相关产品推荐更多 >
万千商家帮你免费找货
0 人在求购买到急需产品
- 详细信息
- 询价记录
- 文献和实验
- 技术资料
- 供应商:
上海联迈生物工程有限公司
- 库存:
大量
- 目录编号:
LM-3666R
- 克隆性:
多克隆
- 抗原来源:
Rabbit
- 保质期:
1年
- 抗体英文名:
Calmodulin
- 抗体名:
钙调节素/钙调蛋白/钙调素抗体
- 宿主:
Rabbit
- 适应物种:
Human, Mouse, Rat, Chicken, Dog, Cow, Horse,
- 免疫原:
KLH conjugated synthetic peptide derived from human Calmodulin:81-152/152
- 亚型:
IgG
- 形态:
Lyophilized or Liquid
- 应用范围:
WB=1:500-2000 ELISA=1:500-1000 IHC-P=1:400-800 IHC-F=1:400-800 IF=1:100-500 (石蜡切片需做抗原修复)
- 浓度:
1mg/ml
- 保存条件:
Store at -20 °C
- 规格:
50ul 100ul 200ul
| 英文名称 | Calmodulin |
| 中文名称 | 钙调节素/钙调蛋白/钙调素抗体 |
| 别 名 | CALM 1; CALM 2; CALM 3; CALM; CALM1; CALM2; CALM3; CALML2; Calmodulin 1; Calmodulin1; CAM 1; CAM 2; CAM 3; CaM; CAM I; CAM1; CAM2; CAM3; CAMB; CAMC; CAMI; CAMIII; DD132; PHKD; Phosphorylase kinase delta; Phosphorylase kinase delta subunit; Calmodulin1; Calmodulin 1; Calmodulin-1; Calmodulin2; Calmodulin 2; Calmodulin-2; Calmodulin3; Calmodulin 3; Calmodulin-3. |
| 规格价格 | 50ul/780元 购买 100ul/1380元 购买 200ul/2200元 购买 大包装/询价 |
| 说 明 书 | 50ul 100ul 200ul |
| 研究领域 | 肿瘤 细胞生物 免疫学 生长因子和激素 转录调节因子 细胞表面分子 |
| 抗体来源 | Rabbit |
| 克隆类型 | Polyclonal |
| 交叉反应 | Human, Mouse, Rat, Chicken, Dog, Cow, Horse, |
| 产品应用 | WB=1:500-2000 ELISA=1:500-1000 IHC-P=1:400-800 IHC-F=1:400-800 IF=1:100-500 (石蜡切片需做抗原修复) not yet tested in other applications. optimal dilutions/concentrations should be determined by the end user. |
| 分 子 量 | 16-20kDa |
| 细胞定位 | 细胞浆 |
| 性 状 | Lyophilized or Liquid |
| 浓 度 | 1mg/ml |
| 免 疫 原 | KLH conjugated synthetic peptide derived from human Calmodulin:81-152/152 |
| 亚 型 | IgG |
| 纯化方法 | affinity purified by Protein A |
| 储 存 液 | 0.01M TBS(pH7.4) with 1% BSA, 0.03% Proclin300 and 50% Glycerol. |
| 保存条件 | Store at -20 °C for one year. Avoid repeated freeze/thaw cycles. The lyophilized antibody is stable at room temperature for at least one month and for greater than a year when kept at -20°C. When reconstituted in sterile pH 7.4 0.01M PBS or diluent of antibody the antibody is stable for at least two weeks at 2-4 °C. |
| PubMed | PubMed |
| 产品介绍 | background: Calmodulin consists of two glycoproteins, 34 and 39 kDa, sometimes designated epithelial antigen, epithelial specific antigen, and epithelial glycoprotein. The glycoproteins are located on the cell membrane surface and in the cytoplasm of virtually all epithelial cells with the exception of most squamous epithelia, hepatocytes, renal proximal tubular cells, gastric parietal cells and myoepithelial cells. Epithelial Calmodulin is found in the large majority of adenocarcinomas of most sites (50-100% in various studies; as well as neuroendocrine tumours, including small cell carcinoma. Renal cell carcinoma and hepatocellular carcinoma stain in about 30% of the cases. Calmodulin mediates the control of a large number of enzymes and other proteins by Ca(2+). Among the enzymes to be stimulated by the calmodulin Ca(2+) complex are a number of protein kinases and phosphatases. Calmodulin has four functional calcium binding sites. Subunit: Interacts