相关产品推荐更多 >

phospho-IKB alpha (Ser32) Recombinant Rabbit mAb(bsm-52169R)-50ul/100ul/25ul
¥800
H1N1 Matrix Protein 2 Rabbit pAb(bs-0422R)-50ul/100ul/200ul
¥1180
Rabbit IgG(Fc specific,Heavy Chain) Mouse mAb, Biotin conjugated(bsm-33179M-Bio)-100ul
¥2980
FGFR2 Rabbit pAb, APC conjugated(bs-0675R-APC)-100ul
¥2980
mScarlet Rabbit pAb(bs-33856R)-50ul/100ul
¥1180
万千商家帮你免费找货
0 人在求购买到急需产品
- 详细信息
- 文献和实验
- 技术资料
- 应用范围:
产品信息以Bioss网站为准
- 规格:
50ul/100ul/200ul
| 规格: | 50ul | 产品价格: | ¥1180.0 |
|---|---|---|---|
| 规格: | 100ul | 产品价格: | ¥1980.0 |
| 规格: | 200ul | 产品价格: | ¥2800.0 |
| 产品编号 | bs-1142R |
| 英文名称 | STAT5 Rabbit pAb |
| 中文名称 | 信号转导和转录激活因子5抗体 |
| 英文别名 | signal transducers and activators of transduction 5; MGF; Signal Transducer and Activator of Transcription 5A; STAT 5; STAT 5A; STAT 5B; STAT5A; STAT5B; Transcription factor STAT5A; STA5B_HUMAN; STA5A_HUMAN. |
| 产品应用 | IHC-P=1:100-500, IHC-F=1:100-500, ICC/IF=1:100-500, IF=1:100-500, Flow-Cyt=2ug/Test, ELISA=1:5000-10000 Not yet tested in other applications. |
| 交叉反应 | Human, Mouse (Rat, Dog, Pig, Cow, Horse, Rabbit) |
| 抗体来源 | Rabbit |
| 免疫原 | KLH conjugated synthetic peptide derived from human STAT5 |
| 亚型 | IgG |
| 性状 | Liquid |
| 纯化方法 | affinity purified by Protein A |
| 克隆类型 | Polyclonal |
| 理论分子量 | 90 kDa |
| 浓度 | 1mg/ml |
| 储存液 | 0.01M TBS (pH7.4) with 1% BSA, 0.02% Proclin300 and 50% Glycerol. |
| 研究领域 | Epigenetics and Nuclear Signaling > Transcription > Other factors Signal Transduction > Signaling Pathway > Nuclear Signaling > STATs |
| 亚基 | Forms a homodimer or a heterodimer with a related family member. Binds NR3C1. Interacts with NCOA1 and SOCS7. Interacts with ERBB4. |
| 亚细胞定位 | Cytoplasm. Nucleus. Note=Mostly cytoplasmic during pregnancy, whereas it becomes predominantly nuclear during early lactation. It is translocated into the nucleus in response to phosphorylation. |
| 组织特异性 | Expressed in heart, lung, and weakly in muscle. |
| 翻译后修饰 | Tyrosine phosphorylated in response to IL2, IL3, IL7, IL15, KITLG/SCF, CSF2/GMCSF, GH1, PRL, EPO and THPO. Tyrosine phosphorylated in response to signaling via activated FLT3 and KIT, resulting in translocation to the nucleus. Tyrosine phosphorylated in response to constitutively activated FGFR1, FGFR2, FGFR3 and FGFR4. Alternatively, can be phosphorylated by JAK2 at Tyr-694. Tyrosine phosphorylation is required for DNA-binding activity and dimerization. Serine phosphorylation is also required for maximal transcriptional activity (By similarity). |
| 相似性 | Belongs to the transcription factor STAT family. Contains 1 SH2 domain. |
| 功能 | Carries out a dual function: signal transduction and activation of transcription. Mediates cellular responses to the cytokine KITLG/SCF and other growth factors. May mediate cellular responses to activated FGFR1, FGFR2, FGFR3 and FGFR4. Binds to the GAS element and activates PRL-induced transcription. Regulates the expression of milk proteins during lactation. |
| 保存条件 | Shipped at 4℃. Store at -20℃ for one year. Avoid repeated freeze/thaw cycles. |
| 注意事项 | This product as supplied is intended for research use only, not for use in human, therapeutic or diagnostic applications. |
| 背景资料 | The protein encoded by this gene is a member of the STAT family of transcription factors. In response to cytokines and growth factors, STAT family members are phosphorylated by the receptor associated kinases, and then form homo- or heterodimers that translocate to the cell nucleus where they act as transcription activators. This protein is activated by, and mediates the responses of many cell ligands, such as IL2, IL3, IL7 GM-CSF, erythropoietin, thrombopoietin, and different growth hormones. Activation of this protein in myeloma and lymphoma associated with a TEL/JAK2 gene fusion is independent of cell stimulus and has been shown to be essential for the tumorigenesis. The mouse counterpart of this gene is found to induce the expression of BCL2L1/BCL-X(L), which suggests the antiapoptotic function of this gene in cells. [provided by RefSeq, Jul 2008] |
| 应用 | 推荐稀释比例 |
| {IHC-P} | {1:100-500} |
| {IHC-F} | {1:100-500} |
| {ICC/IF} | {1:100-500} |
| {IF} | {1:100-500} |
| {Flow-Cyt} | {2ug/Test} |
| {ELISA} | {1:5000-10000} |

Primary Antibody (green line): Rabbit Anti-STAT5 antibody (bs-1142R)
Dilution: 2ug/Test;
Secondary Antibody : Goat anti-rabbit IgG-FITC
Dilution: 0.5ug/Test.
Protocol
The cells were fixed with 4% PFA (10min at room temperature)and then permeabilized with 90% ice-cold methanol for 20 min at -20℃.The cells were then incubated in 5%BSA to block non-specific protein-protein interactions for 30 min at room temperature .Cells stained with Primary Antibody for 30 min at room temperature. The secondary antibody used for 40 min at room temperature. Acquisition of 20,000 events was performed.


