相关产品推荐更多 >
万千商家帮你免费找货
0 人在求购买到急需产品
- 详细信息
- 文献和实验
- 技术资料
- 应用范围:
产品信息以Bioss网站为准
- 规格:
50ul/100ul/200ul
| 规格: | 50ul | 产品价格: | ¥1180.0 |
|---|---|---|---|
| 规格: | 100ul | 产品价格: | ¥1980.0 |
| 规格: | 200ul | 产品价格: | ¥2800.0 |
| 产品编号 | bs-1992R |
| 英文名称 | MTOR Rabbit pAb |
| 中文名称 | 雷帕霉素靶蛋白抗体 |
| 英文别名 | FKBP12; dJ576K7.1(FK506 binding protein 12 rapamycin associated protein 1); FK506 binding protein 12 rapamycin associated protein 1; FK506 binding protein 12 rapamycin associated protein 2; FK506 binding protein 12 rapamycin complex associated protein 1; FK506 binding protein12-rapamycin associated protein 1; FK506 binding protein12-rapamycin associated protein 2; FK506-binding protein 12-rapamycin complex-associated protein 1; FKBP rapamycin associated protein; FKBP12 rapamycin complex associated protein; FKBP12-rapamycin complex-associated protein; FLJ44809; FRAP; FRAP1; FRAP2; Mammalian target of rapamycin; Mechanistic target of rapamycin; mTOR; MTOR_HUMAN; OTTHUMP00000001983; RAFT1; Rapamycin and FKBP12 target 1; Rapamycin associated protein FRAP2; Rapamycin target protein 1; Rapamycin target protein; RAPT1; Serine/threonine-protein kinase mTOR. |
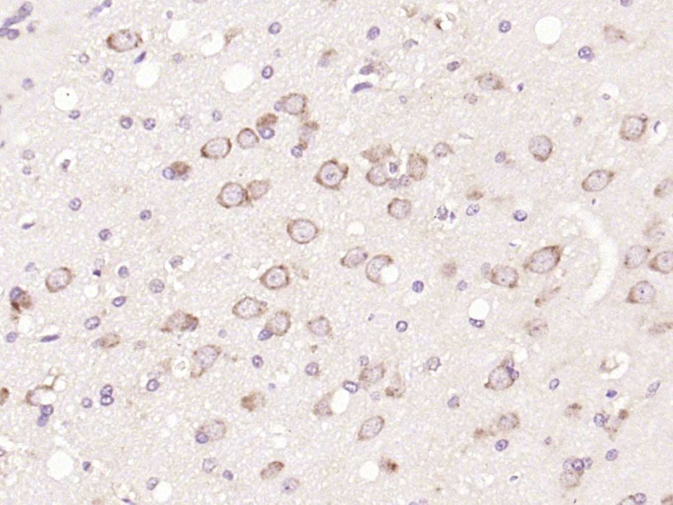
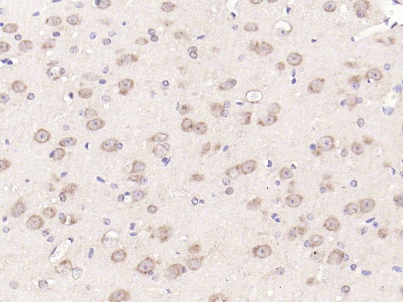
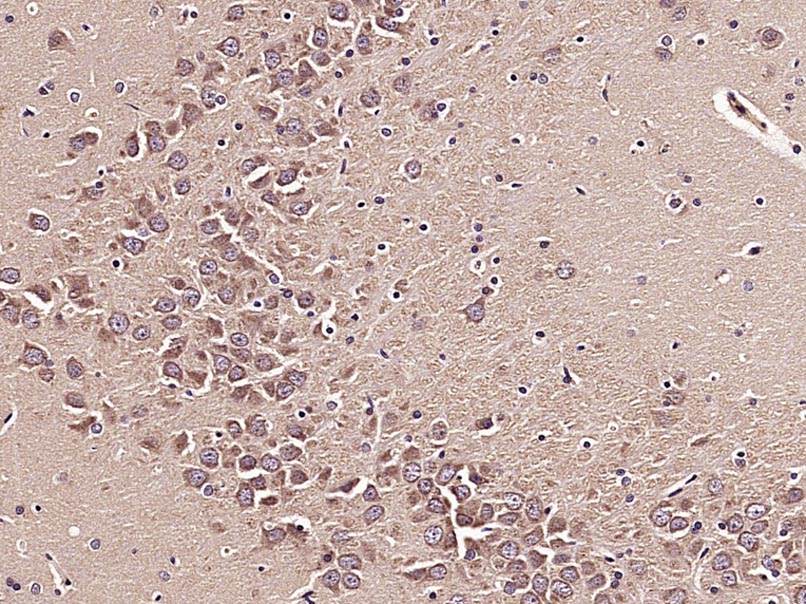
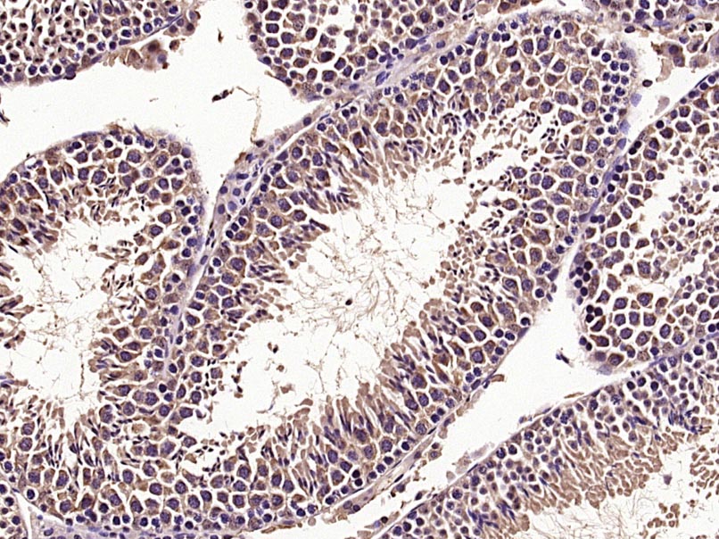
| 产品应用 | WB=1:500-2000, IHC-P=1:100-500, IHC-F=1:100-500, ICC/IF=1:100-500, IF=1:100-500, Flow-Cyt=1μg /test Not yet tested in other applications. |
| 交叉反应 | Human, Mouse, Rat (Chicken, Dog, Cow, Horse, Rabbit, Sheep, Goat) |
| 抗体来源 | Rabbit |
| 免疫原 | KLH conjugated synthetic peptide derived from human mTOR |
| 亚型 | IgG |
| 性状 | Liquid |
| 纯化方法 | affinity purified by Protein A |
| 克隆类型 | Polyclonal |
| 理论分子量 | 289 kDa |
| 浓度 | 1mg/ml |
| 储存液 | 0.01M TBS (pH7.4) with 1% BSA, 0.02% Proclin300 and 50% Glycerol. |
| 研究领域 | Cancer > Cell cycle > Cell cycle inhibitors Cardiovascular > Heart > Cardiogenesis > Transcription factors/regulators Cell Biology > Cell Cycle > Cell Cycle Inhibitors Epigenetics and Nuclear Signaling > DNA / RNA > DNA Damage & Repair > DNA Damage Response > DNA Damage Recognition Kits/ Lysates/ Other > Kits > ELISA Kits > ELISA Kits > Growth factors and hormones ELISA kits Metabolism > Types of disease > Obesity |
