相关产品推荐更多 >
万千商家帮你免费找货
0 人在求购买到急需产品
- 详细信息
- 文献和实验
- 技术资料
- 应用范围:
产品信息以Bioss网站为准
- 规格:
50ul/100ul/200ul
| 规格: | 50ul | 产品价格: | ¥1180.0 |
|---|---|---|---|
| 规格: | 100ul | 产品价格: | ¥1980.0 |
| 规格: | 200ul | 产品价格: | ¥2800.0 |
| 产品编号 | bs-3577R |
| 英文名称 | DMT1 Rabbit pAb |
| 中文名称 | 金属离子转运体1抗体 |
| 英文别名 | DCT 1; DCT1; Divalent metal transporter 1; DMT 1; Natural resistance associated macrophage protein 2; NRAMP 2; NRAMP2; SLC11A2; NRAM2_HUMAN. |
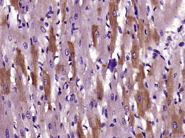
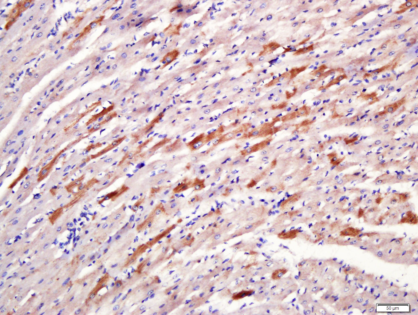
| 产品应用 | WB=1:500-2000, IHC-P=1:100-500, IHC-F=1:100-500, IF=1:100-500 Not yet tested in other applications. |
| 交叉反应 | Mouse, Rat (Human, Cow) |
| 抗体来源 | Rabbit |
| 免疫原 | KLH conjugated synthetic peptide derived from human DMT1 |
| 亚型 | IgG |
| 性状 | Liquid |
| 纯化方法 | affinity purified by Protein A |
| 克隆类型 | Polyclonal |
| 理论分子量 | 62 kDa |
| 浓度 | 1mg/ml |
| 储存液 | 0.01M TBS (pH7.4) with 1% BSA, 0.02% Proclin300 and 50% Glycerol. |
| 研究领域 | Cardiovascular > Blood > Serum Proteins Signal Transduction > Metabolism > Plasma Membrane > Channels Signal Transduction > Metabolism > Vitamins / Minerals |
| 亚细胞定位 | Cytoplasm. |
| 组织特异性 | Heart, brain, lung, skeletal muscle, and kidney. |
| 翻译后修饰 | Actin-bundling activity is abolished upon phosphorylation by cAMP-dependent protein kinase. |
| 相似性 | Belongs to the villin/gelsolin family. |
| 功能 | Actin-bundling protein. May function in mitogen-activated protein kinase pathway. |
| 保存条件 | Shipped at 4℃. Store at -20℃ for one year. Avoid repeated freeze/thaw cycles. |
| 注意事项 | This product as supplied is intended for research use only, not for use in human, therapeutic or diagnostic applications. |
| 背景资料 | DMT1 is a major transporter of ferrous iron from the intestinal lumen. DMT1 belongs to the family of NRAMP metal ion transporters which function in diverse organisms from bacteria to human. DMT1 (NRAMP2) transports metal ions at the plasma membrane of cells of both the duodenum and in peripheral tissues, and defective DMT1 causes anaemia. |
| 应用 | 推荐稀释比例 |
| {WB} | {1:500-2000} |
| {IHC-P} | {1:100-500} |
| {IHC-F} | {1:100-500} |
| {IF} | {1:100-500} |


Adrenal glands (Mouse) Lysate at 40 ug
Primary: Anti-DMT1 (bs-3577R) at 1/300 dilution
Secondary: IRDye800CW Goat Anti-Rabbit IgG at 1/20000 dilution
Predicted band size: 62 kD
Observed band size: 64 kD


风险提示:丁香通仅作为第三方平台,为商家信息发布提供平台空间。用户咨询产品时请注意保护个人信息及财产安全,合理判断,谨慎选购商品,商家和用户对交易行为负责。对于医疗器械类产品,请先查证核实企业经营资质和医疗器械产品注册证情况。
文献和实验[IF={{ 8.1 }}] {Chen Wang. et al. Microbial metabolite deoxycholic acid-mediated ferroptosis exacerbates high-fat diet-induced colonic inflammation. MOL METAB. 2024 Apr;:101944} {WB} {Rat}
[IF={{ 6.543 }}] {Zhang Hongxia. et al. Hepcidin Promoted Ferroptosis through Iron Metabolism which Is Associated with DMT1 Signaling Activation in Early Brain Injury following Subarachnoid Hemorrhage. Oxid Med Cell Longev. 2021;2021:9800794} {WB,IF} {Rat}
[IF={{ 6.4 }}] {Anja Steinmaurer. et al. The relation between BTK expression and iron accumulation of myeloid cells in multiple sclerosis. BRAIN PATHOL. 2024 Jan;:e13240} {WB} {Human}
[IF={{ 6.17 }}] {Qian Wang. et al. Efficient iron utilization compensates for loss of extracellular matrix of ovarian cancer spheroids. Free Radical Bio Med. 2021 Feb;164:369} {IF} {Human}
[IF={{ 5.959 }}] {Zhang C et al. “Iron free” zinc oxide nanoparticles with ion-leaking properties disrupt intracellular ROS and iron homeostasis to induce ferroptosis. Cell Death Dis. 2020 Mar 13;11(3):183.} {WB} {mouse}
= NAL), appears to form upon oxidative cyclization of the nonfluorescent 2:1 lysine-HNE Michael adduct-Schiff base cross-link (Scheme 1). Polyclonal antibody (PAb) to the NAL-HNE fluorophore was raised in rabbit and found to be highly specific
GE Healthcare Benzamidine Sepharose™ 6B is p-aminobenzamidine covalently attached to Sepharose 6B by the epoxy coupling method. p-Aminobenzamidine (PAB), is a synthetic inhibitor of trypsin-like serine protease. Trypsin and trypsin
Nucleic Acid Programmable Protein Arrays: Versatile Tools for Array‐Based Functional Protein Studies
.g., Sigma) 50 mg/ml bis‐sulfosuccinimdylsuberate (BS3 ;Pierce, cat. no. PI 21580) in dimethylsulfoxide (DMSO) 5 mg/ml
技术资料暂无技术资料 索取技术资料








