相关产品推荐更多 >
万千商家帮你免费找货
0 人在求购买到急需产品
- 详细信息
- 文献和实验
- 技术资料
- 供应商:
上海联迈生物工程有限公司
- 库存:
大量
- 目录编号:
LM-7913R
- 克隆性:
多克隆
- 抗原来源:
Rabbit
- 保质期:
1年
- 抗体英文名:
phospho-LATS1+LATS2 (Thr1079 +Thr1041)
- 抗体名:
磷酸化肿瘤抑制基因LATS1/LATS2抗体
- 宿主:
Rabbit
- 适应物种:
Human, Mouse, Rat, Chicken, Dog, Pig, Cow, Horse, Rabbit,
- 免疫原:
KLH conjugated synthesised phosphopeptide derived from human LATS1 around the phosphorylation site of Thr1079:EF(P-T)FR
- 亚型:
IgG
- 形态:
Lyophilized or Liquid
- 应用范围:
WB=1:500-2000 ELISA=1:500-1000 IHC-P=1:400-800 IHC-F=1:400-800 IF=1:100-500 (石蜡切片需做抗原修复)
- 浓度:
1mg/ml
- 保存条件:
Store at -20 °C
- 规格:
100ul
| 英文名称 | phospho-LATS1+LATS2 (Thr1079 +Thr1041) |
| 中文名称 | 磷酸化肿瘤抑制基因LATS1/LATS2抗体 |
| 别 名 | LATS1 +LATS2 (phospho T1079 + T1041); Serine/threonine protein kinase LATS2; KPM; Large tumor supressor, homolog 1; LATS, large tumor suppressor, homolog 1 (Drosophila); LATS, large tumor suppressor, homolog 2 (Drosophila); LATS1 +LATS2 (phospho T1079 + T1041); p-LATS1 +LATS2(Thr1079 +Thr1041); RGD1564085; Serine/threonine protein kinase LATS1; WARTS; WARTS protein kinase; wts; 4932411G09Rik; AV277261; AW208599; AW228608; FLJ13161; LATS1_HUMAN. |
![]() |
Specific References (1) | bs-7913R has been referenced in 1 publications. [IF=3.65] Grijalva, James, et al. "Dynamic Alterations in Hippo Signaling Pathway and YAP Activation during Liver Regeneration." American Journal of Physiology-Gastrointestinal and Liver Physiology (2014). WB ; Rat. PubMed:24875096 |
| 规格价格 | 100ul/1580元 购买 大包装/询价 |
| 说 明 书 | 100ul |
| 产品类型 | 磷酸化抗体 |
| 研究领域 | 肿瘤 细胞生物 信号转导 细胞周期蛋白 激酶和磷酸酶 |
| 抗体来源 | Rabbit |
| 克隆类型 | Polyclonal |
| 交叉反应 | Human, Mouse, Rat, Chicken, Dog, Pig, Cow, Horse, Rabbit, |
| 产品应用 | WB=1:500-2000 ELISA=1:500-1000 IHC-P=1:400-800 IHC-F=1:400-800 IF=1:100-500 (石蜡切片需做抗原修复) not yet tested in other applications. optimal dilutions/concentrations should be determined by the end user. |
| 分 子 量 | 124kDa |
| 细胞定位 | 细胞浆 |
| 性 状 | Lyophilized or Liquid |
| 浓 度 | 1mg/ml |
| 免 疫 原 | KLH conjugated synthesised phosphopeptide derived from human LATS1 around the phosphorylation site of Thr1079:EF(P-T)FR |
| 亚 型 | IgG |
| 纯化方法 | affinity purified by Protein A |
| 储 存 液 | 0.01M TBS(pH7.4) with 1% BSA, 0.03% Proclin300 and 50% Glycerol. |
| 保存条件 | Store at -20 °C for one year. Avoid repeated freeze/thaw cycles. The lyophilized antibody is stable at room temperature for at least one month and for greater than a year when kept at -20°C. When reconstituted in sterile pH 7.4 0.01M PBS or diluent of antibody the antibody is stable for at least two weeks at 2-4 °C. |
| PubMed | PubMed |
