相关产品推荐更多 >
万千商家帮你免费找货
0 人在求购买到急需产品
- 详细信息
- 文献和实验
- 技术资料
- 供应商:
上海联迈生物工程有限公司
- 库存:
大量
- 目录编号:
LM-4269R
- 克隆性:
多克隆
- 抗原来源:
Rabbit
- 保质期:
1年
- 抗体英文名:
CDKN2B/p15 INK4b
- 抗体名:
细胞周期蛋白依赖性激酶抑制剂2B抗体
- 宿主:
Rabbit
- 适应物种:
Human, Mouse, Rat, Chicken, Dog, Cow, Rabbit,
- 免疫原:
KLH conjugated synthetic peptide derived from human CDKN2B:65-138/138
- 亚型:
IgG
- 形态:
Lyophilized or Liquid
- 应用范围:
WB=1:500-2000 ELISA=1:500-1000 IHC-P=1:400-800 IHC-F=1:400-800 IF=1:100-500 (石蜡切片需做抗原修复)
- 浓度:
1mg/ml
- 保存条件:
Store at -20 °C
- 规格:
100ul 200ul
| 英文名称 | CDKN2B/p15 INK4b |
| 中文名称 | 细胞周期蛋白依赖性激酶抑制剂2B抗体 |
| 别 名 | CDK inhibitory protein; CDK4B Inhibitor; CDKN2B; Cyclin dependent kinase 4 inhibitor B; Cyclin Dependent Kinase Inhibitor 2B; Cyclin dependent kinase inhibitor 2B p15 inhibits CDK4; Cyclin-dependent kinases 4 and 6 binding protein; INK4B; MTS 2; MTS2; Multiple Tumor Supressor 2; p14 CDK inhibitor; p14 INK4b; P15; p15 CDK inhibitor; p15 inhibits CDK4; p15 INK4b; P15(INK4B); p15INK4B; TP 15; TP15. |
| 规格价格 | 100ul/1380元 购买 200ul/2200元 购买 大包装/询价 |
| 说 明 书 | 100ul 200ul |
| 研究领域 | 肿瘤 细胞生物 免疫学 信号转导 干细胞 细胞周期蛋白 |
| 抗体来源 | Rabbit |
| 克隆类型 | Polyclonal |
| 交叉反应 | Human, Mouse, Rat, Chicken, Dog, Cow, Rabbit, |
| 产品应用 | WB=1:500-2000 ELISA=1:500-1000 IHC-P=1:400-800 IHC-F=1:400-800 IF=1:100-500 (石蜡切片需做抗原修复) not yet tested in other applications. optimal dilutions/concentrations should be determined by the end user. |
| 分 子 量 | 15kDa |
| 细胞定位 | 细胞浆 |
| 性 状 | Lyophilized or Liquid |
| 浓 度 | 1mg/ml |
| 免 疫 原 | KLH conjugated synthetic peptide derived from human CDKN2B:65-138/138 |
| 亚 型 | IgG |
| 纯化方法 | affinity purified by Protein A |
| 储 存 液 | 0.01M TBS(pH7.4) with 1% BSA, 0.03% Proclin300 and 50% Glycerol. |
| 保存条件 | Store at -20 °C for one year. Avoid repeated freeze/thaw cycles. The lyophilized antibody is stable at room temperature for at least one month and for greater than a year when kept at -20°C. When reconstituted in sterile pH 7.4 0.01M PBS or diluent of antibody the antibody is stable for at least two weeks at 2-4 °C. |
| PubMed | PubMed |
| 产品介绍 | background: p15 INK4b / MTS 2 (Mitotic Inhibitor / Suppressor Protein) is a specific inhibitor of cdk 4 / cdk 6 and is periodically expressed during the cell cycle. Reportedly, p15 INK4b expression is induced approximately 30 fold in human keratinocytes by treatment with TGF beta, suggesting that p15 INK4b may act as an effector of TGF beta mediated cell cycle