相关产品推荐更多 >
万千商家帮你免费找货
0 人在求购买到急需产品
- 详细信息
- 文献和实验
- 技术资料
- 应用范围:
产品信息以Bioss网站为准
- 规格:
50ul/100ul/200ul
| 规格: | 50ul | 产品价格: | ¥1180.0 |
|---|---|---|---|
| 规格: | 100ul | 产品价格: | ¥1980.0 |
| 规格: | 200ul | 产品价格: | ¥2800.0 |
| 产品编号 | bs-1064R |
| 英文名称 | KLF4 Rabbit pAb |
| 中文名称 | 肠道内富含的Kruppel样因子/上皮锌指蛋白4抗体 |
| 英文别名 | Endothelial Kruppel like zinc finger protein; EZF; GKLF; KLF; Kruppel like factor 4(Epithelial zinc finger protein EZF)(Gut enriched Krueppel like factor); Kruppel like factor 4(gut); Krueppel-like factor 4; EZF; GKLF; KLF 4; KLF-4; Krueppel like factor 4; KLF4_HUMAN. |
| 产品应用 | WB=1:500-2000, IHC-P=1:50-200, IHC-F=1:50-200, ICC/IF=1:100-500, IF=1:50-200, Flow-Cyt=1ug/Test Not yet tested in other applications. |
| 交叉反应 | Human, Mouse, Rat |
| 抗体来源 | Rabbit |
| 免疫原 | KLH conjugated synthetic peptide derived from human KLF4 |
| 亚型 | IgG |
| 性状 | Liquid |
| 纯化方法 | affinity purified by Protein A |
| 克隆类型 | Polyclonal |
| 理论分子量 | 56 kDa |
| 浓度 | 1mg/ml |
| 储存液 | 0.01M TBS (pH7.4) with 1% BSA, 0.02% Proclin300 and 50% Glycerol. |
| 研究领域 | Cancer > Oncoproteins/suppressors > Oncoproteins > Transcription factors Cancer > Oncoproteins/suppressors > Tumor suppressors Cardiovascular > Angiogenesis > Endothelial Cell Markers Cardiovascular > Heart > Hypertrophy > Transcription factors Developmental Biology > Embryogenesis > Embryonic stem cells > Surface molecules Epigenetics and Nuclear Signaling > Cell cycle > Cell Cycle Inhibitors Epigenetics and Nuclear Signaling > Cell cycle > Cell Differentiation Epigenetics and Nuclear Signaling > Transcription > Domain Families > Krueppel like factor Epigenetics and Nuclear Signaling > Transcription > Krueppel like factor Epigenetics and Nuclear Signaling > Transcription > Other factors Epigenetics and Nuclear Signaling > Transcription > Transcription Factors Stem Cells > Embryonic Stem Cells > Intracellular |
| 亚基 | Interacts with POU5F1/OCT4 and SOX2. Interacts with MUC1 (via the C-terminal domain). |
| 亚细胞定位 | Nucleus. |
| 翻译后修饰 | Ubiquitinated. Polyubiquitination involves WWP1 and leads to proteasomal degradation of this protein. |
| 相似性 | Belongs to the krueppel C2H2-type zinc-finger protein family. |
| 功能 | Transcription factor; can act both as activator and as repressor. Binds the 5'-CACCC-3' core sequence. Binds to the promoter region of its own gene and can activate its own transcription. Regulates the expression of key transcription factors during embryonic development. Plays an important role in maintaining embryonic stem cells, and in preventing their differentiation. Required for establishing the barrier function of the skin and for postnatal maturation and maintenance of the ocular surface. Involved in the differentiation of epithelial cells and may also function in skeletal and kidney development. Contributes to the down-regulation of p53/TP53 transcription. |
| 保存条件 | Shipped at 4℃. Store at -20℃ for one year. Avoid repeated freeze/thaw cycles. |
| 注意事项 | This product as supplied is intended for research use only, not for use in human, therapeutic or diagnostic applications. |
| 背景资料 | KLF4 is a transcription factor that works with Sp1 to activate the Laminin gamma1 chain gene. It binds the CACCC core sequence. KLF4 may be involved in the differentiation of epithelial cells and may also function in the development of the skeleton and kidney. KLF4 also has roles as both an oncogene and a tumor suppressor. |
| 应用 | 推荐稀释比例 |
| {WB} | {1:500-2000} |
| {IHC-P} | {1:50-200} |
| {IHC-F} | {1:50-200} |
| {ICC/IF} | {1:100-500} |
| {IF} | {1:50-200} |
| {Flow-Cyt} | {1ug/Test} |

