万千商家帮你免费找货
0 人在求购买到急需产品
- 详细信息
- 询价记录
- 文献和实验
- 技术资料
- 服务名称:
EVG染色
- 提供商:
晶莱生物
- 规格:
样本
EVG染色实验简介:
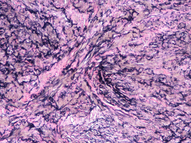
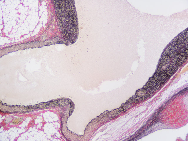
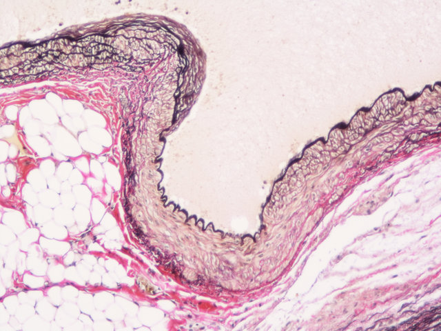
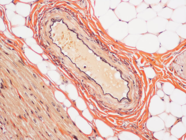
EVG染色方法能显示黑色弹性纤维与红色胶原纤维,一些弹性组织萎缩的肺气肿病例、动脉粥样硬化的弹性纤维变薄和缺失及其他血管疾病均可使用此方法进行鉴别。
EVG染色实验意义:
(1)可用于区别正常的动脉和静脉以及观察动脉有病变时血管壁各层的情况,如动脉粥样硬化时的各类变化。
(2)可用于区别观察各种疾病对弹性纤维的影响及变化,如原发性或继发性高血压可见主动脉弹力纤维增生,老年弹力纤维增多症。心内膜弹力纤维增生症常都可见到弹力纤维断裂,梅毒性主动脉炎和皮肤的环状肉芽肿,动脉粥样硬化均可见到裂解,崩解的弹力纤维。
(3)可用于弹力纤维性瘤的诊断,弹力纤维染色可见瘤样病变内有大量弹力纤维增生,非真性肿瘤。
EVG染色实验步骤:
(2)切片脱蜡至水。
(3)用配好的Verhoeff's染液温室染1-3 min,至颜色呈深黑色。
(4)自来水冲洗,2%三.氯.化.铁溶液分化10-20s,显微镜观察弹性纤维呈黑色,背景呈灰色。
(5)自来水洗,蒸馏水稍洗;Van Gieson's液复染10-15 s,无水乙醇洗。
(6)无水乙醇脱水,二甲苯透明,中性树胶封固。
EVG染色实验结果:
弹性纤维呈蓝黑色;胶原纤维呈红色;背景呈淡黄色。
EVG染色实验技巧:
1、10%的三.氯.化.铁时间长了容易有沉淀产生,使用前请混匀后再配制。
2、Verhoeff's染液和Van Gieson's染液要使用前新鲜配制,如用不完请弃掉。
3、2%三.氯.化.铁溶液分化时要在显微镜下控制分化程度。
4、Vn Gieson's染液复染时间不能过长,无水乙醇分化的时间不能过长。
EVG染色样片参考:



EVG复染

EVG-VG复染

EVG-丽春红复染
晶莱生物病理类实验服务总览表
| 类别 | 服务项目 | 备注 | 说明 |
| 制 片 前 处 理 |
石蜡包埋 | 包埋1块 | 固定后组织按客户要求取材,脱水,包埋成蜡块(进口石蜡) |
| 特殊包埋(细胞、材料、眼球等) | 包埋1块 | 包埋要求难度较高(含特殊位置取材) | |
| 石蜡组织芯片 | 阵列点位包埋 | 客户提供供体蜡块及标本信息 | |
| 软化(肝硬化、皮肤结痂、植物等) | 1块标本软化 | 较为坚硬组织软化处理 | |
| 骨组织脱钙(小) | 1块标本脱钙 | 最大面≤2cm²骨组织脱钙 | |
| 骨组织脱钙(大) | 1块标本脱钙 | 最大面>2cm²骨组织脱钙 | |
| 骨组织EDTA脱钙(小) | 1块标本脱钙 | 最大面≤2cm²骨组织EDTA脱钙 | |
| 骨组织EDTA脱钙(大) | 1块标本脱钙 | 最大面>2cm²骨组织EDTA脱钙 | |
| 石蜡白片 | 石蜡白片1片 | 组织防脱载玻片石蜡白片 | |
| 冰冻组织制备 | 冰冻包埋及前处理 | 4%多.聚.甲.醛固定的组织或OCT包裹的新鲜组织(-80℃或液氮内保存,干冰运输) | |
| 冰冻切片 | 冰冻组织切片1片 | 同一组织连续切片3张以上免制备费 | |
| 染 色 |
HE染色 | 染色含切片 | 苏木.精-伊红染色法,观察组织形态 |
| 油红O染色 | 染色含冰冻切片 | 4%多.聚.甲.醛固定,冰冻切片。对组织内脂质(如脂滴)染色 | |
| 番红O固绿染色 | 染色含切片 | 常用于植物、软骨组织形态染色 | |
| Masson染色 | 染色含切片 | 观察组织纤维化和肌纤维的鉴别及组织纤维化程度 | |
| 天狼猩红染色 | 染色含切片 | 观察组织纤维化程度,及偏振光进行胶原亚型的分区 | |
| PAS糖原染色 | 染色含切片 | 观察肝脏、肌肉等组织内糖原的变化;肠胃肺支气管等杯状细胞酸性粘液物质变化 | |
| 阿利新蓝染色 | 染色含切片 | 常用于软骨组织或早幼粒细胞、巨核细胞染色 | |
| 甲苯.胺蓝染色 | 染色含切片 | 观察软骨组织形态或组织内肥大细胞的数量及分布 | |
| 尼氏染色 | 染色含切片 | 观察脑或脊髓等中枢神经系统内神经元尼氏体的变化 | |
| LFB髓鞘染色 | 染色含切片 | 观察神经髓鞘的形态及变化 | |
| 普鲁士蓝染色 | 染色含切片 | 常用于吞噬细胞内铁粒子的含量和定位 | |
| VG染色 | 染色含切片 | 显示组织胶原纤维及肌纤维的形态及变化 | |
| EVG染色 | 染色含切片 | 观察血管弹性纤维的形态及变化 | |
| VonKossa染色 | 染色含切片 | 观察组织内病理性钙沉积情况 | |
| 刚果红染色 | 染色含切片 | 一般用于组织淀粉样变染色 | |
| 维多利亚蓝染色 | 染色含切片 | 用于弹力纤维染色 | |
| 免疫 组化 |
免疫组化预式 | 染色含切片 | 试两个一抗浓度后拍照 |
| 免疫组化正式 | 染色含切片 | 客户提供一抗,常用二抗公司提供 | |
| 免疫组化芯片 | 染色含切片 | 免疫组化组织芯片染色 | |
| 免疫荧光(石蜡-单标) | 染色含切片和拍照 | 需实验前商定拍照倍数及视野 | |
| 免疫荧光(石蜡-双标) | 染色含切片和拍照 | 需实验前商定拍照倍数及视野 | |
| 免疫荧光(冰冻-单标) | 染色含冰冻切片和拍照 | 需实验前商定拍照倍数及视野 | |
| 免疫荧光(冰冻-双标) | 染色含冰冻切片和拍照 | 需实验前商定拍照倍数及视野 | |
| 抗体代购 | 详情请咨询工作人员 | ||
| Tunel | Tunel(POD自带试剂盒) | 染色含切片 | 细胞凋亡染色,客户需提供Tunel试剂盒 |
| Tunel(公司提供试剂盒) | 细胞凋亡染色,公司提供罗氏POD Tunel试剂盒 | ||
| 凋亡试剂盒代购 | 染色含切片 | 详情请咨询工作人员 |
晶莱病理实验室:长沙实验室;北京实验室;提前预约免费上门取样!
更多病理学实验服务内容详情请咨询晶莱生物!
晶莱生物服务流程
收费标准/服务周期/提供结果:
欢迎咨询详谈,我们会根据您的方案及需求制定详细的服务协议。
更多实验技术服务请浏览网站其他内容,或来电咨询!
做实验,找晶莱!您的科研生涯,我们一路相伴!
【平台项目开展范围】慢病毒,腺病毒,RNAi类,分子生物实验,病理实验,免疫学实验,细胞实验,动物实验,蛋白组学实验,芯片类实验,并为广大客户朋友们提供课题设计指导、基金申请指导等服务。
【北京公司】北京经济技术开发区科创十三街12号院德为科技园1号楼5层
【长沙公司】长沙市高新区麓谷大道627号新长海中心A1-1203室
【晶莱生物】已开展了数千个实验外包项目。我们专注于医学课题研究,已从课题申请、方案设计、试剂采购、模型构造、标本检测、数据分析,各个环节积累了数千个成功案例经验,为数千个来自临床的科研工作者解决了大量的科研问题。更多相关实验服务信息请咨询晶莱生物
风险提示:丁香通仅作为第三方平台,为商家信息发布提供平台空间。用户咨询产品时请注意保护个人信息及财产安全,合理判断,谨慎选购商品,商家和用户对交易行为负责。对于医疗器械类产品,请先查证核实企业经营资质和医疗器械产品注册证情况。
- 作者
- 内容
- 询问日期
文献和实验1. Bring sections to water. 2. Acidified potassium permanganate 2 minutes 3. Wash in water 4. 1% Oxalic acid 1 minute 5 Wash in water 6. Wash in 70% alcohol (optional) 7. Stain in Weigerts Resorcin Fuchsin at room temperature
ELASTIC VAN GIESON (EVG) 1. Bring sections to water. 2. Acidified potassium permanganate 2 minutes 3. Wash in water 4. 1% Oxalic acid 1 minute 5 Wash in water 6. Wash in 70% alcohol
HE&尼式染色.pdf
技术资料暂无技术资料 索取技术资料










