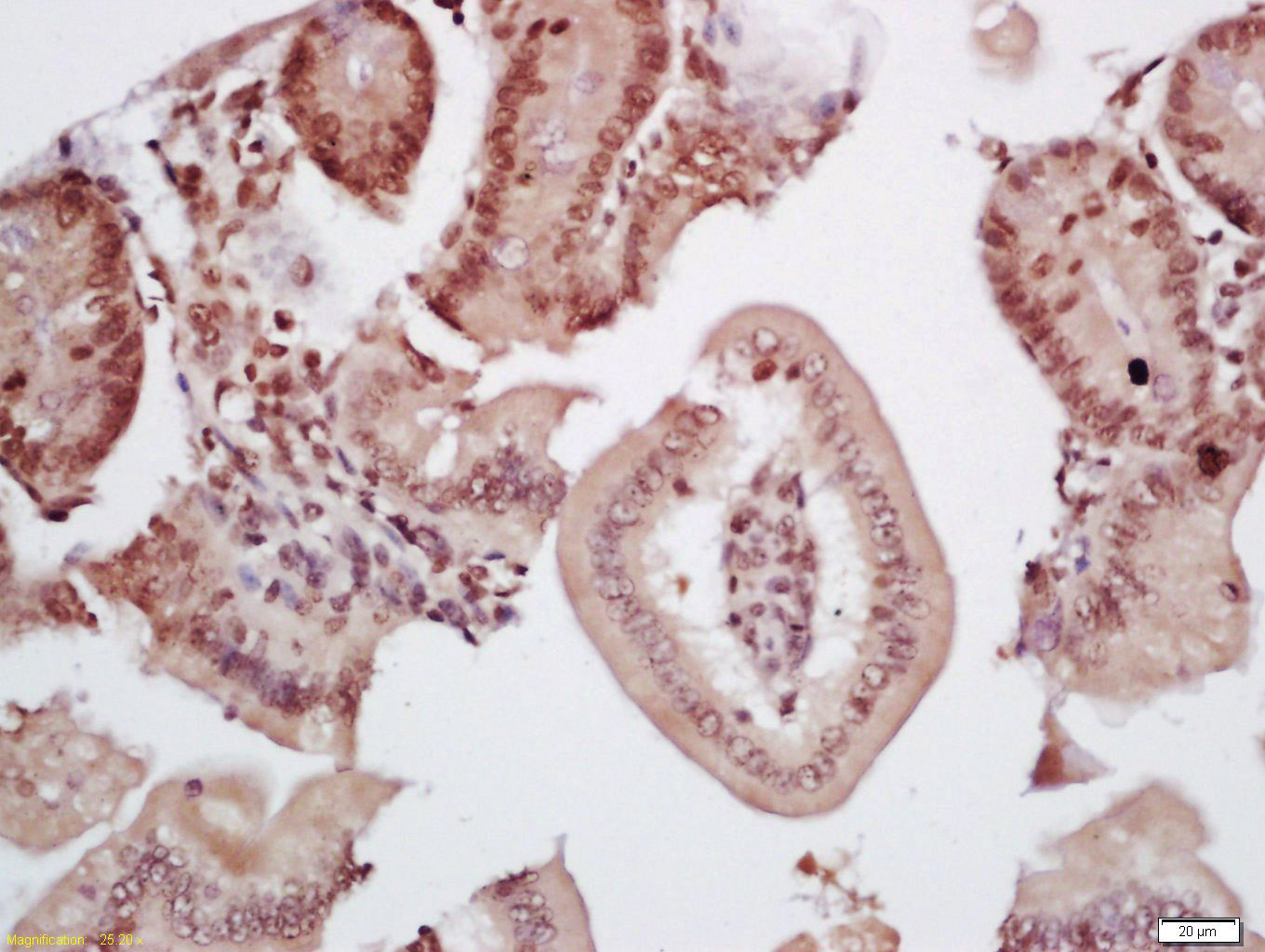
Tissue/cell: mouse intestine tissue; Frozen section;
Block endogenous peroxidase by 3% Hydrogen peroxide for 30min; Blocking buffer (normal goat serum,C-0005) at 37℃ for 20 min;
Incubation: Anti-TIF1 gamma Polyclonal Antibody, Unconjugated(bs-3582R) 1:200, overnight at 4°C, followed by conjugation to the secondary antibody(SP-0023) and DAB(C-0010) staining
相关产品推荐更多 >

PAI1 Rabbit pAb, PE conjugated(bs-6562R-PE)-100ul
¥2980
phospho-Mcl1 (Ser159 + Thr163) Rabbit pAb, AP conjugated(bs-3265R-AP)-100ul
¥2980
phospho-EGFR (Tyr1138) Rabbit pAb(bs-3109R)-50ul/100ul/200ul
¥1180
HPV16 E7 Rabbit pAb, BF594 conjugated(bs-10446R-BF594)-100ul
¥2980
CYP7A1 Rabbit pAb(bs-21430R)-50ul/100ul/200ul
¥1180
万千商家帮你免费找货
0 人在求购买到急需产品
- 详细信息
- 技术资料
- 应用范围:
产品信息以Bioss网站为准
- 规格:
50ul/100ul/200ul
| 规格: | 50ul | 产品价格: | ¥1180.0 |
|---|---|---|---|
| 规格: | 100ul | 产品价格: | ¥1980.0 |
| 规格: | 200ul | 产品价格: | ¥2800.0 |
| 产品编号 | bs-3582R |
| 英文名称 | TIF1 gamma Rabbit pAb |
| 中文名称 | 转录中介因子Tif1γ抗体 |
| 英文别名 | Trim33; RFG7; Rfg7 protein; TF1G; TIF1-gamma; TIF1G; TIF 1G; TIF1GAMMA; TIFGAMMA; Transcription intermediary factor 1-gamma; Transcriptional intermediary factor 1 gamma; Trim 33; Tripartite motif containing 33; Tripartite motif containing 33 protein; tripartite motif-containing 33; Tripartite motif-containing protein 33; E3 ubiquitin-protein ligase TRIM33; Ectodermin homolog; Protein Rfg7; PTC7 antibody; Ret fused gene 7; RET-fused gene 7 protein; RFG7; KIAA1113; TRI33_HUMAN; Ectodermin homolog; RET-fused gene 7 protein; Protein Rfg7; Transcription intermediary factor 1-gamma. |
| 产品应用 | IHC-P=1:100-500, IHC-F=1:100-500, IF=1:100-500 Not yet tested in other applications. |
| 交叉反应 | Mouse, Rat (Human, Chicken, Dog, Pig, Cow, Horse) |
| 抗体来源 | Rabbit |
| 免疫原 | KLH conjugated synthetic peptide derived from human TIF1 gamma |
