相关产品推荐更多 >

MAP3K14/NFkB Inducing Kinase Rabbit pAb, Cy7 conjugated(bs-0074R-Cy7)-100ul
¥2980
MUC12 Rabbit pAb, Biotin conjugated(bs-17903R-Bio)-100ul
¥2980
phospho-IRS1 (Ser323) Rabbit pAb(bs-12709R)-50ul/100ul/200ul
¥1180
NAV3 Rabbit pAb(bs-12151R)-50ul/100ul/200ul
¥1180
phospho-c-Kit (Tyr730) Rabbit pAb, AP conjugated(bs-12914R-AP)-100ul
¥2980
万千商家帮你免费找货
0 人在求购买到急需产品
- 详细信息
- 文献和实验
- 技术资料
- 应用范围:
产品信息以Bioss网站为准
- 规格:
50ul/100ul/200ul
| 规格: | 50ul | 产品价格: | ¥1180.0 |
|---|---|---|---|
| 规格: | 100ul | 产品价格: | ¥1980.0 |
| 规格: | 200ul | 产品价格: | ¥2800.0 |
| 产品编号 | bs-2527R |
| 英文名称 | CD163 Rabbit pAb |
| 中文名称 | CD163抗体 |
| 英文别名 | Scavenger receptor cysteine-rich type 1 protein M130; CD 163; CD163 antigen; CD163 molecule; Hemoglobin Scavenger Receptor; M130; M130 antigen precursor; Macrophage associated antigen; MM130; C163A_HUMAN. |
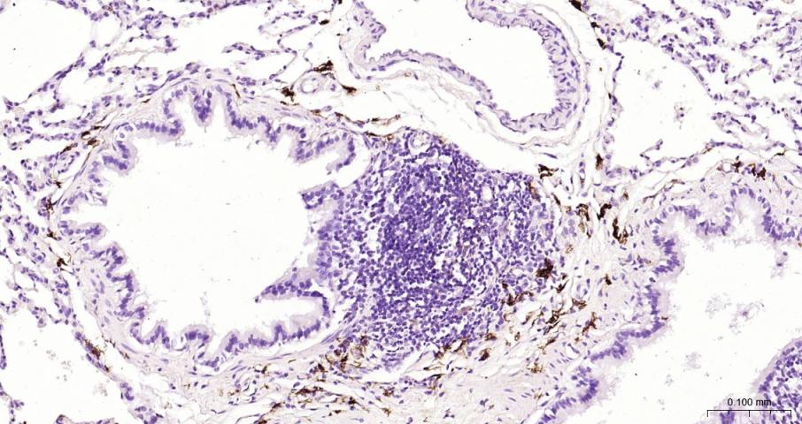
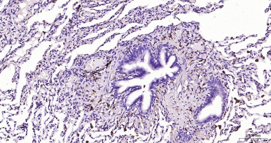
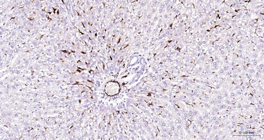
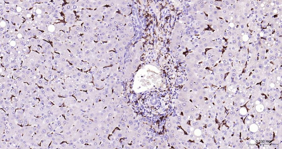
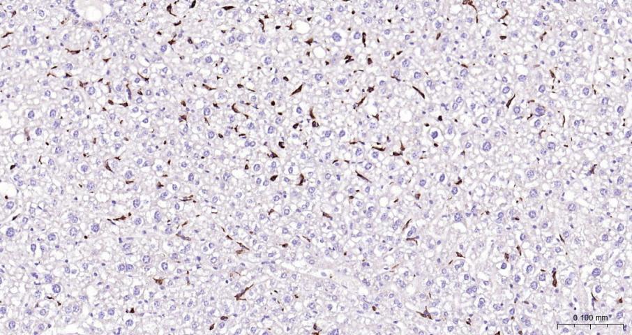
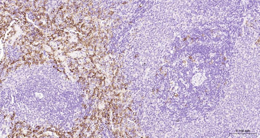
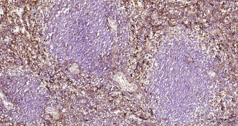
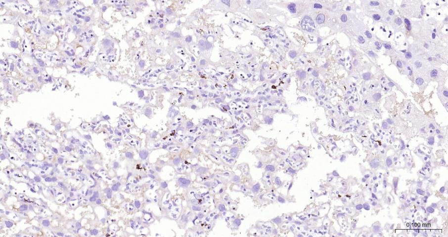
| 产品应用 | IHC-P=1:100-500, IHC-F=1:100-500, IF=1:100-500, WB=1:500-2000 Not yet tested in other applications. |
| 交叉反应 | Human, Rat, Mouse |
| 抗体来源 | Rabbit |
| 免疫原 | KLH conjugated synthetic peptide derived from human CD163 |
| 亚型 | IgG |
| 性状 | Liquid |
| 纯化方法 | affinity purified by Protein A |
| 克隆类型 | Polyclonal |
| 理论分子量 | 130 kDa |
| 实际分子量 | 134(non-reduced)/155kDa |
| 浓度 | 1mg/ml |
| 储存液 | 0.01M TBS (pH7.4) with 1% BSA, 0.02% Proclin300 and 50% Glycerol. |
| 研究领域 | Cardiovascular > Atherosclerosis > Vascular Inflammation > Innate and adaptive immunity Immunology > Cell Type Markers > CD > Myeloid Cells Immunology > Innate Immunity > Macrophage / Inflamm. |
| 亚细胞定位 | Secreted and Cell membrane. Isoform 1 and isoform 2 show a lower surface expression when expressed in cells. |
| 组织特异性 | Expressed in monocytes and mature macrophages such as Kupffer cells in the liver, red pulp macrophages in the spleen, cortical macrophages in the thymus, resident bone marrow macrophages and meningeal macrophages of the central nervous system. Expressed also in blood. Isoform 1 is the lowest abundant in the blood. Isoform 2 is the lowest abundant in the liver and the spleen. Isoform 3 is the predominant isoform detected in the blood. |