| 亚基 | Part of the mammalian target of rapamycin complex 1 (mTORC1) which contains MTOR, MLST8, RPTOR, AKT1S1/PRAS40 and DEPTOR. Part of the mammalian target of rapamycin complex 2 (mTORC2) which contains MTOR, MLST8, PRR5, RICTOR, MAPKAP1 and DEPTOR. Interacts with PPAPDC3 and PML (By similarity). Interacts with PRR5 and RICTOR; the interaction is direct within the mTORC2 complex (By similarity). Interacts with UBQLN1 (By similarity). Interacts with TTI1 and TELO2 (By similarity). Interacts with CLIP1; phosphorylates and regulates CLIP1 (By similarity). |
| 亚细胞定位 | Endoplasmic reticulum membrane; Peripheral membrane protein; Cytoplasmic side. Golgi apparatus membrane; Peripheral membrane protein; Cytoplasmic side. Mitochondrion outer membrane; Peripheral membrane protein; Cytoplasmic side. Lysosome. Cytoplasm (By similarity). Nucleus, PML body (By similarity). Note=Shuttles between cytoplasm and nucleus. Accumulates in the nucleus in response to hypoxia (By similarity). Targeting to lysosomes depends on amino acid availability and RRAGA and RRAGB. |
| 组织特异性 | Expressed in numerous tissues, with highest levels in testis. |
| 翻译后修饰 | Phosphorylated. Autophosphorylates when part of mTORC1 or mTORC2. Phosphorylation at Ser-1261 promotes autophosphorylation. |
| 相似性 | Belongs to the PI3/PI4-kinase family. Contains 1 FAT domain. Contains 1 FATC domain. Contains 7 HEAT repeats. Contains 1 PI3K/PI4K domain. |
| 功能 | Serine/threonine protein kinase which is a central regulator of cellular metabolism, growth and survival in response to hormones, growth factors, nutrients, energy and stress signals. Functions as part of 2 structurally and functionally distinct signaling complexes mTORC1 and mTORC2 (mTOR complex 1 and 2). Activated mTORC1 up-regulates protein synthesis by phosphorylating key regulators of mRNA translation and ribosome synthesis. This includes phosphorylation of EIF4EBP1 and release of its inhibition toward the elongation initiation factor 4E (eiF4E). Moreover, phosphorylates and activates RPS6KB1 and RPS6KB2 that promote protein synthesis by modulating the activity of their downstream targets including ribosomal protein S6, eukaryotic translation initiation factor EIF4B and the inhibitor of translation initiation PDCD4. Regulates ribosome synthesis by activating RNA polymerase III-dependent transcription through phosphorylation and inhibition of MAF1 a RNA polymerase III-repressor. In parallel to protein synthesis, also regulates lipid synthesis