相关产品推荐更多 >
万千商家帮你免费找货
0 人在求购买到急需产品
- 详细信息
- 询价记录
- 文献和实验
- 技术资料
- 应用范围:
产品信息以Bioss网站为准
- 规格:
50ul/100ul/200ul
| 规格: | 50ul | 产品价格: | ¥1180.0 |
|---|---|---|---|
| 规格: | 100ul | 产品价格: | ¥1980.0 |
| 规格: | 200ul | 产品价格: | ¥2800.0 |
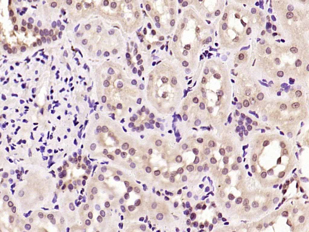
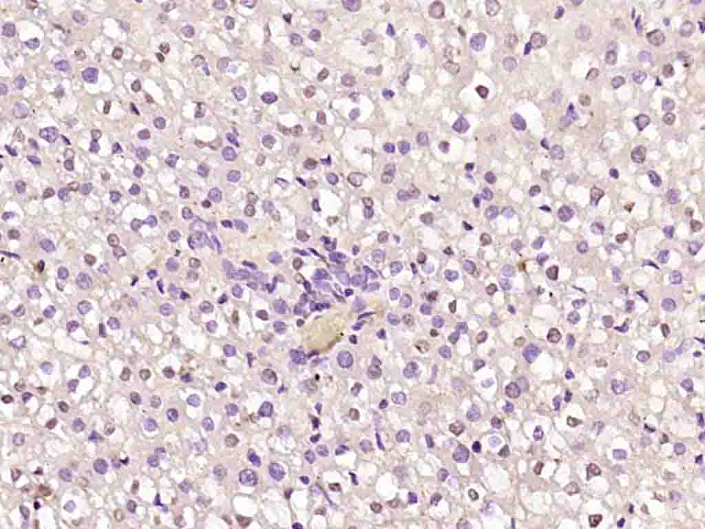
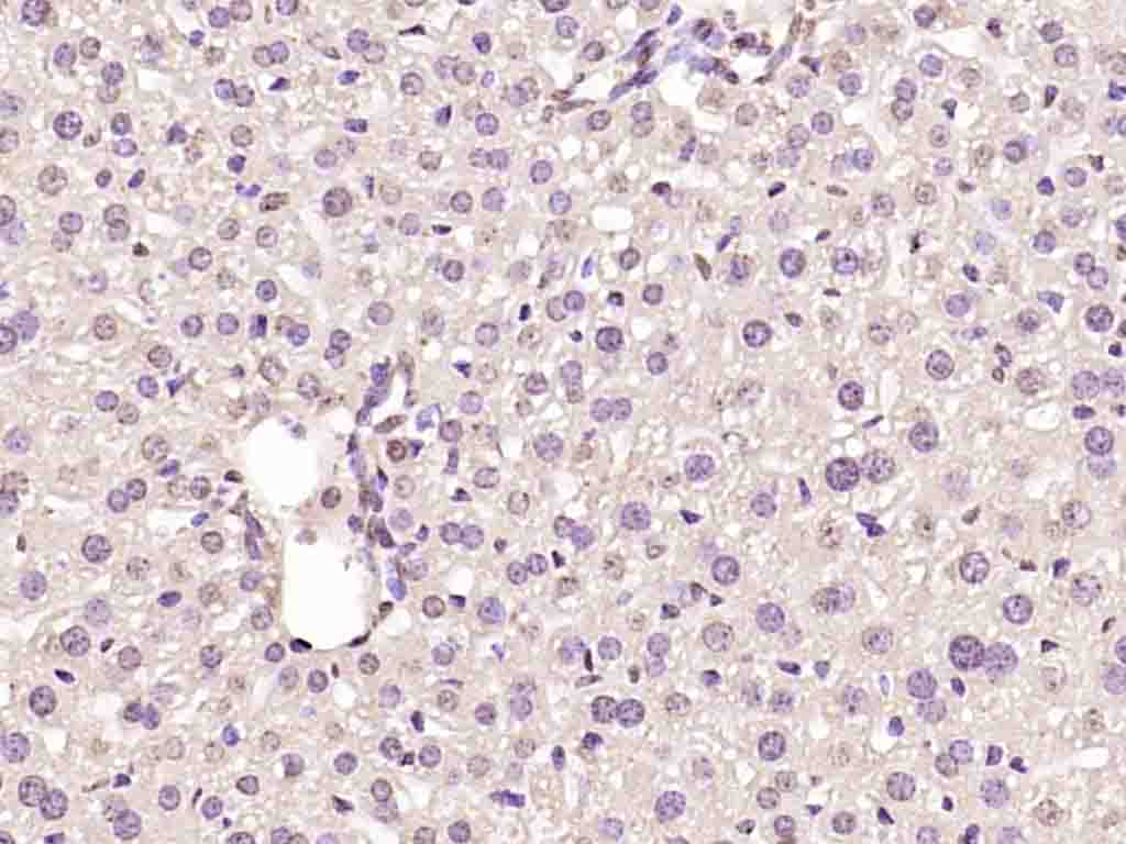
| 产品编号 | bs-20596R |
| 英文名称 | Cyclin D1 Rabbit pAb |
| 中文名称 | 周期素D1抗体 |
| 英文别名 | Cyclin D1; CyclinD1; Cyclin-D1; B cell ccl/lymphoma 1; B cell leukemia 1; B-cell CLL/lymphoma 1; B-cell leukemia 1; B-cell lymphoma 1 protein; BCL-1; BCL1; BCL1 oncogene; CCND 1; CCND1; CCND1 protein; CCND1/FSTL3 fusion gene, included; CCND1/IGHG1 fusion gene; CCND1/IGHG1 fusion gene, included; CCND1/IGLC1 fusion gene, included; CCND1/PTH fusion gene, included; Parathyroid adenomatosis 1; PRAD1; FSTL3; CCND1_HUMAN; AI327039; B cell lymphoma 1 protein; BCL 1; BCL-1; BCL-1 oncogene; BCL1 oncogene; CCND1/FSTL3 fusion gene, included; cD1; Cyl 1; D11S287E; G1/S specific cyclin D1; G1/S-specific cyclin-D1. |
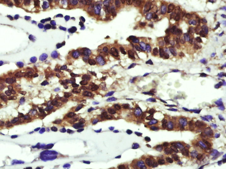
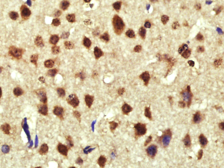
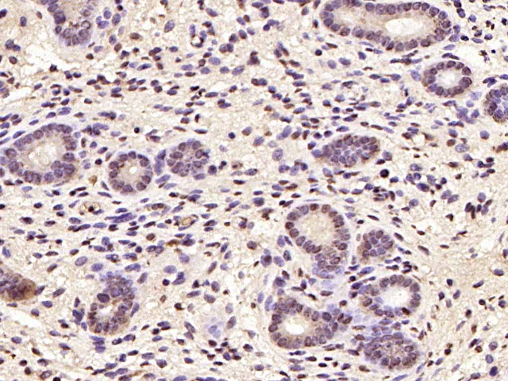
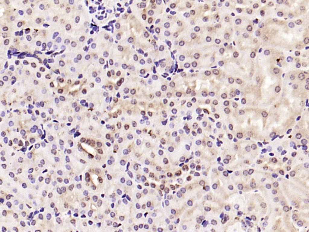
| 产品应用 | IHC-P=1:100-500, IHC-F=1:100-500, ICC/IF=1:100-500, IF=1:100-500, Flow-Cyt=3μg/Test Not yet tested in other applications. |
| 交叉反应 | Human, Mouse, Rat |
| 抗体来源 | Rabbit |