| 翻译后修饰 | A soluble form (sCD163) is produced by proteolytic shedding which can be induced by lipopolysaccharide, phorbol ester and Fc region of immunoglobulin gamma. This cleavage is dependent on protein kinase C and tyrosine kinases and can be blocked by protease inhibitors. The shedding is inhibited by the tissue inhibitor of metalloproteinase TIMP3, and thus probably induced by membrane-bound metalloproteinases ADAMs. Phosphorylated. |
| 相似性 | Contains 9 SRCR domains. |
| 功能 | Acute phase-regulated receptor involved in clearance and endocytosis of hemoglobin/haptoglobin complexes by macrophages and may thereby protect tissues from free hemoglobin-mediated oxidative damage. May play a role in the uptake and recycling of iron, via endocytosis of hemoglobin/haptoglobin and subsequent breakdown of heme. Binds hemoglobin/haptoglobin complexes in a calcium-dependent and pH-dependent manner. Exhibits a higher affinity for complexes of hemoglobin and multimeric haptoglobin of HP*1F phenotype than for complexes of hemoglobin and dimeric haptoglobin of HP*1S phenotype. Induces a cascade of intracellular signals that involves tyrosine kinase-dependent calcium mobilization, inositol triphosphate production and secretion of IL6 and CSF1. Isoform 3 exhibits the higher capacity for ligand endocytosis and the more pronounced surface expression when expressed in cells. |
| 保存条件 | Shipped at 4℃. Store at -20℃ for one year. Avoid repeated freeze/thaw cycles. |
| 注意事项 | This product as supplied is intended for research use only, not for use in human, therapeutic or diagnostic applications. |
| 背景资料 | The protein encoded by this gene is a member of the scavenger receptor cysteine-rich (SRCR) superfamily, and is exclusively expressed in monocytes and macrophages. It functions as an acute phase-regulated receptor involved in the clearance and endocytosis of hemoglobin/haptoglobin complexes by macrophages, and may thereby protect tissues from free hemoglobin-mediated oxidative damage. This protein may also function as an innate immune sensor for bacteria and inducer of local inflammation. Alternatively spliced transcript variants encoding different isoforms have been described for this gene. [provided by RefSeq, Aug 2011] |