through SREBF1/SREBP1 and LPIN1. To maintain energy homeostasis mTORC1 may also regulate mitochondrial biogenesis through regulation of PPARGC1A. mTORC1 also negatively regulates autophagy through phosphorylation of ULK1. Under nutrient sufficiency, phosphorylates ULK1 at 'Ser-758', disrupting the interaction with AMPK and preventing activation of ULK1. Also prevents autophagy through phosphorylation of the autophagy inhibitor DAP. mTORC1 exerts a feedback control on upstream growth factor signaling that includes phosphorylation and activation of GRB10 a INSR-dependent signaling suppressor. Among other potential targets mTORC1 may phosphorylate CLIP1 and regulate microtubules. As part of the mTORC2 complex MTOR may regulate other cellular processes including survival and organization of the cytoskeleton. Plays a critical role in the phosphorylation at 'Ser-473' of AKT1, a pro-survival effector of phosphoinositide 3-kinase, facilitating its activation by PDK1. mTORC2 may regulate the actin cytoskeleton, through phosphorylation of PRKCA, PXN and activation of the Rho-type guanine nucleotide exchange factors RHOA and RAC1A or RAC1B. mTORC2 also regulates the phosphorylation of SGK1 at 'Ser-422'. |
| 保存条件 | Shipped at 4℃. Store at -20℃ for one year. Avoid repeated freeze/thaw cycles. |
| 注意事项 | This product as supplied is intended for research use only, not for use in human, therapeutic or diagnostic applications. |
| 背景资料 | mTOR is one of a family of proteins involved in cell cycle progression, DNA recombination, and DNA damage detection. In rat, it is a 289-kDa protein (symbolized RAFT1) with significant homology to the Saccharomyces cerevisiae protein TOR1 and has been shown to associate with the immunophilin FKBP12 in a rapamycin dependent fashion. The FKBP12-rapamycin complex is known to inhibit progression through the G1 cell cycle stage by interfering with mitogenic signaling pathways involved in G1 progression in several cell types, as well as in yeast. The binding of FRAP to FKBP12-rapamycin correlated with the ability of these ligands to inhibit cell cycle progression. |
| 应用 | 推荐稀释比例 |
| {WB} | {1:500-2000} |
| {IHC-P} | {1:100-500} |
| {IHC-F} | {1:100-500} |
| {ICC/IF} | {1:100-500} |
| {IF} | {1:100-500} |
| {Flow-Cyt} | {1μg /test} |


Primary Antibody (green line): Rabbit Anti-MOTR antibody (bs-1992R), Dilution: 1μg /10^6 cells.