| 亚型 | IgG |
| 性状 | Liquid |
| 纯化方法 | affinity purified by Protein A |
| 克隆类型 | Polyclonal |
| 理论分子量 | 124 kDa |
| 浓度 | 1mg/ml |
| 储存液 | 0.01M TBS (pH7.4) with 1% BSA, 0.02% Proclin300 and 50% Glycerol. |
| 研究领域 | Epigenetics and Nuclear Signaling > Bromodomains Epigenetics and Nuclear Signaling > Transcription > Co-factors Epigenetics and Nuclear Signaling > Transcription > Other factors Stem Cells > Hematopoietic Progenitors > Intracellular Molecules Stem Cells > Signaling Pathways > TGF beta > Nuclear |
| 亚基 | Homooligomer and heterooligomer with TRIM24 and TRIM28 family members. Interacts with SMAD4 in unstimulated cells. Found in a complex with SMAD2 and SMAD3 upon addition of TGF-beta. Interacts with SMAD2 and SMAD3. Interacts with SMAD4 under basal and induced conditions and, upon TGF-beta signaling, with activated SMAD2. Forms a ternary complex with SMAD4 and SMAD2 upon TGF-beta signaling. |
| 亚细胞定位 | Nucleus. Note=In discrete nuclear dots resembling nuclear bodies. |
| 组织特异性 | Expressed in stem cells at the bottom of the crypts of the colon (at protein level). Expressed in colon adenomas and adenocarcinomas (at protein level). Expressed in brain, lung, liver, spleen, thymus, prostate, kidney, testis, heart, placenta, pancreas, small intestine, ovary, colon, skeletal muscle and hematopoietic progenitors. |
| 相似性 | Belongs to the TRIM/RBCC family. Contains 2 B box-type zinc fingers. Contains 1 bromo domain. Contains 1 PHD-type zinc finger. Contains 1 RING-type zinc finger. |
| 功能 | Acts as an E3 ubiquitin-protein ligase. Promotes SMAD4 ubiquitination, nuclear exclusion and degradation via the ubiquitin proteasome pathway. According to PubMed:16751102, does not promote a decrease in the level of endogenous SMAD4. May act as a transcriptional repressor. Inhibits the transcriptional response to TGF-beta/BMP