arrest. p15 INK4b is mapped to chromosome 9p21, a region of frequent loss in a wide variety of cancers. Function: Interacts strongly with CDK4 and CDK6. Potent inhibitor. Potential effector of TGF-beta induced cell cycle arrest. Subunit: Heterodimer of CDKN2B with CDK4 or CDK6. Isoform 2 does not interact with CDK4 nor CDK6. Subcellular Location: Cytoplasm. Note=Also found in the nucleus. Tissue Specificity: Isoform 2 is expressed in normal (keratinocytes, fibroblasts) and tumor cell lines. Similarity: Belongs to the CDKN2 cyclin-dependent kinase inhibitor family. Contains 4 ANK repeats. SWISS: 42772 Gene ID: 1030 Database links: Entrez Gene: 1030 Human Entrez Gene: 12579 Mouse Entrez Gene: 25164 Rat Omim: 600431 Human SwissProt: P42772 Human SwissProt: P55271 Mouse SwissProt: P55272 Rat Unigene: 72901 Human Unigene: 423094 Mouse Unigene: 105626 Rat Important Note: This product as supplied is intended for research use only, not for use in human, therapeutic or diagnostic applications. |
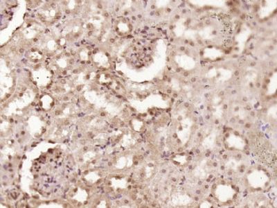
| 产品图片 | ![]() Paraformaldehyde-fixed, paraffin embedded (Rat kidney); Antigen retrieval by boiling in sodium citrate buffer (pH6.0) for 15min; Block endogenous peroxidase by 3% hydrogen peroxide for 20 minutes; Blocking buffer (normal goat serum) at 37°C for 30min; Antibody incubation with (CDKN2B) Polyclonal Antibody, Unconjugated (bs-4269R) at 1:500 overnight at 4°C, followed by a conjugated secondary (sp-0023) for 20 minutes and DAB staining. |
风险提示:丁香通仅作为第三方平台,为商家信息发布提供平台空间。用户咨询产品时请注意保护个人信息及财产安全,合理判断,谨慎选购商品,商家和用户对交易行为负责。对于医疗器械类产品,请先查证核实企业经营资质和医疗器械产品注册证情况。
文献和实验3 篇 Nature 连发,解决世纪难题,周期蛋白的毁灭调控蕴含癌症患者的新生
细胞周期是细胞生命活动的基本过程,受到细胞内外信号交互作用的精密调控。D 型细胞周期蛋白 (cyclin D1, D2 和 D3) 与细胞周期蛋白依赖性激酶(cyclin-dependent kinases,CDKs)是整个细胞周期调控机制中的核心分子,驱动细胞增殖。细胞周期失调是人类癌症的一个共同特征,其中 cyclin D-CDK4/6 复合物的水平和活性与不受约束的细胞增殖密切相关。自从 20 世纪 90 年代发现 cyclin D 以来,人们就对其进行了深入研究,但是关于 cyclin
的作用。例如,组蛋白 H3N 端的磷酸化可能促进染色质在有丝分裂期间的凝集。在哺乳动物中,aurora B 是有丝分裂时 H3S10 磷酸化的激酶,但是在存在 aurora B 对 H3S10 的磷酸化是不够的。牛痘苗相关激酶 1 是哺乳动物 NHK1 的同系物,它能在体内和体外直接使组蛋白 H3T3 和 H3S10 磷酸化,而失去 VPK1 的活性,组蛋白 H3 的磷酸化也将减少。 组蛋白 H1 被细胞周期蛋白依赖的磷酸化是其翻译后主要的修饰作用。组蛋白 H1 的磷酸化能够影响 DNA 二级
X性联无丙种球蛋白血症(X-linked agammagl,bulinemia,XLA)是临床上首次确定的体液免疫缺陷病,由Brutor于1952年报道,故又称Bruton病。XLA作为常见的原发性免疫缺陷病之一,特点为血清中各类免疫球蛋白缺乏,或只能测得微量的抗体。外周血和淋巴组织中B细胞减少或完全缺乏,淋巴结中无生发中心和浆细胞。本病起病早,在出生数月后当患儿体内的母源性抗体水平下降时开始发病。临床表现为反复化脓性感染,患者细胞免疫功能不受影响(部分患者有T细胞数量减少),主要缺陷
技术资料暂无技术资料 索取技术资料