Isotype Control Antibody (orange line): Rabbit IgG.
Secondary Antibody (white blue line): Goat anti-rabbit IgG-FITC, Dilution: 1μg /test.






风险提示:丁香通仅作为第三方平台,为商家信息发布提供平台空间。用户咨询产品时请注意保护个人信息及财产安全,合理判断,谨慎选购商品,商家和用户对交易行为负责。对于医疗器械类产品,请先查证核实企业经营资质和医疗器械产品注册证情况。
文献和实验[IF={{ 8.886 }}] {Bolin Cai. et al. LncEDCH1 improves mitochondrial function to reduce muscle atrophy by interacting with sarcoplasmic/endoplasmic reticulum calcium ATPase 2. Mol Ther-Nucl Acids. 2021 Dec;:} {WB} {Chicken}
[IF={{ 8.469 }}] {Cai, Bolin. et al. Long noncoding RNA ZFP36L2-AS functions as a metabolic modulator to regulate muscle development. CELL DEATH DIS. 2022 Apr;13(4):1-12} {WB} {Chicken}
[IF={{ 7.666 }}] {Jinhui Ma. et al. Extracellular Vesicles from BMSCs Prevent Glucocorticoid-Induced BMECs Injury by Regulating Autophagy via the PI3K/Akt/mTOR Pathway. CELLS-BASEL. 2022 Jan;11(13):2104} {WB} {Mouse}
[IF={{ 7.65 }}] {Wang Y et al. Targeting the miR-122/PKM2 autophagy axis relieves arsenic stress。 Journal of Hazardous Materials. 2019 Sep.} {WB} {Chicken}
[IF={{ 7.561 }}] {Qihong Zhang. et al. ACSL1 Inhibits ALV-J Replication by IFN-Ⅰ Signaling and PI3K/Akt Pathway. Front Immunol. 2021; 12: 774323} {WB} {Chicken}
= NAL), appears to form upon oxidative cyclization of the nonfluorescent 2:1 lysine-HNE Michael adduct-Schiff base cross-link (Scheme 1). Polyclonal antibody (PAb) to the NAL-HNE fluorophore was raised in rabbit and found to be highly specific
[J]. EMBO J, 1992,11(11):3887-2895. [2] Okazaki T, Wang J. PD-1/PD-L pathway and autoimmunity [J].Autoimmunity, 2005,38(5):353-357. [3] Okudaira K, Hokari R, Tsuzuki Y, et al. Blockade of B7-H1 or B7-DC induces an anti-tumor effect in a mouse
Making antibodies to synthetic pepti
at once. We shave the upper back of the rabbit prior to immunization. We tend to use 1 mg of peptide per immunization (3-5 intradermal sites at each immunization), and re-immunize at 2-6 week intervals. Intradermal (intracutaneous) means: raise a wheal (inject
技术资料暂无技术资料 索取技术资料









