相关产品推荐更多 >
万千商家帮你免费找货
0 人在求购买到急需产品
- 详细信息
- 文献和实验
- 技术资料
- 应用范围:
产品信息以Bioss网站为准
- 规格:
50ul/100ul/200ul
| 规格: | 50ul | 产品价格: | ¥1180.0 |
|---|---|---|---|
| 规格: | 100ul | 产品价格: | ¥1980.0 |
| 规格: | 200ul | 产品价格: | ¥2800.0 |
| 产品编号 | bs-1074R |
| 英文名称 | Nrf2 Rabbit pAb |
| 中文名称 | 核因子2相关因子2抗体 |
| 英文别名 | NF2L2_HUMAN; Nuclear factor erythroid 2-related factor 2; NFE2L2; NF-E2-related factor 2; NFE2-related factor 2; Nrf-2; Nrf 2; Nuclear factor, erythroid derived 2, like 2; NFE2L2; NRF2; NFE2 like bZIP transcription factor 2; HEBP1; IMDDHH; |
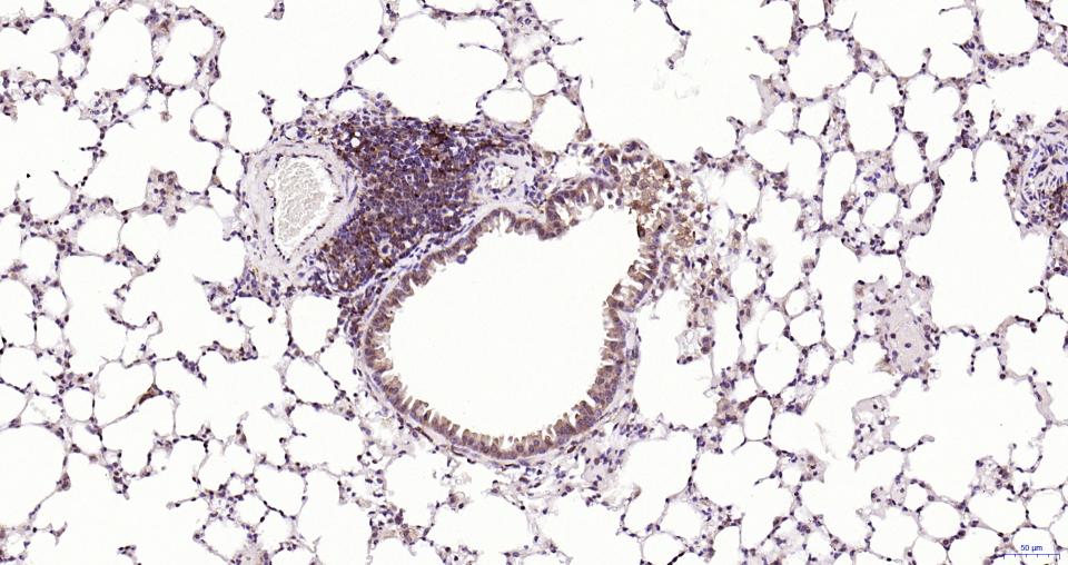
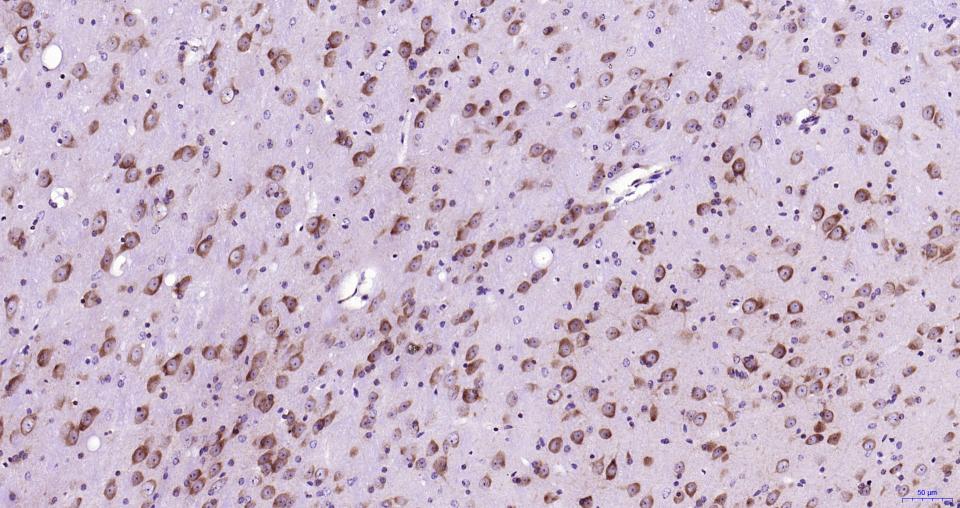
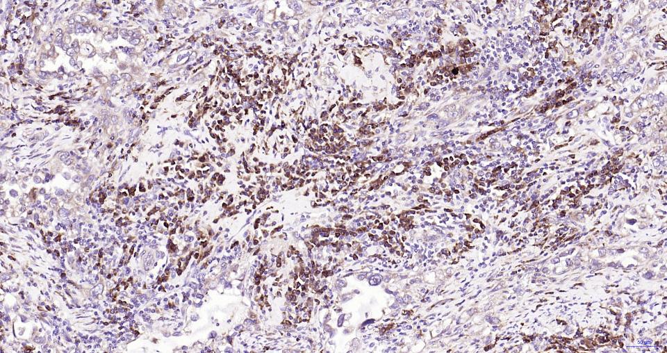
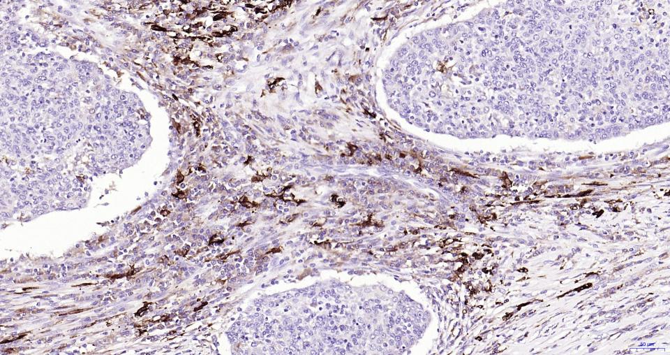
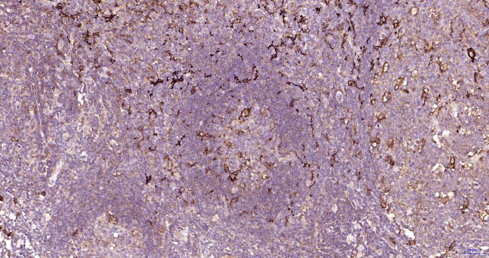
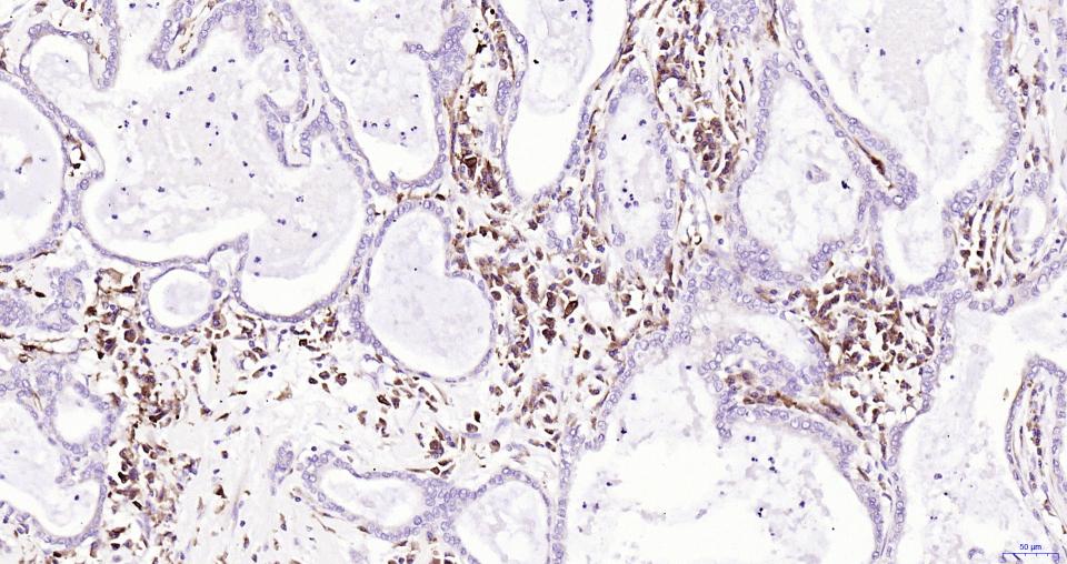
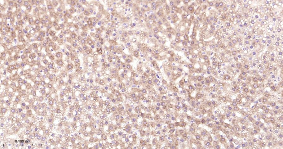
| 产品应用 | WB=1:1000-5000, IHC-P=1:200-1000, IHC-F=1:200-1000, IF=1:200-1000, Flow-Cyt=1μg/Test, ICC/IF=1:100-500 Not yet tested in other applications. |
| 交叉反应 | Human, Mouse, Rat |
| 抗体来源 | Rabbit |
| 免疫原 | KLH conjugated synthetic peptide derived from human Nrf2 |
| 亚型 | IgG |
| 性状 | Liquid |
| 纯化方法 | affinity purified by Protein A |
| 克隆类型 | Polyclonal |
| 理论分子量 | 68 kDa |
| 浓度 | 1mg/ml |
| 储存液 | 0.01M TBS (pH7.4) with 1% BSA, 0.02% Proclin300 and 50% Glycerol. |
