相关产品推荐更多 >
万千商家帮你免费找货
0 人在求购买到急需产品
- 详细信息
- 文献和实验
- 技术资料
- 供应商:
上海联迈生物工程有限公司
- 库存:
大量
- 目录编号:
LM-5564R
- 克隆性:
多克隆
- 抗原来源:
Rabbit
- 保质期:
1年
- 抗体英文名:
phospho-PRKD3(Ser41)
- 抗体名:
磷酸化蛋白激酶C nu型抗体
- 宿主:
Rabbit
- 适应物种:
Human, Mouse, Rat, Dog, Cow, Rabbit,
- 免疫原:
KLH conjugated Synthesised phosphopeptide derived from human PRKD3 around the phosphorylation site of Ser41 [RL(p-S)NG]:RL(p-S)NG
- 亚型:
IgG
- 形态:
Lyophilized or Liquid
- 应用范围:
WB=1:500-2000 ELISA=1:500-1000 IHC-P=1:400-800 IHC-F=1:400-800 IF=1:100-500 (石蜡切片需做抗原修复)
- 浓度:
1mg/ml
- 保存条件:
Store at -20 °C
- 规格:
100ul
| 英文名称 | phospho-PRKD3(Ser41) |
| 中文名称 | 磷酸化蛋白激酶C nu型抗体 |
| 别 名 | PRKD3(phospho S41); PKD/PKCμ(Phospho-Ser41); EPK 2; EPK2; EPK-2; nPKC nu; nPKCnu; nu; PKCnu; PKD 3; PKD3; PRK D3; PRKCN; PRKD 3; PRKD3; Protein kinase C; Protein kinase C nu; Protein kinase C nu type; Protein kinase D3; Protein kinase EPK 2; Protein kinase EPK2; Serine threonine protein kinase; Serine/threonine protein kinase D3; KPCD3_HUMAN. |
| 规格价格 | 100ul/1580元 购买 大包装/询价 |
| 说 明 书 | 100ul |
| 产品类型 | 磷酸化抗体 |
| 研究领域 | 免疫学 信号转导 激酶和磷酸酶 |
| 抗体来源 | Rabbit |
| 克隆类型 | Polyclonal |
| 交叉反应 | Human, Mouse, Rat, Dog, Cow, Rabbit, |
| 产品应用 | WB=1:500-2000 ELISA=1:500-1000 IHC-P=1:400-800 IHC-F=1:400-800 IF=1:100-500 (石蜡切片需做抗原修复) not yet tested in other applications. optimal dilutions/concentrations should be determined by the end user. |
| 分 子 量 | 100kDa |
| 细胞定位 | 细胞浆 细胞膜 |
| 性 状 | Lyophilized or Liquid |
| 浓 度 | 1mg/ml |
| 免 疫 原 | KLH conjugated Synthesised phosphopeptide derived from human PRKD3 around the phosphorylation site of Ser41 [RL(p-S)NG]:RL(p-S)NG |
| 亚 型 | IgG |
| 纯化方法 | affinity purified by Protein A |
| 储 存 液 | 0.01M TBS(pH7.4) with 1% BSA, 0.03% Proclin300 and 50% Glycerol. |
| 保存条件 | Store at -20 °C for one year. Avoid repeated freeze/thaw cycles. The lyophilized antibody is stable at room temperature for at least one month and for greater than a year when kept at -20°C. When reconstituted in sterile pH 7.4 0.01M PBS or diluent of antibody the antibody is stable for at least two weeks at 2-4 °C. |
| PubMed | PubMed |
| 产品介绍 | background: Protein kinase C (PKC) is a family of serine and threonine specific protein kinases that can be activated by calcium and the second messenger diacylglycerol. PKC family members phosphorylate a wide variety of protein targets and are known to be involved in diverse cellular signaling pathways. PKC family members also serve as major receptors for phorbol esters, a class of tumor promoters. Each member of the PKC family has a specific expression profile and is believed to play a distinct role. The protein encoded by this gene is one of the PKC family members. This kinase can be activated rapidly by the agonists of G protein coupled receptors. It resides in both cytoplasm and nucleus, and its nuclear accumulation is found to be dramatically enhanced in response to its activation. This kinase can