| 产品介绍 | background: Negative regulator of YAP1 in the Hippo signaling pathway that plays a pivotal role in organ size control and tumor suppression by restricting proliferation and promoting apoptosis. The core of this pathway is composed of a kinase cascade wherein MST1/MST2, in complex with its regulatory protein SAV1, phosphorylates and activates LATS1/2 in complex with its regulatory protein MOB1, which in turn phosphorylates and inactivates YAP1 oncoprotein and WWTR1/TAZ. Phosphorylation of YAP1 by LATS2 inhibits its translocation into the nucleus to regulate cellular genes important for cell proliferation, cell death, and cell migration. Acts as a tumor suppressor which plays a critical role in centrosome duplication, maintenance of mitotic fidelity and genomic stability. Negatively regulates G1/S transition by down-regulating cyclin E/CDK2 kinase activity. Negative regulator of the androgen receptor. Function: Negative regulator of YAP1 in the Hippo signaling pathway that plays a pivotal role in organ size control and tumor suppression by restricting proliferation and promoting apoptosis. The core of this pathway is composed of a kinase cascade wherein STK3/MST2 and STK4/MST1, in complex with its regulatory protein SAV1, phosphorylates and activates LATS1/2 in complex with its regulatory protein MOB1, which in turn phosphorylates and inactivates YAP1 oncoprotein and WWTR1/TAZ. Phosphorylation of YAP1 by LATS1 inhibits its translocation into the nucleus to regulate cellular genes important for cell proliferation, cell death, and cell migration. Acts as a tumor suppressor which plays a critical role in maintenance of ploidy through its actions in both mitotic progression and the G1 tetraploidy checkpoint. Negatively regulates G2/M transition by down-regulating CDK1 kinase activity. Involved in the control of p53 expression. Affects cytokinesis by regulating actin polymerization through negative modulation of LIMK1. May also play a role in endocrine function. Subunit: Complexes with CDK1 in early mitosis. LATS1-associated CDK1 has no mitotic cyclin partner and no apparent kinase activity. Binds phosphorylated ZYX, locating this protein to the mitotic spindle and suggesting a role for actin regulatory proteins during mitosis. Binds to and colocalizes with LIMK1 at the actomyosin contractile ring during cytokinesis. Interacts (via PPxY motif 2) with YAP1 (via WW domains). Interacts with MOB1A and MOB1B. Interacts with LIMD1, WTIP and AJUBA. Subcellular Location: Cytoplasm, cytoskeleton, centrosome. Note=Localizes to the centrosomes throughout interphase but migrates to the mitotic apparatus, including spindle pole bodies, mitotic spindle, and midbody, during mitosis. Tissue Specificity: Expressed in all adult tissues examined except for lung and kidney. Post-translational modifications: Autophosphorylated and phosphorylated during M-phase of the cell cycle. Phosphorylated by STK3/MST2 at Ser-909 and Thr-1079, which results in its activation. Phosphorylated upon DNA damage, probably