相关产品推荐更多 >
万千商家帮你免费找货
0 人在求购买到急需产品
- 详细信息
- 文献和实验
- 技术资料
- 供应商:
上海联迈生物工程有限公司
- 库存:
大量
- 目录编号:
LM-6749R
- 克隆性:
多克隆
- 抗原来源:
Rabbit
- 保质期:
1年
- 抗体英文名:
Ubiquitously expressed transcript
- 抗体名:
广泛表达转录蛋白UXT抗体
- 宿主:
Rabbit
- 适应物种:
Human, Mouse, Rat, Dog, Pig, Cow, Horse, Sheep,
- 免疫原:
KLH conjugated synthetic peptide derived from human UXT/Ubiquitously expressed transcript:85-157/157
- 亚型:
IgG
- 形态:
Lyophilized or Liquid
- 应用范围:
ELISA=1:500-1000 IHC-P=1:400-800 IHC-F=1:400-800 IF=1:100-500 (石蜡切片需做抗原修复)
- 浓度:
1mg/ml
- 保存条件:
Store at -20 °C
- 规格:
100ul 200ul
| 英文名称 | Ubiquitously expressed transcript |
| 中文名称 | 广泛表达转录蛋白UXT抗体 |
| 别 名 | Androgen receptor trapped clone 27 protein; ART 27; Protein UXT; Ubiquitously expressed transcript; Ubiquitously expressed transcript protein; UXT_HUMAN. |
| 规格价格 | 100ul/1380元 购买 200ul/2200元 购买 大包装/询价 |
| 说 明 书 | 100ul 200ul |
| 研究领域 | 肿瘤 细胞生物 信号转导 转录调节因子 肿瘤细胞生物标志物 表观遗传学 |
| 抗体来源 | Rabbit |
| 克隆类型 | Polyclonal |
| 交叉反应 | Human, Mouse, Rat, Dog, Pig, Cow, Horse, Sheep, |
| 产品应用 | ELISA=1:500-1000 IHC-P=1:400-800 IHC-F=1:400-800 IF=1:100-500 (石蜡切片需做抗原修复) not yet tested in other applications. optimal dilutions/concentrations should be determined by the end user. |
| 分 子 量 | 18kDa |
| 细胞定位 | 细胞核 细胞浆 |
| 性 状 | Lyophilized or Liquid |
| 浓 度 | 1mg/ml |
| 免 疫 原 | KLH conjugated synthetic peptide derived from human UXT/Ubiquitously expressed transcript:85-157/157 |
| 亚 型 | IgG |
| 纯化方法 | affinity purified by Protein A |
| 储 存 液 | 0.01M TBS(pH7.4) with 1% BSA, 0.03% Proclin300 and 50% Glycerol. |
| 保存条件 | Store at -20 °C for one year. Avoid repeated freeze/thaw cycles. The lyophilized antibody is stable at room temperature for at least one month and for greater than a year when kept at -20°C. When reconstituted in sterile pH 7.4 0.01M PBS or diluent of antibody the antibody is stable for at least two weeks at 2-4 °C. |
| PubMed | PubMed |
| 产品介绍 | background: UXT is a novel protein, highly conserved in mouse. It interacts with the N terminus of the androgen receptor and plays a role in facilitating receptor-induced transcriptional activation. It is abundantly expressed in tumor tissues and is likely to be involved in tumorigenesis. Function: Involved in gene transcription regulation. Acts in concert with the corepressor URI1 to regulate androgen receptor transcription (AR). AR N-terminus-associated coactivator which may play a role in facilitating receptor-induced transcriptional activation (PubMed:11854421). Potential component of mitochondrial-associated LRPPRC, a multidomain organizer that potentially integrates mitochondria and the microtubular cytoskeleton with chromosome remodeling (PubMed:11827465). Increasing concentrations of UXT contributes to progressive aggregation of mitochondria and cell death potentially through its association with LRPPRC (PubMed:17554592). May be a nuclear chaperone that promotes formation of the NF-kappa-B enhanceosome and which is essential for its nuclear function (PubMed:17620405). Suppresses cell transformation and it might mediate this function by interaction and inhibition of the biological activity of cell proliferation and survival stimulatory factors like MECOM (PubMed:17635584). Together with URI1, associates with chromatin to the NKX3-1 promoter region. Subunit: Homohexamer. Interacts with LRPPRC. Interacts with AR N-terminus. In the nucleus interacts specifically with RELA and forms a dynamic complex with NF-kappa-B and is recruited to the NF-kappa-B enhanceosome upon stimulation. Interacts with MECOM and URI1. Tissue Specificity: Ubiquitous. Expressed in prostate epithelial cells. Overexpressed in a number of tumor tissues (PubMed:16221885). Highest levels in the heart, skeletal muscle, pancreas, kidney, liver, adrenal gland, peripheral blood leukocytes, lymph node, prostate, and thyroid and the lowest levels in bladder and uterus. Similarity: Belongs to the UXT family. SWISS: Q9UBK9 Gene ID: 8409 Database links: Entrez Gene: 525680 Cow Entrez Gene: 480900 Dog Entrez Gene: 8409 Human Entrez Gene: 22294 Mouse Entrez Gene: 299313 Rat Omim: 300234 Human SwissProt: Q32P97 Cow SwissProt: Q9UBK9 Human SwissProt: Q9WTZ0 Mouse SwissProt: Q63ZY7 Rat Unigene: 172791 Human Unigene: 735566 Human Unigene: 34779 Mouse Unigene: 203381 Rat Important Note: This product as supplied is intended for research use only, not for use in human, therapeutic or diagnostic applications. |
