相关产品推荐更多 >

Human CD63 Mouse mAb, FITC conjugated(bsm-30194M-FITC)-100T/50T/25T
¥1080
Anti-human CAPRIN1 (Toray patent Anti-Caprin-1 Biosimilar)(BIO0795SM)-1mg/5mg/20mg
¥3200
MCPIP1 Rabbit pAb, HRP conjugated(bs-5792R-HRP)-100ul
¥2980
GLUT4 Rabbit pAb, Cy5 conjugated(bs-0384R-Cy5)-100ul
¥2980
phospho-INPPL1 (Tyr1135) Rabbit pAb(bs-3399R)-50ul/100ul/200ul
¥1180
万千商家帮你免费找货
0 人在求购买到急需产品
- 详细信息
- 文献和实验
- 技术资料
- 应用范围:
产品信息以Bioss网站为准
- 规格:
50ul/100ul/200ul
| 规格: | 50ul | 产品价格: | ¥1180.0 |
|---|---|---|---|
| 规格: | 100ul | 产品价格: | ¥1980.0 |
| 规格: | 200ul | 产品价格: | ¥2800.0 |
| 产品编号 | bs-5913R |
| 英文名称 | Calreticulin Rabbit pAb |
| 中文名称 | 钙网蛋白抗体 |
| 英文别名 | Autoantigen RO; CALR; CALR protein; CALR_HUMAN; cC1qR; CRP55; CRTC; Endoplasmic reticulum resident protein 60; ERp60; grp60; HACBP; RO; Sicca syndrome antigen A; SSA. |
| 产品应用 | WB=1:500-2000, IHC-P=1:100-500, IHC-F=1:100-500, IF=1:100-500, ELISA=1:5000-10000 Not yet tested in other applications. |
| 交叉反应 | Human |
| 抗体来源 | Rabbit |
| 免疫原 | KLH conjugated synthetic peptide derived from human Calreticulin |
| 亚型 | IgG |
| 性状 | Liquid |
| 纯化方法 | affinity purified by Protein A |
| 克隆类型 | Polyclonal |
| 理论分子量 | 44 kDa |
| 浓度 | 1mg/ml |
| 储存液 | 0.01M TBS (pH7.4) with 1% BSA, 0.02% Proclin300 and 50% Glycerol. |
| 研究领域 | Tags & Cell Markers > Subcellular Markers > Organelles > ER |
| 亚基 | Monomer. Component of an EIF2 complex at least composed of CELF1/CUGBP1, CALR, CALR3, EIF2S1, EIF2S2, HSP90B1 and HSPA5. Interacts with PDIA3/ERp57 (By similarity). Interacts with NR3C1 and TRIM21. Interacts with GABARAP. |
| 亚细胞定位 | Endoplasmic reticulum lumen. Cytoplasm, cytosol. Secreted, extracellular space, extracellular matrix. Cell surface. |
| 相似性 | Belongs to the calreticulin family. |
| 保存条件 | Shipped at 4℃. Store at -20℃ for one year. Avoid repeated freeze/thaw cycles. |
| 注意事项 | This product as supplied is intended for research use only, not for use in human, therapeutic or diagnostic applications. |
| 背景资料 | Calreticulin is a highly conserved chaperone protein which resides primarily in the endoplasmic reticulum, and is involved in a variety of cellular processes, among them, cell adhesion. Additionally, it functions in protein folding quality control and calcium homeostasis. Calreticulin is also found in the nucleus, suggesting that it may have a role in transcription regulation. Systemic lupus erythematosus is associated with increased autoantibody titers against calreticulin. Recurrent mutations in calreticulin have been linked to various neoplasms, including the myeloproliferative type.[provided by RefSeq, May 2020] |
| 应用 | 推荐稀释比例 |
| {WB} | {1:500-2000} |
| {IHC-P} | {1:100-500} |
| {IHC-F} | {1:100-500} |
| {IF} | {1:100-500} |
| {ELISA} | {1:5000-10000} |

Lane 1: Human Jurkat cell lysates
Lane 2: Human HepG2 cell lysates
Lane 3: Human MCF-7 cell lysates
Primary: Anti-Calreticulin (bs-5913R) at 1/1000 dilution
Secondary: IRDye800CW Goat Anti-Rabbit IgG at 1/20000 dilution
Predicted band size: 44 kDa
Observed band size: 52 kDa





