相关产品推荐更多 >

VSTM5 Rabbit pAb, Biotin conjugated(bs-12784R-Bio)-100ul
¥2980
HLA-C Mouse mAb, Cy5 conjugated(bsm-43093M-Cy5)-100ul
¥2980
RNA polymerase II Rabbit pAb(bs-6972R)-50ul/100ul/200ul
¥1180
KIAA0748 Rabbit pAb(bs-16981R)-50ul/100ul/200ul
¥1180
SATB2 Rabbit pAb, APC-Cy5.5 conjugated(bs-11949R-APC-Cy5.5)-100ul
¥2980
万千商家帮你免费找货
0 人在求购买到急需产品
- 详细信息
- 文献和实验
- 技术资料
- 应用范围:
产品信息以Bioss网站为准
- 规格:
50ul/100ul/200ul
| 规格: | 50ul | 产品价格: | ¥1180.0 |
|---|---|---|---|
| 规格: | 100ul | 产品价格: | ¥1980.0 |
| 规格: | 200ul | 产品价格: | ¥2800.0 |
| 产品编号 | bs-0479R |
| 英文名称 | VSIG4 Rabbit pAb |
| 中文名称 | T淋巴细胞负调节蛋白抗体 |
| 英文别名 | V-set and immunoglobulin domain-containing protein 4; CRIg; V set and immunoglobulin domain containing 4; Z39IG; VSIG4_HUMAN. |
| 产品应用 | WB=1:500-2000, IHC-P=1:100-500, IHC-F=1:100-500, IF=1:100-500 Not yet tested in other applications. |
| 交叉反应 | Mouse, Rat (Human, Dog, Cow) |
| 抗体来源 | Rabbit |
| 免疫原 | KLH conjugated synthetic peptide derived from human VSIG4 |
| 亚型 | IgG |
| 性状 | Liquid |
| 纯化方法 | affinity purified by Protein A |
| 克隆类型 | Polyclonal |
| 理论分子量 | 33 kDa |
| 浓度 | 1mg/ml |
| 储存液 | 0.01M TBS (pH7.4) with 1% BSA, 0.02% Proclin300 and 50% Glycerol. |
| 研究领域 | Immunology > Immunoglobulins > Receptors Immunology > Innate Immunity > Complement > Classical Pathway Immunology > Innate Immunity > Macrophage / Inflamm. |
| 亚细胞定位 | Membrane; Single-pass type I membrane protein (Probable). |
| 组织特异性 | Abundantly expressed in several fetal tissues. In adult tissues, highest expression in lung and placenta. Expressed in resting macrophages. |
| 相似性 | Contains 2 Ig-like (immunoglobulin-like) domains. |
| 功能 | Phagocytic receptor, strong negative regulator of T-cell proliferation and IL2 production. Potent inhibitor of the alternative complement pathway convertases. |
| 保存条件 | Shipped at 4℃. Store at -20℃ for one year. Avoid repeated freeze/thaw cycles. |
| 注意事项 | This product as supplied is intended for research use only, not for use in human, therapeutic or diagnostic applications. |
| 背景资料 | T cell activation by APCs is positively and negatively regulated by members of the B7 family. We have identified a previously unknown function for B7 familyrelated protein V-set and Ig domaincontaining 4 (VSIG4). Administration to mice of soluble VSIG4-Ig fusion molecules reduced the induction of T cell responses in vivo and inhibited the production of Th celldependent IgG responses. Unlike that of B7 family members, surface expression of VSIG4 was restricted to resting tissue macrophages and absent upon activation by LPS or in autoimmune inflammatory foci. The specific expression of VSIG4 on resting macrophages in tissue suggests that this inhibitory ligand may be important for the maintenance of T cell unresponsiveness in healthy tissues. |
| 应用 | 推荐稀释比例 |
| {WB} | {1:500-2000} |
| {IHC-P} | {1:100-500} |
| {IHC-F} | {1:100-500} |
| {IF} | {1:100-500} |