by ATM or ATR. Phosphorylation at Ser-464 by NUAK1 and NUAK2 leads to decreased protein level and is required to regulate cellular senescence and cellular ploidy. Similarity: Belongs to the protein kinase superfamily. AGC Ser/Thr protein kinase family. Contains 1 AGC-kinase C-terminal domain. Contains 1 protein kinase domain. Contains 1 UBA domain. SWISS: O95835 Gene ID: 26524 Database links: Entrez Gene: 26524 Human Entrez Gene: 9113 Human Entrez Gene: 16798 Mouse Entrez Gene: 50523 Mouse Omim: 603473 Human Omim: 604861 Human SwissProt: O95835 Human SwissProt: Q9NRM7 Human SwissProt: Q7TSJ6 Mouse SwissProt: Q8BYR2 Mouse Important Note: This product as supplied is intended for research use only, not for use in human, therapeutic or diagnostic applications. |
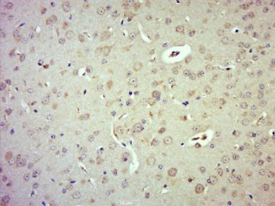
| 产品图片 | ![]() Sample: Cerebrum (Mouse) Lysate at 40 ug Primary: Anti-phospho-LATS1+LATS2 (Thr1079 +Thr1041) (bs-7913R) at 1/1000 dilution Secondary: IRDye800CW Goat Anti-Rabbit IgG at 1/20000 dilution Predicted band size: 124 kD Observed band size: 124 kD ![]() Sample: Hela(Human) Cell Lysate at 30 ug Primary: Anti-phospho-LATS1+LATS2 (Thr1079 +Thr1041) (bs-7913R) at 1/1000 dilution Secondary: IRDye800CW Goat Anti-Rabbit IgG at 1/20000 dilution Predicted band size: 124 kD Observed band size: 124 kD ![]() Paraformaldehyde-fixed, paraffin embedded (Mouse brain); Antigen retrieval by boiling in sodium citrate buffer (pH6.0) for 15min; Block endogenous peroxidase by 3% hydrogen peroxide for 20 minutes; Blocking buffer (normal goat serum) at 37°C for 30min; Antibody incubation with (phospho-LATS1+LATS2 (Thr1079 +Thr1041)) Polyclonal Antibody, Unconjugated (bs-7913R) at 1:500 overnight at 4°C, followed by a conjugated secondary (sp-0023) for 20 minutes and DAB staining. ![]() phosphopeptide non phosphopeptide |
风险提示:丁香通仅作为第三方平台,为商家信息发布提供平台空间。用户咨询产品时请注意保护个人信息及财产安全,合理判断,谨慎选购商品,商家和用户对交易行为负责。对于医疗器械类产品,请先查证核实企业经营资质和医疗器械产品注册证情况。
文献和实验,这些假基因有和真基因相同的ORF,但却从不表达(已发现表达的假基因)③RNA水平上遗传信息加工(RNA editing)④蛋白质水平上遗传信息的加工(蛋白质剪接第二章 蛋白质组成及结构1、各种氨基酸的三字母符和单字母符。甘氨酸-Gly,G 亮氨酸-Leu,L丙氨酸-Ala,A 异亮氨酸-Ile,I 缬氨酸-Val,V脯氨酸 Pro,P苯丙氨酸-Phe,F酪氨酸-Tyr,Y色氨酸-Trp,W丝氨酸-Ser,S 半胱氨酸-Cys,C苏氨酸 Thr,T甲硫氨酸-Met,M天冬氨酸-Asp,D谷氨酸-Glu,E
一次,这对指导用药防止乙肝病毒耐药性很有意义。又如,现用于治疗AIDS的药物主要是病毒逆转录酶RT和蛋白酶PRO的抑制剂,但在用药3~12月后常出现耐药,其原因是rt、pro基因产生一个或多个点突变。Rt基因四个常见突变位点是Asp67→Asn、Lys70→Arg、Thr215→Phe、Tyr和Lys219→Glu四个位点均突变较单一位点突变后对药物的耐受能力成百倍增加。如将这些基因突变部位的全部序列构建为DNA芯片,则可快速地检测病人是这一个或那一个或多个基因发生突变,从而可对症下药,所以对指导
Raf 蛋白 Ras 结合结构域的简并进化库合成以及利用片段互补法快速筛选二氢叶酸还原酶的快速折叠且稳定的克隆
experiment) 和 “文库混编” (library shuffling) 策略旨在改善文库筛选的覆盖范围 ,进一步优化形成二聚体的蛋白质对,并最终找到一个 “成功的蛋白质对” [ 32,36] 。近来,DHFR PCA 经修改用于在体内筛选单链抗体 [37]。DHFR PCA 策略将基因筛选整合的方法,是可以简化文库间筛选的关键,因为在若干的循环中选择压力同时施加于两个文库上,从而避免了如噬菌体展示技术那样将文库扩增和筛选分开进行,这使 DHFR PCA 真正可以用来研究寡聚体序列的同时进化
技术资料暂无技术资料 索取技术资料