| 研究领域 | Cardiovascular > Heart > Cardiac metabolism Cell Biology > Other Antibodies > Oxidative Stress Epigenetics and Nuclear Signaling > ChIP assays > ChIP antibodies Epigenetics and Nuclear Signaling > Transcription > Other factors Metabolism > Pathways and Processes > Metabolic signaling pathways > Nucleotide metabolism > Molecular processes > Mitochondrial transcription Metabolism > Pathways and Processes > Mitochondrial Metabolism > Mitochondrial Biogenesis Metabolism > Pathways and Processes > Redox metabolism > Oxidative stress |
| 亚基 | Heterodimer. Forms a ternary complex with PGAM5 and KEAP1. May bind DNA with an unknown protein. Interacts via its leucine-zipper domain with the coiled-coil domain of PMF1. |
| 亚细胞定位 | Cytoplasm, cytosol. Nucleus. Note=Cytosolic under unstressed conditions, translocates into the nucleus upon induction by electrophilic agents. |
| 组织特异性 | Widely expressed. Highest expression in adult muscle, kidney, lung, liver and in fetal muscle. |
| 翻译后修饰 | Phosphorylation of Ser-40 by PKC in response to oxidative stress dissociates NFE2L2 from its cytoplasmic inhibitor KEAP1, promoting its translocation into the nucleus. |
| 相似性 | Belongs to the bZIP family. CNC subfamily. Contains 1 bZIP domain. |
| 功能 | Transcription activator that binds to antioxidant response (ARE) elements in the promoter regions of target genes. Important for the coordinated up-regulation of genes in response to oxidative stress. May be involved in the transcriptional activation of genes of the beta-globin cluster by mediating enhancer activity of hypersensitive site 2 of the beta-globin locus control region. |