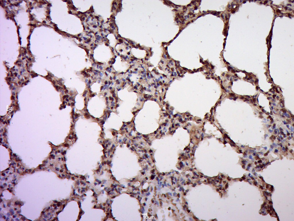
Antigen retrieval: citrate buffer ( 0.01M, pH 6.0 ), Boiling bathing for 15min; Block endogenous peroxidase by 3% Hydrogen peroxide for 30min; Blocking buffer (normal goat serum,C-0005) at 37℃ for 20 min;
Incubation: Anti-KLF4 Polyclonal Antibody, Unconjugated(bs-1064R) 1:200, overnight at 4°C, followed by conjugation to the secondary antibody(SP-0023) and DAB(C-0010) staining


Primary Antibody: Rabbit Anti-KLF4 AF647 Conjugated antibody (bs-1064R-AF647), Dilution: 1μg in 100 μL 1X PBS containing 0.5% BSA;
Isotype Control Antibody: Rabbit IgG/AF647(orange) ,used under the same conditions.
Protocol
The cells were fixed with 2% Paraformaldehyde (10 min) and then permeabilized with ice-cold 90% methanol for 30 min on ice. The cells were washed twice with 1 X PBS. The cells were incubated in 1 X PBS containing 0.5% BSA + 1 0% goat serum (15 min) to block non-specific protein-protein interactions followed by the incubated with antibody (bs-1064R-AF647, 1μg /1x10^6 cells) for 30 min on ice. Acquisition of 20,000 events was performed.

Primary: Anti- KLF4 (bs-1064R) at 1/300 dilution
Secondary: IRDye800CW Goat Anti-Rabbit IgG at 1/20000 dilution
Predicted band size: 56 kD
Observed band size: 60 kD

Primary Antibody (green line): Rabbit Anti-KLF4 antibody (bs-1064R)
Dilution: 1μg /10^6 cells;
Isotype Control Antibody (orange line): Rabbit IgG .
Secondary Antibody : Goat anti-rabbit IgG-FITC
Dilution: 1μg /test.
Protocol
The cells were fixed with 4% PFA (10min at room temperature)and then permeabilized with 90% ice-cold methanol for 20 min at -20℃.The cells were then incubated in 5%BSA to block non-specific protein-protein interactions for 30 min at room temperature .Cells stained with Primary Antibody for 30 min at room temperature. The secondary antibody used for 40 min at room temperature. Acquisition of 20,000 events was performed.

Hela Cell(Human)Lysate at 30 ug
Primary: Anti- KLF4 (bs-1064R)at 1/300 dilution
Secondary: IRDye800CW Goat Anti-Rabbit IgG at 1/20000 dilution
Predicted band size: 56kD
Observed band size: 56kD

Lane 1: Mouse NIH/3T3 cell lysates
Lane 2: Human A431 cell lysates
Lane 3: Human LOVO cell lysates
Lane 4: Human HeLa cell lysates
Lane 5: Human MCF-7 cell lysates
Lane 6: Human A549 cell lysates
Primary: Anti-KLF4 (bs-1064R) at 1/1000 dilution
Secondary: IRDye800CW Goat Anti-Rabbit IgG at 1/20000 dilution
Predicted band size: 56 kDa
Observed band size: 50 kDa
风险提示:丁香通仅作为第三方平台,为商家信息发布提供平台空间。用户咨询产品时请注意保护个人信息及财产安全,合理判断,谨慎选购商品,商家和用户对交易行为负责。对于医疗器械类产品,请先查证核实企业经营资质和医疗器械产品注册证情况。
文献和实验[IF={{ 9.1 }}] {Datao Wang. et al. Antlers on does: An unexpected role of macrophages in deer biology. P NATL ACAD SCI USA. 2025 Jun;122(24):e2424448122} {IF} {Deer}
[IF={{ 7.525 }}] {Ma Manting. et al. LncRNA-TBP mediates TATA-binding protein recruitment to regulate myogenesis and induce slow-twitch myofibers. CELL COMMUN SIGNAL. 2023 Dec;21(1):1-16} {WB} {Chicken}
[IF={{ 6.656 }}] {Dong-qin Xu. et al. Pentoxifylline attenuates nonalcoholic fatty liver by inhibiting hepatic macrophage polarization to the M1 phenotype. PHYTOMEDICINE. 2022 Aug;:154368} {FCM} {Mouse}
[IF={{ 6.639 }}] {Wataru Nakajima. et al. Epigenetic Priming with Decitabine Augments the Therapeutic Effect of Cisplatin on Triple-Negative Breast Cancer Cells through Induction of Proapoptotic Factor NOXA. Cancers. 2022 Jan;14(1):248} {WB} {Human}
[IF={{ 6.208 }}] {Ling Ding. et al. Bufalin Inhibits Tumorigenesis, Stemness, and Epithelial–Mesenchymal Transition in Colorectal Cancer through a C-Kit/Slug Signaling Axis. INT J MOL SCI. 2022 Jan;23(21):13354} {WB} {Human}
技术资料暂无技术资料 索取技术资料