with MYO1C and RRAD. Interacts with MYO10 (By similarity). Interacts with CEP97, CEP110, TTN/titin and SRY. Interacts with USP6; the interaction is calcium dependent. Interacts with CDK5RAP2. Interacts with SCN5A. Interacts with RYR1 and RYR2. Subcellular Location: Cytoplasm, cytoskeleton, spindle. Cytoplasm, cytoskeleton, spindle pole. Note=Distributed throughout the cell during interphase, but during mitosis becomes dramatically localized to the spindle poles and the spindle microtubules. Similarity: Belongs to the calmodulin family. Contains 4 EF-hand domains. SWISS: P62158 Gene ID: 801 Database links: Entrez Gene: 801 Human Entrez Gene: 12314 Mouse Entrez Gene: 12315 Mouse Entrez Gene: 24242 Rat Entrez Gene: 24244 Rat Entrez Gene: 50663 Rat Omim: 114180 Human Omim: 114182 Human Omim: 114183 Human SwissProt: P62158 Human SwissProt: P62204 Mouse SwissProt: P62161 Rat Unigene: 282410 Human Unigene: 468442 Human Unigene: 515487 Human Unigene: 706125 Human Unigene: 722012 Human Unigene: 285993 Mouse Unigene: 288630 Mouse Unigene: 329243 Mouse Important Note: This product as supplied is intended for research use only, not for use in human, therapeutic or diagnostic applications. 钙离子调节素(calmodulin,CaM): 钙调蛋白(CaM),是由一条多肽链组成的单体蛋白。可结合4个Ca2+,胞浆Ca2+浓度≥10-2mmol/L时,Ca2+与CaM结合,构象改变而激活Ca2+ -CaM激酶。 |
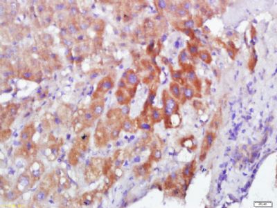
| 产品图片 | ![]() Sample: Lane1: Brain(Rat) Lysate at 30 ug Lane2: Liver(Rat) Lysate at 30 ug Primary: Anti-Calmodulin (bs-3666R) at 1:200 dilution; Secondary: HRP conjugated Goat Anti-Rabbit IgG(bs-0295G-HRP) at 1: 3000 dilution; Predicted band size : 16kD Observed band size : 20kD ![]() Tissue/cell:Human hepatocellular carcinoma; 4% Paraformaldehyde-fixed and paraffin-embedded; Antigen retrieval: citrate buffer ( 0.01M, pH 6.0 ), Boiling bathing for 15min; Block endogenous peroxidase by 3% Hydrogen peroxide for 30min; Blocking buffer (normal goat serum,C-0005) at 37℃ for 20 min; Incubation: Anti-Calmodulin Polyclonal Antibody, Unconjugated(bs-3666R) 1:400, overnight at 4°C, followed by conjugation to the secondary antibody(SP-0023) and DAB(C-0010) staining |
风险提示:丁香通仅作为第三方平台,为商家信息发布提供平台空间。用户咨询产品时请注意保护个人信息及财产安全,合理判断,谨慎选购商品,商家和用户对交易行为负责。对于医疗器械类产品,请先查证核实企业经营资质和医疗器械产品注册证情况。
- 作者
- 内容
- 询问日期
文献和实验(3)同上。两个磷酸化位点都要做,但是可能在不同的病理条件下,侧重点有所不同,这主要体现在你的论文的讨论中。因此建议实验前多做论文研究,查阅一下别人的发表文章,看看与你的病理模型更相关的是哪个位点。 真爱满行囊 非常感谢你 的回复,现在我遇到的问题是我做出来蛋白总量还有216位点是有变化的,9位因为买的是santa curz的抗体,现在死活做不出来,很头痛,我要说明的问题是他的活性降低,我也看到216位点磷酸化水平降低了,可是现在没有第九位的结果(就是没有办法得到第九
扫描仪中,都采用机械式的二维X,Y线性扫描技术实现,即X,Y方向都采用直线驱动器和直线导轨实现往复运动。此类装置,由于驱动系统的频率限制,驱动器的扫描惯性大,使得扫描效率低,分析时间相当长;并且往复行程长,对直线导轨的精度要求相当高。二、光机结合的二维扫描系统为同样实现生物芯片的二维扫描,我们的实验装置设计如图2,采用了振镜和大数值孔径的远心f-è物镜相结合实现X方向扫描,Y方向的运动仍采用直线驱动器和直线导轨实现。 系统中,对于f-è物镜,满足x=2fè(è为振镜的摆动角度,f为物镜焦距)的线性
目前自动洗板机应用比较广泛,凡是具有酶联免疫吸附技术(ELISA)的酶反应板均可使用。应用范围有:肿瘤标记物的检测、传染性疾病的检查、人类免疫缺陷病毒(HIV)抗体的检测、沙眼衣原体感染的血清学检查和TORCH感染的血清学检查等。应用ELISA完成这些方面的检测后,使用先进的全自动洗板机进行洗板,以保证测试的准确性和提高实验的可靠性。 自动洗板机是进行酶联免疫实验时,检测各种感染性病毒所必备的设备之一,其作用是通过清洗,实现酶联免疫实验过程中结合相与游离相的分离。当前,酶标洗板
技术资料暂无技术资料 索取技术资料












