相关产品推荐更多 >
万千商家帮你免费找货
0 人在求购买到急需产品
- 详细信息
- 文献和实验
- 技术资料
- 供应商:
上海联迈生物工程有限公司
- 库存:
大量
- 目录编号:
LM-4500R
- 克隆性:
多克隆
- 抗原来源:
Rabbit
- 保质期:
1年
- 抗体英文名:
BRLF1
- 抗体名:
EBV立即早期基因BRLF1抗体
- 宿主:
Rabbit
- 适应物种:
Human, HHV4tp2
- 免疫原:
KLH conjugated synthetic peptide derived from human HHV4tp2 BRLF1:151-250/605
- 亚型:
IgG
- 形态:
Lyophilized or Liquid
- 应用范围:
ELISA=1:500-1000 IHC-P=1:400-800 IHC-F=1:400-800 IF=1:50-200 (石蜡切片需做抗原修复)
- 浓度:
1mg/ml
- 保存条件:
Store at -20 °C
- 规格:
100ul 200ul
| 英文名称 | BRLF1 |
| 中文名称 | EBV立即早期基因BRLF1抗体 |
| 别 名 | Human herpesvirus 4 type 2 |
| 规格价格 | 100ul/1380元 购买 200ul/2200元 购买 大包装/询价 |
| 说 明 书 | 100ul 200ul |
| 研究领域 | 肿瘤 细胞生物 免疫学 细菌及病毒 |
| 抗体来源 | Rabbit |
| 克隆类型 | Polyclonal |
| 交叉反应 | Human, HHV4tp2 |
| 产品应用 | ELISA=1:500-1000 IHC-P=1:400-800 IHC-F=1:400-800 IF=1:50-200 (石蜡切片需做抗原修复) not yet tested in other applications. optimal dilutions/concentrations should be determined by the end user. |
| 分 子 量 | 67kDa |
| 性 状 | Lyophilized or Liquid |
| 浓 度 | 1mg/ml |
| 免 疫 原 | KLH conjugated synthetic peptide derived from human HHV4tp2 BRLF1:151-250/605 |
| 亚 型 | IgG |
| 纯化方法 | affinity purified by Protein A |
| 储 存 液 | 0.01M TBS(pH7.4) with 1% BSA, 0.03% Proclin300 and 50% Glycerol. |
| 保存条件 | Store at -20 °C for one year. Avoid repeated freeze/thaw cycles. The lyophilized antibody is stable at room temperature for at least one month and for greater than a year when kept at -20°C. When reconstituted in sterile pH 7.4 0.01M PBS or diluent of antibody the antibody is stable for at least two weeks at 2-4 °C. |
| PubMed | PubMed |
| 产品介绍 | background: No data available. SWISS: Q3KSS7 Gene ID: 3783727 Important Note: This product as supplied is intended for research use only, not for use in human, therapeutic or diagnostic applications. Epstein-Barr病毒(EB V)是疱疹病毒科γ亚科成员,是一种在人群中分布广泛的感染因子,在全世界90%以上人感染此病毒。E BV可引起人类的传染性单核细胞增多症,还与Burkitt’s淋巴瘤及鼻咽癌的发生密切相关。EB V的基因组长约172kb,基因组的末端有多个长约0.5kb的末端重复序列,可以使病毒基因组环化成环状游离体(episom e),并以此形式持续存在于受感染细胞的细胞核内。EB V有潜伏周期和裂解周期两种状态。E BV进入细胞后,通常很快进入潜伏期,病毒基因组持续存在于细胞内。但病毒在受感染细胞的少数细胞中可以进入增殖期,并产生病毒颗粒。佛波酯、钙离子载体、丁酸盐、抗膜免疫球蛋白处理潜伏有EB V的B淋巴细胞,都可以诱导E BV由潜伏状态转换到裂解状态。BZLF1(Bam H I片段Z左向第一读码框)和BRLF1(Bam H I片段R左向第一读码框)两个基因在病毒的潜伏周期转变为裂解周期的过程中起重要作用。 |
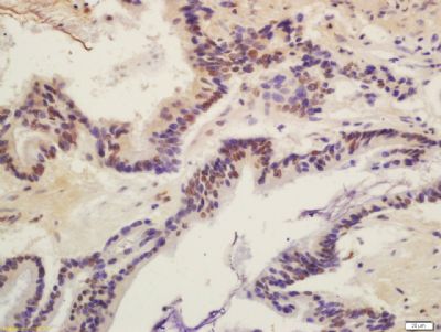
| 产品图片 | ![]() Tissue/cell: human colon carcinoma; 4% Paraformaldehyde-fixed and paraffin-embedded; Antigen retrieval: citrate buffer ( 0.01M, pH 6.0 ), Boiling bathing for 15min; Block endogenous peroxidase by 3% Hydrogen peroxide for 30min; Blocking buffer (normal goat serum,C-0005) at 37℃ for 20 min; Incubation: Anti-BRLF1 Polyclonal Antibody, Unconjugated(bs-4500R) 1:200, overnight at 4°C, followed by conjugation to the secondary antibody(SP-0023) and DAB(C-0010) staining |
风险提示:丁香通仅作为第三方平台,为商家信息发布提供平台空间。用户咨询产品时请注意保护个人信息及财产安全,合理判断,谨慎选购商品,商家和用户对交易行为负责。对于医疗器械类产品,请先查证核实企业经营资质和医疗器械产品注册证情况。
文献和实验一些策略中的步骤数和复杂性可增加TAT,使结果推迟。当地法规可能要求采用特定的试验或策略。 在策略流程图图中,A表示初步试验,可能是常规试验或者快速试验。B代表鉴别试验,用来区分HIV-1或HIV-2感染。C代表HIV-1NAT。D表示HIV-1抗体补充试验。策略中所有试验应遵循制造商说明书、实验室规章、适用的监管机构要求。 1 策略Ⅰ:单独的初步抗原/抗体联合免疫学试验 策略Ⅰ 使用灵敏的初步筛查试验,能在急性、早期和持续感染阶段检出HIV
LMP2B EBV EBNA1 EBV EBNA2 EBV BZLF1 EBV BRLF1 EBV BcLF1 EBV BLLF1 HLA-DR alpha TNF-alpha supar-domain1 VEGF165 RP2 RP3 exon1 RP3 exon2 RP3 exon3~6 RP3 exon7~10 RP3 exon11~14 RP3 exon15~19 DYPD ICAM-I VCAM 1 BCL2L1 survivin
early gene|立即早期基因[有时特指病毒] Immobiline|[商]固定化电解质[pharmacia公司商标,为丙烯酰胺衍生物,带有官能团,可在凝 胶上自动形成固定的pH梯度] immortalization|无限增殖化,永生化[使细胞长期不断维持增殖状态] immunoadhesin|免疫粘附素 immunoadjuvant|免疫佐剂 immunoadsorbent|免疫吸附剂
技术资料暂无技术资料 索取技术资料