| 应用 | 推荐稀释比例 |
| {IHC-P} | {1:100-500} |
| {IHC-F} | {1:100-500} |
| {IF} | {1:100-500} |
| {WB} | {1:500-2000} |

















风险提示:丁香通仅作为第三方平台,为商家信息发布提供平台空间。用户咨询产品时请注意保护个人信息及财产安全,合理判断,谨慎选购商品,商家和用户对交易行为负责。对于医疗器械类产品,请先查证核实企业经营资质和医疗器械产品注册证情况。
文献和实验[IF={{ 9.4 }}] {Aldona Mzyk. et al. Quantum sensing to monitor changes in free radical generation by intracellular vesicles of polarized macrophages. ACTA BIOMATER. 2025 Apr;:} {FC} {Mouse}
[IF={{ 9.071 }}] {Giorgio Caratti. et al. Macrophagic AMPKα1 orchestrates regenerative inflammation induced by glucocorticoids. EMBO REP. 2022 Dec 15} {IF} {Mouse}
[IF={{ 8.947 }}] {Junpeng Chen. et al. An all-in-one CO gas therapy-based hydrogel dressing with sustained insulin release, anti-oxidative stress, antibacterial, and anti-inflammatory capabilities for infected diabetic wounds. ACTA BIOMATER. 2022 Apr;:} {WB,IF} {Mouse}
[IF={{ 8.897 }}] {Liu, Houli. et al. Immunomodulatory hybrid bio-nanovesicle for self-promoted photodynamic therapy. Nano Res. 2022 Feb;:1-10} {WB} {Mouse}
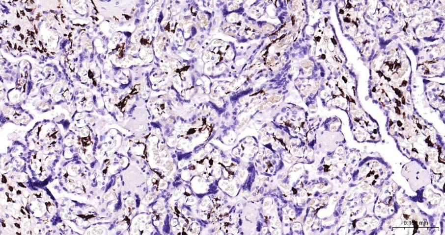
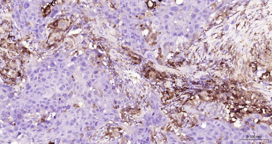
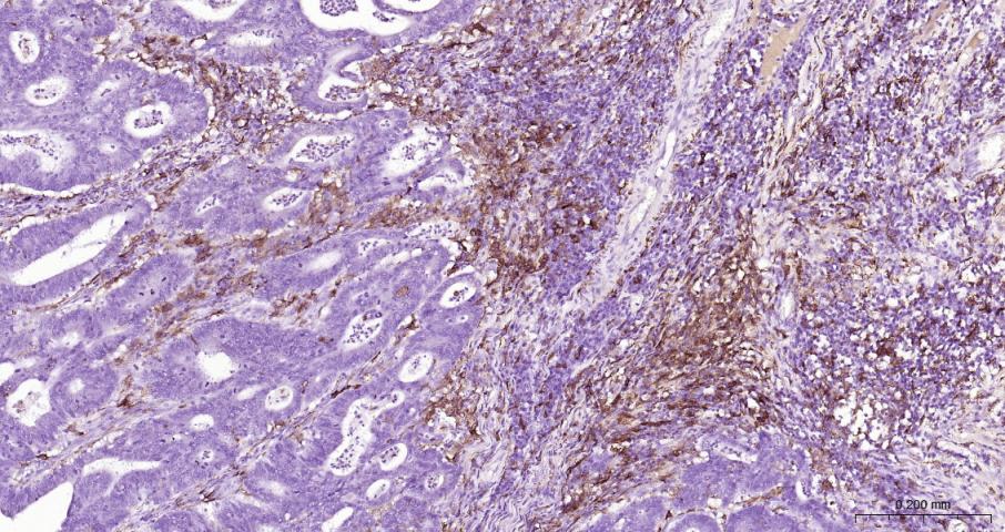
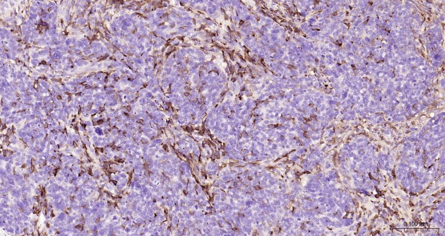
[IF={{ 8.579 }}] {Tong L et al. ACT001 reduces the expression of PD-L1 by inhibiting the phosphorylation of STAT3 in glioblastoma. Theranostics. 2020 May 1;10(13):5943-5956.} {IHC} {Mouse}
= NAL), appears to form upon oxidative cyclization of the nonfluorescent 2:1 lysine-HNE Michael adduct-Schiff base cross-link (Scheme 1). Polyclonal antibody (PAb) to the NAL-HNE fluorophore was raised in rabbit and found to be highly specific
GE Healthcare Benzamidine Sepharose™ 6B is p-aminobenzamidine covalently attached to Sepharose 6B by the epoxy coupling method. p-Aminobenzamidine (PAB), is a synthetic inhibitor of trypsin-like serine protease. Trypsin and trypsin
Nucleic Acid Programmable Protein Arrays: Versatile Tools for Array‐Based Functional Protein Studies
.g., Sigma) 50 mg/ml bis‐sulfosuccinimdylsuberate (BS3 ;Pierce, cat. no. PI 21580) in dimethylsulfoxide (DMSO) 5 mg/ml
技术资料暂无技术资料 索取技术资料