风险提示:丁香通仅作为第三方平台,为商家信息发布提供平台空间。用户咨询产品时请注意保护个人信息及财产安全,合理判断,谨慎选购商品,商家和用户对交易行为负责。对于医疗器械类产品,请先查证核实企业经营资质和医疗器械产品注册证情况。
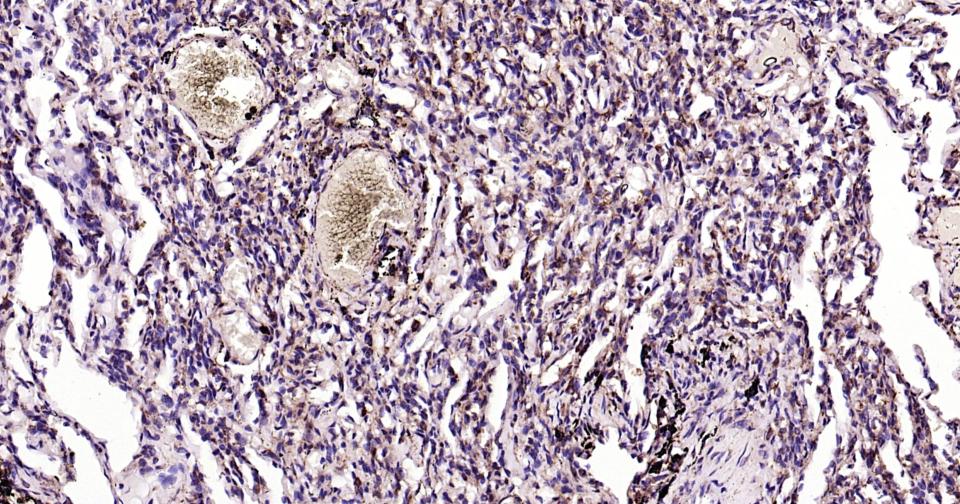
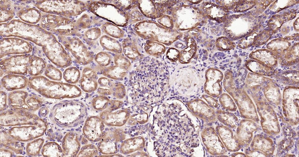
文献和实验[IF={{ 9.7 }}] {Ziyang Zhu. et al. Aggregation-Induced Emission Photosensitizer/Bacteria Biohybrids Enhance Cerenkov Radiation-Induced Photodynamic Therapy by Activating Anti-Tumor Immunity for Synergistic Tumor Treatment. ACTA BIOMATER. 2023 Jun;:} {IHC,IF,ICC} {Mouse}
[IF={{ 9.5 }}] {Ren-Jiang Kong. et al. Self-Delivery Photodynamic Re-educator Enhanced Tumor Treatment by Inducing Immunogenic Cell Death and Improving Immunosuppressive Microenvironments. ACS APPL MATER INTER. 2023;15(51):59165–59174} {IF} {Mouse}
[IF={{ 9.4 }}] {Hongxin Liu. et al. Tumor associated antigens combined with carbon dots for inducing durable antitumor immunity. J COLLOID INTERF SCI. 2024 Nov;673:594} {IF} {Mouse}
[IF={{ 9.4 }}] {Keze Hong. et al. A nanodrug provokes antitumor immune responses via synchronous multicellular regulation for enhanced cancer immunotherapy. J COLLOID INTERF SCI. 2024 Sep;:} {IF,FC} {Human,Mouse}
[IF={{ 9.4 }}] {Yuqing Pan. et al. A tumor-targeting porphyrin-micelle with enhanced STING agonist delivery and synergistic photo-/immuno- therapy for cancer treatment. ACTA BIOMATER. 2024 Dec;:} {IF} {Mouse}
= NAL), appears to form upon oxidative cyclization of the nonfluorescent 2:1 lysine-HNE Michael adduct-Schiff base cross-link (Scheme 1). Polyclonal antibody (PAb) to the NAL-HNE fluorophore was raised in rabbit and found to be highly specific
GE Healthcare Benzamidine Sepharose™ 6B is p-aminobenzamidine covalently attached to Sepharose 6B by the epoxy coupling method. p-Aminobenzamidine (PAB), is a synthetic inhibitor of trypsin-like serine protease. Trypsin and trypsin
Nucleic Acid Programmable Protein Arrays: Versatile Tools for Array‐Based Functional Protein Studies
.g., Sigma) 50 mg/ml bis‐sulfosuccinimdylsuberate (BS3 ;Pierce, cat. no. PI 21580) in dimethylsulfoxide (DMSO) 5 mg/ml
技术资料暂无技术资料 索取技术资料