| 免疫原 | KLH conjugated synthetic peptide derived from human Cyclin D1 |
| 亚型 | IgG |
| 性状 | Liquid |
| 纯化方法 | affinity purified by Protein A |
| 克隆类型 | Polyclonal |
| 理论分子量 | 32 kDa |
| 浓度 | 1mg/ml |
| 储存液 | 0.01M TBS (pH7.4) with 1% BSA, 0.02% Proclin300 and 50% Glycerol. |
| 研究领域 | Cancer > Cell cycle > Cyclins > Cyclin D family Cell Biology > Cell Cycle > Cyclins > Cyclin D Family Epigenetics and Nuclear Signaling > Cell cycle > Cyclins > Cyclin D Family |
| 亚基 | Interacts with FBXO4. Interacts witheither CDK4 or CDK6 protein kinase to form a serine/threoninekinase holoenzyme complex. The cyclin subunit imparts substratespecificity to the complex. Component of the ternary complexCCND1/CDK4/CDKN1B required for nuclear translocation and modulationof CDK4-mediated kinase activity. Interacts directly with CDKN1B.Interacts with UHRF2; the interaction ubiquitinates CCND1 andappears to occur independently of phosphorylation. Can form similarcomplexes with either CDKN1A or CDKN2A. Interacts with USP2. |
| 亚细胞定位 | Nucleus. Cytoplasm. Membrane. Note=CyclinD-CDK4 complexes accumulate at the nuclear membrane and are thentranslocated to the nucleus through interaction with KIP/CIP familymembers. |
| 翻译后修饰 | Phosphorylation at Thr-286 by MAP kinases is required forubiquitination and degradation following DNA damage. It probablyplays an essential role for recognition by the FBXO31 component ofSCF (SKP1-cullin-F-box) protein ligase complex.