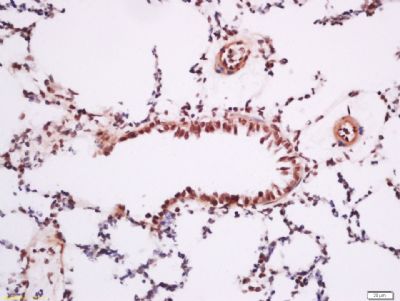
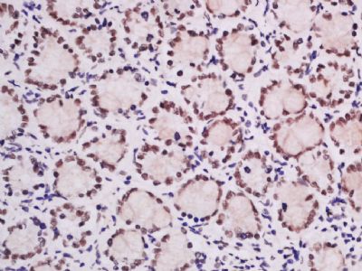
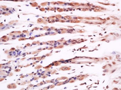
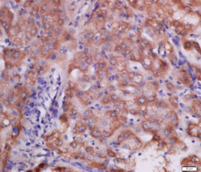
| 产品图片 | ![]() Paraformaldehyde-fixed, paraffin embedded (Rat lung); Antigen retrieval by boiling in sodium citrate buffer (pH6.0) for 15min; Block endogenous peroxidase by 3% hydrogen peroxide for 20 minutes; Blocking buffer (normal goat serum) at 37°C for 30min; Antibody incubation with (Ubiquitously expressed transcript) Polyclonal Antibody, Unconjugated (bs-6749R) at 1:200 overnight at 4°C, followed by operating according to SP Kit(Rabbit) (sp-0023) instructions and DAB staining. ![]() Paraformaldehyde-fixed, paraffin embedded (Mouse intestine); Antigen retrieval by boiling in sodium citrate buffer (pH6.0) for 15min; Block endogenous peroxidase by 3% hydrogen peroxide for 20 minutes; Blocking buffer (normal goat serum) at 37°C for 30min; Antibody incubation with (Ubiquitously expressed transcript) Polyclonal Antibody, Unconjugated (bs-6749R) at 1:200 overnight at 4°C, followed by operating according to SP Kit(Rabbit) (sp-0023) instructions and DAB staining. ![]() Paraformaldehyde-fixed, paraffin embedded (Mouse kidney); Antigen retrieval by boiling in sodium citrate buffer (pH6.0) for 15min; Block endogenous peroxidase by 3% hydrogen peroxide for 20 minutes; Blocking buffer (normal goat serum) at 37°C for 30min; Antibody incubation with (Ubiquitously expressed transcript) Polyclonal Antibody, Unconjugated (bs-6749R) at 1:200 overnight at 4°C, followed by operating according to SP Kit(Rabbit) (sp-0023) instructions and DAB staining. ![]() Paraformaldehyde-fixed, paraffin embedded (Mouse stomach); Antigen retrieval by boiling in sodium citrate buffer (pH6.0) for 15min; Block endogenous peroxidase by 3% hydrogen peroxide for 20 minutes; Blocking buffer (normal goat serum) at 37°C for 30min; Antibody incubation with (Ubiquitously expressed transcript) Polyclonal Antibody, Unconjugated (bs-6749R) at 1:200 overnight at 4°C, followed by operating according to SP Kit(Rabbit) (sp-0023) instructions and DAB staining. ![]() Paraformaldehyde-fixed, paraffin embedded (human liver carcinoma); Antigen retrieval by boiling in sodium citrate buffer (pH6.0) for 15min; Block endogenous peroxidase by 3% hydrogen peroxide for 20 minutes; Blocking buffer (normal goat serum) at 37°C for 30min; Antibody incubation with (Protein UXT) Polyclonal Antibody, Unconjugated (bs-6749R) at 1:400 overnight at 4°C, followed by a conjugated secondary (sp-0023) for 20 minutes and DAB staining. |
风险提示:丁香通仅作为第三方平台,为商家信息发布提供平台空间。用户咨询产品时请注意保护个人信息及财产安全,合理判断,谨慎选购商品,商家和用户对交易行为负责。对于医疗器械类产品,请先查证核实企业经营资质和医疗器械产品注册证情况。
文献和实验In order to determine how gene expression is regulated in response to environmental cues, it is necessary to identify the specific interaction between transcription factors and their cognate cis -regulatory DNA elements
Study of Glucose Uptake in Adipose Cells
Glucose is the main metabolic fuel in mammalian cells. Glucose entry into cells is facilitated by a family of ubiquitously expressed glucose transporter proteins. Typically, glucose transporters are localized on the plasma membrane
to luciferase was ubiquitously expressed in all tissues. Hypoxic stress leads to the accumulation of ODD-luciferase in the tissues of this mouse model which can be identified by noninvasive bioluminescence measurement. Crossing this transgenic mouse
技术资料暂无技术资料 索取技术资料