also be activated after B cell antigen receptor (BCR) engagement, which requires intact phopholipase C gamma and the involvement of other PKC family members. Function: Converts transient diacylglycerol (DAG) signals into prolonged physiological effects, downstream of PKC. Involved in resistance to oxidative stress. Subcellular Location: Cytoplasm. Membrane. Note=Translocation to the cell membrane is required for kinase activation. Tissue Specificity: Ubiquitous. Similarity: Belongs to the protein kinase superfamily. CAMK Ser/Thr protein kinase family. PKD subfamily. Contains 1 PH domain. Contains 2 phorbol-ester/DAG-type zinc fingers. Contains 1 protein kinase domain. SWISS: O94806 Gene ID: 23683 Database links: Entrez Gene: 23683 Human Entrez Gene: 538447 Cow Entrez Gene: 483036 Dog Entrez Gene: 75292 Mouse Entrez Gene: 313834 Rat Omim: 607077 Human SwissProt: O94806 Human SwissProt: Q8K1Y2 Mouse Unigene: 660757 Human Unigene: 716034 Human Unigene: 252776 Mouse Important Note: This product as supplied is intended for research use only, not for use in human, therapeutic or diagnostic applications. |
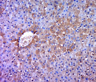
| 产品图片 | ![]() Paraformaldehyde-fixed, paraffin embedded (rat stomach tissue); Antigen retrieval by boiling in sodium citrate buffer (pH6.0) for 15min; Block endogenous peroxidase by 3% hydrogen peroxide for 20 minutes; Blocking buffer (normal goat serum) at 37°C for 30min; Antibody incubation with (p-PRKD3(Ser41)) Polyclonal Antibody, Unconjugated (bs5564R) at 1:400 overnight at 4°C, followed by a conjugated secondary (sp-0023) for 20 minutes and DAB staining. ![]() Paraformaldehyde-fixed, paraffin embedded (rat liver tissue); Antigen retrieval by boiling in sodium citrate buffer (pH6.0) for 15min; Block endogenous peroxidase by 3% hydrogen peroxide for 20 minutes; Blocking buffer (normal goat serum) at 37°C for 30min; Antibody incubation with (p-PRKD3(Ser41)) Polyclonal Antibody, Unconjugated (bs5564R) at 1:400 overnight at 4°C, followed by a conjugated secondary (sp-0023) for 20 minutes and DAB staining. |
风险提示:丁香通仅作为第三方平台,为商家信息发布提供平台空间。用户咨询产品时请注意保护个人信息及财产安全,合理判断,谨慎选购商品,商家和用户对交易行为负责。对于医疗器械类产品,请先查证核实企业经营资质和医疗器械产品注册证情况。
文献和实验第五节 蛋白激酶C 蛋白激酶C(protein kinase C,PKC)是一类Ca 2+ 、磷脂依赖性的蛋白激酶,在跨膜信号传递过程中起着重要作用。PKC通过催化多种蛋白质上Ser/Thr磷酸化,调节多种细胞的代谢、生长、增殖和分化。 表 8-3 哺乳动物组织内的PKC亚类 亚 类 氨基酸残基 分子量(kDa) 激 活 剂 表达组织 A组:经典PKC
578475733 因最近要做蛋白激酶C在糖尿病方面的实验,求助各位高手有没有蛋白激酶C信号通路的图片,最好带注解,十分感谢。 石依信念 我也想要~~~~ 黑胡桃 [img]data:image/png;base64,iVBORw0KGgoAAAANSUhEUgAAAskAAAGdCAYAAADgwu6RAAAgAElEQVR4Aey9B7xdxZXmu04
Using Phospho‐Motif Antibodies to Determine Kinase Substrates
., Graves, D.J., DeMaggio, A.J., Hoekstra, M.F., Blenis, J., Hunter, T., and Cantley, L.C. 1996. A structural basis for substrate specificities of protein Ser/Thr kinases: Primary sequence preference of. casein kinases I and II, NIMA, phosphorylase kinase
技术资料暂无技术资料 索取技术资料