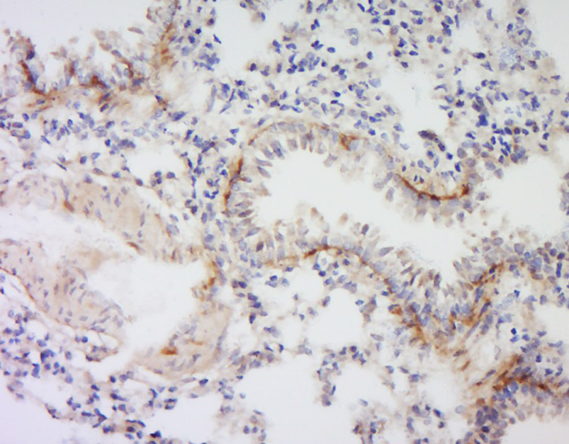
Antigen retrieval: citrate buffer ( 0.01M, pH 6.0 ), Boiling bathing for 15min; Block endogenous peroxidase by 3% Hydrogen peroxide for 30min; Blocking buffer (normal goat serum,C-0005) at 37∩ for 20 min;
Incubation: Anti- VSIG4 Polyclonal Antibody, Unconjugated(bs-0479R) 1:200, overnight at 4∑C, followed by conjugation to the secondary antibody(SP-0023) and DAB(C-0010) staining

Lung(Mouse)Lysate at 30 ug
Placenta(Mouse) Lysate at 30 ug
Primary: Anti-VSIG4 (bs-0479R) at 1/300 dilution
Secondary: IRDye800CW Goat Anti-Rabbit IgG at 1/20000 dilution
Predicted band size: 33 kD
Observed band size: 33 kD

Placenta (Mouse) Lysate at 40 ug
Primary: Anti-VSIG4 (bs-0479R) at 1/1000 dilution
Secondary: IRDye800CW Goat Anti-Rabbit IgG at 1/20000 dilution
Predicted band size: 33 kD
Observed band size: 33 kD

Lung (Mouse) Lysate at 40 ug
Primary: Anti-VSIG4 (bs-0479R) at 1/1000 dilution
Secondary: IRDye800CW Goat Anti-Rabbit IgG at 1/20000 dilution
Predicted band size: 33 kD
Observed band size: 33 kD
风险提示:丁香通仅作为第三方平台,为商家信息发布提供平台空间。用户咨询产品时请注意保护个人信息及财产安全,合理判断,谨慎选购商品,商家和用户对交易行为负责。对于医疗器械类产品,请先查证核实企业经营资质和医疗器械产品注册证情况。
文献和实验[IF={{ 9.6 }}] {Min Seok Lee. et al. Synovium-on-a-Chip Reveals Fibroblast–Macrophage Crosstalk Underpinning Joint Homeostasis and Evaluation of Gout Therapies. ADV HEALTHC MATER. 2025 May;:2501471} {IF} {Human}
[IF={{ 5.7 }}] {Zhuoqi Li. et al.A novel classification method for LUAD that guides personalized immunotherapy on the basis of the cross-talk of coagulation- and macrophage-related genes.frontiers in immunology.2025 Feb 13:16:1518102.} {IHC} {Human}
[IF={{ 4.123 }}] {Shi CX et al. Extracellular Histone H3 Induces Pyroptosis During Sepsis and May Act Through NOD2 and VSIG4/NLRP3 Pathways. Front Cell Infect Microbiol. 2020 May 5;10:196.} {WB} {Mouse}
[IF={{ 3.2 }}] {Fu Tianyi. et al. Single-cell transcriptomic analysis of decidual immune cell landscape in the occurrence of adverse pregnancy outcomes induced by Toxoplasma gondii infection. PARASITE VECTOR. 2024 Dec;17(1):1-23} {WB,IF} {Human}
技术资料暂无技术资料 索取技术资料