| 保存条件 | Shipped at 4℃. Store at -20℃ for one year. Avoid repeated freeze/thaw cycles. |
| 注意事项 | This product as supplied is intended for research use only, not for use in human, therapeutic or diagnostic applications. |
| 背景资料 | Nuclear factor erythroid 2-related factor 2 (Nrf2) is a transcriptionfactor which regulates the expression of many detoxification andantioxidant enzymes. Nrf2 can potentially play a significant role in adaptive responses to oxidative stress. Nrf2 belongs to the Cap N Collar (CNC-bZIP) subfamily of basic /leucine zipper (bZIP) transcription factors. |
| 应用 | 推荐稀释比例 |
| {WB} | {1:1000-5000} |
| {IHC-P} | {1:200-1000} |
| {IHC-F} | {1:200-1000} |
| {IF} | {1:200-1000} |
| {Flow-Cyt} | {1μg/Test} |
| {ICC/IF} | {1:100-500} |
















风险提示:丁香通仅作为第三方平台,为商家信息发布提供平台空间。用户咨询产品时请注意保护个人信息及财产安全,合理判断,谨慎选购商品,商家和用户对交易行为负责。对于医疗器械类产品,请先查证核实企业经营资质和医疗器械产品注册证情况。
文献和实验[IF={{ 9.6 }}] {Hao Zhang. et al. An injectable and adaptable system for the sustained release of hydrogen sulfide for targeted diabetic wound therapy by improving the microenvironment of inflammation regulation and angiogenesis. ACTA BIOMATER. 2025 Feb;:} {IF} {Human}
[IF={{ 8.9 }}] {Zhang Peng. et al. JC124 confers multimodal neuroprotection in epilepsy by suppressing NLRP3 inflammasome activation: evidence from animal and human neuronal models. CELL COMMUN SIGNAL. 2025 Dec;23(1):1-23} {IHC} {Mouse}