Ubiquitinated, primarily as 'Lys-48'-linkedpolyubiquitination. Ubiquitinated by a SCF (SKP1-CUL1-F-boxprotein) ubiquitin-protein ligase complex containing FBXO4 andCRYAB. Following DNA damage it is ubiquitinated by some SCF(SKP1-cullin-F-box) protein ligase complex containing FBXO31.SCF-type ubiquitination is dependent on Thr-286 phosphorylation (Bysimilarity). Ubiquitinated also by UHRF2 apparently in aphosphorylation-independent manner. Ubiquitination leads to itsdegradation and G1 arrest. Deubiquitinated by USP2; leading to itsstabilization. |
| 相似性 | Belongs to the cyclin family. Cyclin D subfamily. |
| 功能 | Regulatory component of the cyclin D1-CDK4 (DC) complexthat phosphorylates and inhibits members of the retinoblastoma (RB)protein family including RB1 and regulates the cell-cycle duringG(1)/S transition. Phosphorylation of RB1 allows dissociation ofthe transcription factor E2F from the RB/E2F complex and thesubsequent transcription of E2F target genes which are responsiblefor the progression through the G(1) phase. Hypophosphorylates RB1in early G(1) phase. Cyclin D-CDK4 complexes are major integratorsof various mitogenenic and antimitogenic signals. Also substratefor SMAD3, phosphorylating SMAD3 in a cell-cycle-dependent mannerand repressing its transcriptional activity. Component of theternary complex, cyclin D1/CDK4/CDKN1B, required for nucleartranslocation and activity of the cyclin D-CDK4 complex. |
| 保存条件 | Shipped at 4℃. Store at -20℃ for one year. Avoid repeated freeze/thaw cycles. |
| 注意事项 | This product as supplied is intended for research use only, not for use in human, therapeutic or diagnostic applications. |
| 背景资料 | The protein encoded by this gene belongs to the highly conserved cyclin family, whose members are characterized by a dramatic periodicity in protein abundance throughout the cell cycle. Cyclins function as regulators of CDK kinases. Different cyclins exhibit distinct expression and degradation patterns which contribute to the temporal coordination of each mitotic event. This cyclin forms a complex with and functions as a regulatory subunit of CDK4 or CDK6, whose activity is required for cell cycle G1/S transition. This protein has been shown to interact with tumor suppressor protein Rb and the expression of this gene is regulated positively by Rb. Mutations, amplification and overexpression of this gene, which alters cell cycle progression, are observed frequently in a variety of tumors and may contribute to tumorigenesis. [provided by RefSeq, Jul 2008]. |
| 应用 | 推荐稀释比例 |
| {IHC-P} | {1:100-500} |
| {IHC-F} | {1:100-500} |
| {ICC/IF} | {1:100-500} |
| {IF} | {1:100-500} |
| {Flow-Cyt} | {3μg/Test} |




Primary Antibody (green line): Rabbit Anti-Cyclin D1 antibody (bs-20596R),Dilution: 3μg /10^5 cells;
Isotype Control Antibody (orange line): Rabbit IgG .
Secondary Antibody (white blue line): Goat anti-rabbit IgG-FITC,Dilution: 1μg /test.






风险提示:丁香通仅作为第三方平台,为商家信息发布提供平台空间。用户咨询产品时请注意保护个人信息及财产安全,合理判断,谨慎选购商品,商家和用户对交易行为负责。对于医疗器械类产品,请先查证核实企业经营资质和医疗器械产品注册证情况。
- 作者
- 内容
- 询问日期
文献和实验[IF={{ 8.2 }}] {Xiaoyu Yue. et al. Taraxacum mongolicum polysaccharides promotespromote white adipocyte browning by regulating miR-134-3p via Akt/GSK-3β signalling. INT J BIOL MACROMOL. 2023 Nov;:128296} {WB} {Sheep}
[IF={{ 6.291 }}] {Jing Wu. et al. The role of ER stress and ATP/AMPK in oxidative stress meditated hepatotoxicity induced by citrinin. ECOTOX ENVIRON SAFE. 2022 Jun;237:113531} {WB} {Human}
[IF={{ 6.208 }}] {Xiaoyv Yue. et al. circITGB1 Regulates Adipocyte Proliferation and Differentiation via the miR-23a/ARRB1 Pathway. INT J MOL SCI. 2023 Jan;24(3):1976} {WB} {Sheep}
[IF={{ 4.599 }}] {Juan Tan. et al. Circ_0124644 Serves as a ceRNA for miR-590-3p to Promote Hypoxia-Induced Cardiomyocytes Injury via Regulating SOX4. Front Genet. 2021; 12: 667724} {WB} {Human}
[IF={{ 4.183 }}] {Zou P et al. Mechanisms of Stress-Induced Spermatogenesis Impairment in Male Rats Following Unpredictable Chronic Mild Stress (uCMS). Int. J. Mol. Sci. 2019, 20, 4470.} {WB} {Rat}
技术资料暂无技术资料 索取技术资料









