相关产品推荐更多 >

Activin A Receptor Type IC Rabbit pAb, AP conjugated(bs-5777R-AP)-100ul
¥2980
Somatostatin Rabbit pAb, HRP conjugated(bs-37040R-HRP)-100ul
¥2980
TKTL2 Rabbit pAb, HRP conjugated(bs-19939R-HRP)-100ul
¥2980
DTX3 Rabbit pAb(bs-14437R)-50ul/100ul/200ul
¥1180
phospho-SCNN1B (Thr615) Rabbit pAb, HRP conjugated(bs-5701R-HRP)-100ul
¥2980
万千商家帮你免费找货
0 人在求购买到急需产品
- 详细信息
- 文献和实验
- 技术资料
- 应用范围:
产品信息以Bioss网站为准
- 规格:
50ul/100ul/200ul
| 规格: | 50ul | 产品价格: | ¥1180.0 |
|---|---|---|---|
| 规格: | 100ul | 产品价格: | ¥1980.0 |
| 规格: | 200ul | 产品价格: | ¥2800.0 |
| 产品编号 | bs-4588R |
| 英文名称 | IGF I Rabbit pAb |
| 中文名称 | 胰岛素样生长因子1抗体 |
| 英文别名 | IBP1; IGF 1; IGF I; IGF-1; IGF IA; IGF IB; IGF1; IGFI; IGFIA; Insulin like growth factor 1(somatomedin C); Full=Insulin-like growth factor I; Insulin Like Growth Factor 1; Insulin like growth factor IA; Insulin like growth factor IB; Mechano growth factor; MGF; Mechano growth factor; MGF; Somatomedia C; Somatomedin C; IGF1_HUMAN. |
| 产品应用 | WB=1:500-2000, IHC-P=1:100-500, IHC-F=1:100-500, IF=1:100-500 Not yet tested in other applications. |
| 交叉反应 | Human, Rat (Mouse, Dog, Pig, Cow, Rabbit, Sheep) |
| 抗体来源 | Rabbit |
| 免疫原 | KLH conjugated synthetic peptide derived from human IGF I |
| 亚型 | IgG |
| 性状 | Liquid |
| 纯化方法 | affinity purified by Protein A |
| 克隆类型 | Polyclonal |
| 理论分子量 | 7.7/21 kDa |
| 浓度 | 1mg/ml |
| 储存液 | 0.01M TBS (pH7.4) with 1% BSA, 0.02% Proclin300 and 50% Glycerol. |
| 研究领域 | Cancer > Growth factors > Insulin and insulin-like Developmental Biology > Post embryonic development > Aging Developmental Biology > Post embryonic development > Growth hormones Kits/ Lysates/ Other > Kits > ELISA Kits > ELISA Kits > Growth factors and hormones ELISA kits Signal Transduction > Growth Factors/Hormones > Insulin / Insulin-like |
| 亚细胞定位 | Secreted. |
| 相似性 | Belongs to the insulin family. |
| 功能 | The insulin-like growth factors, isolated from plasma, are structurally and functionally related to insulin but have a much higher growth-promoting activity. May be a physiological regulator of [1-14C]-2-deoxy-D-glucose (2DG) transport and glycogen synthesis in osteoblasts. Stimulates glucose transport in rat bone-derived osteoblastic (PyMS) cells and is effective at much lower concentrations than insulin, not only regarding glycogen and DNA synthesis but also with regard to enhancing glucose uptake. |
| 保存条件 | Shipped at 4℃. Store at -20℃ for one year. Avoid repeated freeze/thaw cycles. |
| 注意事项 | This product as supplied is intended for research use only, not for use in human, therapeutic or diagnostic applications. |
| 背景资料 | The protein encoded by this gene is similar to insulin in function and structure and is a member of a family of proteins involved in mediating growth and development. The encoded protein is processed from a precursor, bound by a specific receptor, and secreted. Defects in this gene are a cause of insulin-like growth factor I deficiency. Several transcript variants encoding different isoforms have been found for this gene.[provided by RefSeq, Mar 2009] |
| 应用 | 推荐稀释比例 |
| {WB} | {1:500-2000} |
| {IHC-P} | {1:100-500} |
| {IHC-F} | {1:100-500} |
| {IF} | {1:100-500} |

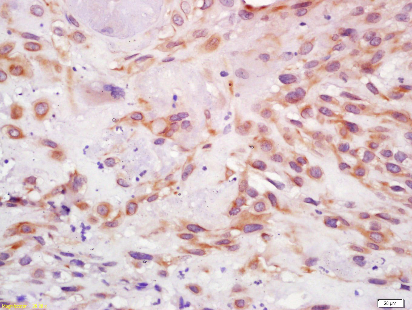
Antigen retrieval: citrate buffer ( 0.01M, pH 6.0 ), Boiling bathing for 15min; Block endogenous peroxidase by 3% Hydrogen peroxide for 30min; Blocking buffer (normal goat serum,C-0005) at 37℃ for 20 min;
Incubation: Anti-IGF I Polyclonal Antibody, Unconjugated(bs-4588R) 1:200, overnight at 4°C, followed by conjugation to the secondary antibody(SP-0023) and DAB(C-0010) staining


风险提示:丁香通仅作为第三方平台,为商家信息发布提供平台空间。用户咨询产品时请注意保护个人信息及财产安全,合理判断,谨慎选购商品,商家和用户对交易行为负责。对于医疗器械类产品,请先查证核实企业经营资质和医疗器械产品注册证情况。
文献和实验[IF={{ 8.2 }}] {Andy W.C. Man. et al. L-Citrulline Improves IGF-1 Signaling Pathway in Preeclampsia via Polyamines. HYPERTENSION. 2025 六月 02} {WB,IHC} {Human,Rat}
[IF={{ 5.2 }}] {Kaur Prabhsimran. et al. Dapagliflozin Ameliorate Type-2 Diabetes Associated Neuropathy via Regulation of IGF-1R Signaling. J NEUROIMMUNE PHARM. 2025 Dec;20(1):1-21} {WB} {Rat}
[IF={{ 4.077 }}] {Pian Gong. et al. The neuroprotective effects of Insulin-Like Growth Factor 1 via the Hippo/YAP signaling pathway are mediated by the PI3K/AKT cascade following cerebral ischemia/reperfusion injury. Brain Res Bull. 2021 Oct;:} {WB} {Rat}
[IF={{ 4 }}] {Yang-Li Ye. et al. GLP-2 Ameliorates D-galactose Induced Muscle Aging by IGF-1/Pi3k/Akt/FoxO3a Signaling Pathway in C2C12 Cells and Mice. ARCH GERONTOL GERIAT. 2024 Apr;:105462} {WB} {Mouse}
[IF={{ 3.3 }}] {Smith Zachary K. et al. Temperature Fluctuations Modulate Molecular Mechanisms in Skeletal Muscle and Influence Growth Potential in Beef Steers. J ANIM SCI. 2023 Oct;:} {WB} {Cattle}
技术资料暂无技术资料 索取技术资料





