在求购买到急需产品
- 详细信息
- 技术资料
- 供应商:
上海联迈生物工程有限公司
- 库存:
大量
- 目录编号:
LM-13677R
- 克隆性:
多克隆
- 抗原来源:
Rabbit
- 保质期:
1年
- 抗体英文名:
RUSC1
- 抗体名:
RUSC1抗体
- 宿主:
Rabbit
- 适应物种:
Human, Mouse, Rat, Pig, Cow, Sheep,
- 免疫原:
KLH conjugated synthetic peptide derived from human RUSC1:281-380/902
- 亚型:
IgG
- 形态:
Lyophilized or Liquid
- 应用范围:
WB=1:500-2000 ELISA=1:500-1000 IHC-P=1:400-800 IHC-F=1:400-800 ICC=1:100-500 IF=1:100-500 (石蜡切片需做抗原修复)
- 浓度:
1mg/ml
- 保存条件:
Store at -20 °C
- 规格:
100ul 200ul
RUSC1抗体
| 英文名称 | RUSC1 |
| 中文名称 | RUSC1抗体 |
| 别 名 | DKFZp761A1822; Nesca; New molecule containing SH3 at the carboxy terminus; RUN and SH3 domain containing 1; RUN and SH3 domain containing protein 1; RUSC 1. |
| 规格价格 | 100ul/1380元 购买 200ul/2200元 购买 大包装/询价 |
| 说 明 书 | 100ul 200ul |
| 研究领域 | 细胞生物 神经生物学 信号转导 细胞分化 |
| 抗体来源 | Rabbit |
| 克隆类型 | Polyclonal |
| 交叉反应 | Human, Mouse, Rat, Pig, Cow, Sheep, |
| 产品应用 | WB=1:500-2000 ELISA=1:500-1000 IHC-P=1:400-800 IHC-F=1:400-800 ICC=1:100-500 IF=1:100-500 (石蜡切片需做抗原修复) not yet tested in other applications. optimal dilutions/concentrations should be determined by the end user. |
| 分 子 量 | 96kDa |
| 细胞定位 | 细胞核 细胞浆 |
| 性 状 | Lyophilized or Liquid |
| 浓 度 | 1mg/ml |
| 免 疫 原 | KLH conjugated synthetic peptide derived from human RUSC1:281-380/902 |
| 亚 型 | IgG |
| 纯化方法 | affinity purified by Protein A |
| 储 存 液 | 0.01M TBS(pH7.4) with 1% BSA, 0.03% Proclin300 and 50% Glycerol. |
| 保存条件 | Store at -20 °C for one year. Avoid repeated freeze/thaw cycles. The lyophilized antibody is stable at room temperature for at least one month and for greater than a year when kept at -20°C. When reconstituted in sterile pH 7.4 0.01M PBS or diluent of antibody the antibody is stable for at least two weeks at 2-4 °C. |
| PubMed | PubMed |
| 产品介绍 | background: RUSC1 is a 902 amino acid protein that contains a RUN domain and a SH3 domain. RUSC1’s RUN domain is necessary for NGF induced nuclear redistribution. RUSC1 is a putative signaling adapter which may play a role in neuronal differentiation. RUSC1 seems to be involved in signaling pathways that are regulated by the prolonged activation of MAPK. RUSC2 (RUN and SH3 domain containing 2), also known as Iporin, is a 1,516 amino acid cytoplasmic protein that is widely expressed, with highest levels in brain and testis. The RUN domain of RUSC2 is required for interaction with Rab 1A, Rab 1B and GM130. It is thought that RUSC2 may possibly function as a connector between endoplasmic reticulum (ER) derived vesicle targets triggered by the Rab 1 GTPases and a signaling pathway regulated by molecules containing SH3 and/or poly-proline regions. RUSC2 also consists of a SH3 domain, suggesting a role in protein-protein interactions. Function: RUSC1 is a putative signaling adapter which may play a role in neuronal differentiation and may be involved in regulation of NGF-dependent neurite outgrowth. It seems to be involved in signaling pathways that are regulated by the prolonged activation of MAPK. Subunit: Interacts with IKBKG and TRAF6. Interacts with F-actin, acetylated actin, TUBB3, STX1A, KIF5B and KLC1 (By similarity). Subcellular Location: Cytoplasm. Nucleus. Note=Translocated to the nuclear envelope upon stimulation with NGF. Tissue Specificity: Predominantly expressed in brain. Post-translational modifications: Phosphorylated on serine residues following nuclear translocation. Polyubiquitinated; polyubiquitination involves TRAF6. Similarity: Contains 1 RUN domain. Contains 1 SH3 domain. SWISS: Q9BVN2 Gene ID: 23623 Database links: Entrez Gene: 23623 Human Entrez Gene: 72296 Mouse SwissProt: Q9BVN2 Human SwissProt: Q8BG26 Mouse Important Note: This product as supplied is intended for research use only, not for use in human, therapeutic or diagnostic applications. |
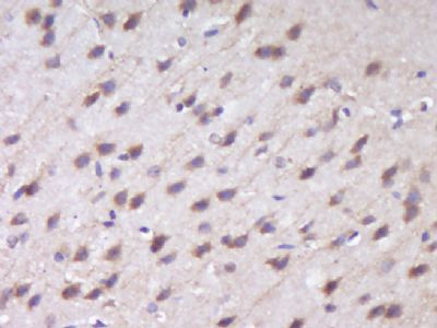
| 产品图片 | ![]() Sample:Hela (Human)Cell Lysate at 40 ug Primary: Anti-RUSC1(bs-13677R)at 1/300 dilution Secondary: IRDye800CW Goat Anti-RabbitIgG at 1/20000 dilution Predicted band size: 96kD Observed band size: 105kD ![]() Paraformaldehyde-fixed, paraffin embedded (Mouse brain); Antigen retrieval by boiling in sodium citrate buffer (pH6.0) for 15min; Block endogenous peroxidase by 3% hydrogen peroxide for 20 minutes; Blocking buffer (normal goat serum) at 37°C for 30min; Antibody incubation with (RUSC1) Polyclonal Antibody, Unconjugated (bs-13677R) at 1:400 overnight at 4°C, followed by operating according to SP Kit(Rabbit) (sp-0023) instructionsand DAB staining. |
风险提示:丁香通仅作为第三方平台,为商家信息发布提供平台空间。用户咨询产品时请注意保护个人信息及财产安全,合理判断,谨慎选购商品,商家和用户对交易行为负责。对于医疗器械类产品,请先查证核实企业经营资质和医疗器械产品注册证情况。
技术资料暂无技术资料 索取技术资料
RUSC1抗体
¥1380 - 2200