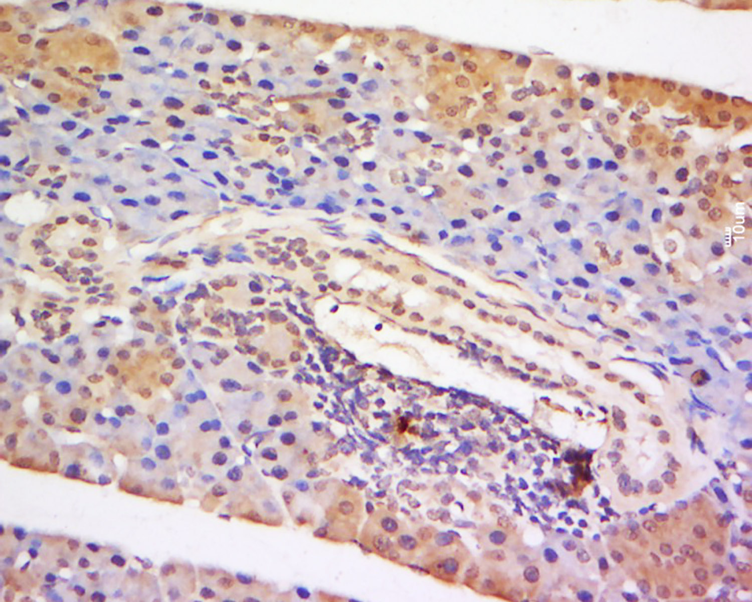
Antigen retrieval: citrate buffer ( 0.01M, pH 6.0 ), Boiling bathing for 15min; Block endogenous peroxidase by 3% Hydrogen peroxide for 30min; Blocking buffer (normal goat serum,C-0005) at 37℃ for 20 min;
Incubation: Anti-STAT5 Polyclonal Antibody, Unconjugated(bs-1142R) 1:200, overnight at 4°C, followed by conjugation to the secondary antibody(SP-0023) and DAB(C-0010) staining

风险提示:丁香通仅作为第三方平台,为商家信息发布提供平台空间。用户咨询产品时请注意保护个人信息及财产安全,合理判断,谨慎选购商品,商家和用户对交易行为负责。对于医疗器械类产品,请先查证核实企业经营资质和医疗器械产品注册证情况。
文献和实验[IF={{ 6.1 }}] {Fang Wang. et al.Myotonic dystrophy-related CDC42-binding kinase alpha (MRCKα) mediates methionine- and leucine-stimulated β-casein synthesis in bovine mammary epithelial cells via targeting mTOR.ANIMAL NUTRITION JOURNAL.} {Western blot} {Bovine}
[IF={{ 5.561 }}] {Xinyang Fan. et al. CEBPA-Regulated Expression of SOCS1 Suppresses Milk Protein Synthesis through mTOR and JAK2-STAT5 Signaling Pathways in Buffalo Mammary Epithelial Cells. FOODS. 2023 Jan;12(4):708} {WB} {Bovine}
[IF={{ 5.223 }}] {Xinyang Fan. et al. MiR-190a regulates milk protein biosynthesis through the mTOR and JAK2–STAT5 signaling pathways by targeting PTHLH in buffalo mammary epithelial cells. J FUNCT FOODS. 2023 Mar;102:105451} {WB} {Bovine}
[IF={{ 5.201 }}] {Huang Ting-Ting. et al. The Discovery of Novel BCR-ABL Tyrosine Kinase Inhibitors Using a Pharmacophore Modeling and Virtual Screening Approach. Front Cell Dev Biol. 2021 Mar;9:417} {WB} {Human}
[IF={{ 4.8 }}] {Yijun Lu. et al. Radiation induces M2 polarization of glioma-associated macrophages via upregulation of glutamine synthetases. INT IMMUNOPHARMACOL. 2025 May;154:114595} {WB} {Human,Mouse}
= NAL), appears to form upon oxidative cyclization of the nonfluorescent 2:1 lysine-HNE Michael adduct-Schiff base cross-link (Scheme 1). Polyclonal antibody (PAb) to the NAL-HNE fluorophore was raised in rabbit and found to be highly specific
/96T 2000/3000 进口分装 F0021 骨成型蛋白-9(BMP-9) ELISA 48T/96T 2000/3000 进口分装 F0022 BMP-R1A ELISA 48T/96T 2000/3000 进口分装 F0023 BMP-R2 ELISA 48T/96T 2000/3000 进口分装 F0024 BTC ELISA 48T/96T 2000/3100 进口分装 F0030 CAE-Ab ELISA 96
/96T 2000/3000 进口分装 F0021 骨成型蛋白-9(BMP-9) ELISA 48T/96T 2000/3000 进口分装 F0022 BMP-R1A ELISA 48T/96T 2000/3000 进口分装 F0023 BMP-R2 ELISA 48T/96T 2000/3000 进口分装 F0024 BTC ELISA 48T/96T 2000/3100 进口分装 F0030 CAE-Ab ELISA 96
技术资料暂无技术资料 索取技术资料