signaling cascade. Plays a role in the control of cell proliferation. Its association with SMAD2 and SMAD3 stimulates erythroid differentiation of hematopoietic stem/progenitor (By similarity). Monoubiquitinates SMAD4 and acts as an inhibitor of SMAD4-dependent TGF-beta/BMP signaling cascade (Monoubiquitination of SMAD4 hampers its ability to form a stable complex with activated SMAD2/3 resulting in inhibition of TGF-beta/BMP signaling cascade). |
| 保存条件 | Shipped at 4℃. Store at -20℃ for one year. Avoid repeated freeze/thaw cycles. |
| 注意事项 | This product as supplied is intended for research use only, not for use in human, therapeutic or diagnostic applications. |
| 背景资料 | TIF1 gamma is a member of the Transcriptional Intermediary Factor 1 family, which serve as coactivators and corepressors. Its structure is similar to TIF1 alpha and TIF1 beta, exhibiting multiple domains (RING finger, coiled coil, B boxes, PHD/TTC, and bromodomain). TIF1 gamma functions in cell differentiation and development, playing a role in differentiation of hematopoietic cells. |
| 应用 | 推荐稀释比例 |
| {IHC-P} | {1:100-500} |
| {IHC-F} | {1:100-500} |
| {IF} | {1:100-500} |


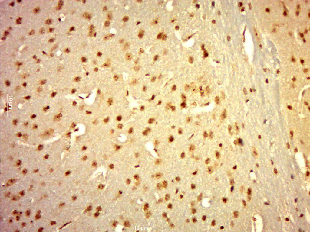
Paraformaldehyde-fixed, paraffin embedded (Rat brain); Antigen retrieval by boiling in sodium citrate buffer (pH6.0) for 15min; Block endogenous peroxidase by 3% hydrogen peroxide for 20 minutes; Blocking buffer (normal goat serum) at 37°C for 30min; Antibody incubation with (TIF1 gamma ) Polyclonal Antibody, Unconjugated (bs-3582R) at 1:500 overnight at 4°C, followed by a conjugated secondary (sp-0023) for 20 minutes and DAB staining.
风险提示:丁香通仅作为第三方平台,为商家信息发布提供平台空间。用户咨询产品时请注意保护个人信息及财产安全,合理判断,谨慎选购商品,商家和用户对交易行为负责。对于医疗器械类产品,请先查证核实企业经营资质和医疗器械产品注册证情况。
技术资料暂无技术资料 索取技术资料
TIF1 gamma Rabbit pAb(bs-3582R)-50ul/100ul/200ul
¥1180 - 2800