[IF={{ 8.724 }}] {Jianmei Li. et al. Mn-containing bioceramics inhibit osteoclastogenesis and promote osteoporotic bone regeneration via scavenging ROS. Bioact Mater. 2021 Nov;6:3839} {IF} {Rat}
[IF={{ 8.5 }}] {Yuanlin Li. et al. Structure characterization of a Bletilla striata homogeneous polysaccharide and its effects on reducing oxidative stress and promoting wound healing in diabetic rats. INT J BIOL MACROMOL. 2025 Mar;:141904} {WB} {Rat}
[IF={{ 8.5 }}] {Biqi Han. et al. Cardioprotective effects of Dendrobium officinale polysaccharides on thiacloprid-induced cardiac injury via modulating mitochondrial dynamics. INT J BIOL MACROMOL. 2025 May;309:142497} {WB} {Coturnix japonica}
= NAL), appears to form upon oxidative cyclization of the nonfluorescent 2:1 lysine-HNE Michael adduct-Schiff base cross-link (Scheme 1). Polyclonal antibody (PAb) to the NAL-HNE fluorophore was raised in rabbit and found to be highly specific
/96T 2000/3000 进口分装 F0021 骨成型蛋白-9(BMP-9) ELISA 48T/96T 2000/3000 进口分装 F0022 BMP-R1A ELISA 48T/96T 2000/3000 进口分装 F0023 BMP-R2 ELISA 48T/96T 2000/3000 进口分装 F0024 BTC ELISA 48T/96T 2000/3100 进口分装 F0030 CAE-Ab ELISA 96
/96T 2000/3000 进口分装 F0021 骨成型蛋白-9(BMP-9) ELISA 48T/96T 2000/3000 进口分装 F0022 BMP-R1A ELISA 48T/96T 2000/3000 进口分装 F0023 BMP-R2 ELISA 48T/96T 2000/3000 进口分装 F0024 BTC ELISA 48T/96T 2000/3100 进口分装 F0030 CAE-Ab ELISA 96
技术资料暂无技术资料 索取技术资料








