万千商家帮你免费找货
0 人在求购买到急需产品
- 详细信息
- 文献和实验
- 技术资料
- 提供商:
晶莱生物
- 服务名称:
movat五色染色
- 规格:
切片
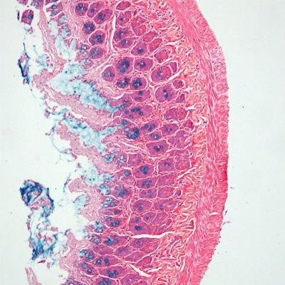
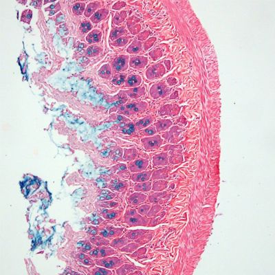
Russell 改良 Movat 五色套染以其染色丰富、鲜艳而大受欢迎。该染色法主要用于显示动脉粥样硬化斑块。Weigert 苏木素用于染细胞核,藏红品红用于染细胞质,藏红花染胶原组织,阿尔辛蓝染基质(蛋白聚糖)。由于该试剂盒操作过程复杂,其染色效果跟操作者经验和数量程度有很大关系,所以同时染出十分满意的结果并不容易。
操作步骤(仅供参考):
1、 石蜡切片常规脱蜡。
2、 系列乙醇水化。
3、 取适量 Bouin 固定液放入微波炉中,中度加热 30~60s, 立即放入切片处理 10min。
4、 流水冲洗 10min。
5、 切片入海波溶液处理 5min, 蒸馏水冲洗 2~3 次。
6、 切片入阿利新蓝染色液中染色 20min。
7、 流水冲洗 2~5min。
8、 用微波炉强火 45~60℃预热碱性乙醇溶液后, 将切片入碱性乙醇溶液中处理 10min。
8、 流水冲洗 2~5 min。
9、 切片入预先配制好的试剂(D)-Weigert 苏木素染色液中, 避光染色 60min。
10、流水稍冲洗, 蒸馏水冲洗 2~3 次, 每次 3~5min。
11、切片入预先配制好的试剂(E)-藏红品红染色液中, 避光染色 1 min。
12、蒸馏水冲洗 2~3 次, 每次 3~5min。
13、将切片入磷钨酸溶液中处理 5min。
14、直接转入弱酸分化液中处理 5min。
15、蒸馏水冲洗 2~3 次, 每次 3~5min。
16、脱水: 95%乙醇 1min, 100%乙醇 2 次, 每次 1min。
17、将切片入藏红花染色液中,染色 5min。
18、脱水: 无水乙醇 2 次, 每次 1 min。
19、二甲苯透明, 覆盖玻片。
染色结果:
| 细胞核和弹力纤维 | 黑色 |
| 胶原蛋白和网状纤维 | 黄色 |
| 蛋白聚糖 | 蓝绿色 |
| 类纤维素、纤维素 | 深红色 |
| 心肌平滑肌 | 红色 |
| 泡沫细胞 | 紫色 |
注意事项:
1、 由于染色力以及组织切片等原因,染色后未必显示出全部五种颜色。
2、 切片厚度一般要求 5mm 左右 。
3、 弹力纤维分化通常在 2~3min 内完成 。
4、 流水冲洗以除去 Weigert 苏木素染色液非常重要,若冲洗失败会抑制后续的染色步骤。
5、 操作步骤多繁琐,染色时间常易脱片,注意预先做防脱片处理。
6、 这种染色法可显示新型隐球菌,将其染成亮蓝色。
7、 为了您的安全和健康,请穿实验服并戴一次性手套操作。
晶莱生物服务流程

收费标准/服务周期/提供结果:
欢迎咨询详谈,我们会根据您的方案及需求制定详细的服务协议。
更多实验技术服务请浏览网站其他内容,或来电咨询!
做实验,找晶莱!您的科研生涯,我们一路相伴!
【平台项目开展范围】慢病毒,腺病毒,RNAi类,分子生物实验,病理实验,免疫学实验,细胞实验,动物实验,蛋白组学实验,芯片类实验,并为广大客户朋友们提供课题设计指导、基金申请指导等服务。
【北京公司】北京经济技术开发区科创十三街12号院德为科技园1号楼5层
【长沙公司】长沙市高新区麓谷大道627号新长海中心A1-1203室
【晶莱生物】已开展了数千个实验外包项目。我们专注于医学课题研究,已从课题申请、方案设计、试剂采购、模型构造、标本检测、数据分析,各个环节积累了数千个成功案例经验,为数千个来自临床的科研工作者解决了大量的科研问题。更多相关实验服务信息请咨询晶莱生物
风险提示:丁香通仅作为第三方平台,为商家信息发布提供平台空间。用户咨询产品时请注意保护个人信息及财产安全,合理判断,谨慎选购商品,商家和用户对交易行为负责。对于医疗器械类产品,请先查证核实企业经营资质和医疗器械产品注册证情况。
文献和实验细胞内胶原纤维,神经元纤维缠结,老年斑和树突着上黑色,切片的其他组织及背景呈现金黄色。 movat五色染色 染色 蛋白聚糖呈蓝绿色,弹力纤维和细胞核呈黑色,胶原纤维呈红色,肌纤维呈黄色,泡沫细胞呈紫色。 维多利亚蓝染色 染色 用于弹力纤维染色
,嘌呤碱基增多,形成的醛基也随之增多,Feulgen反应加强。如果水解时间过长,DNA将完全水解,反而使Feulgen反应减弱。DNA水解时间因组织种类和固定液不同而异,需通过预实验找到合适的水解温度和时间。由于Schiff试剂能与醛基结合,故不能用含醛的固定液固定组织,常用Carnoy固定液。Bouin液不适用于Feulgen反应,因为固定液中含较多的酸,可将DNA水解,影响染色反应。Schiff试剂是显示醛基的特异试剂,其反应原理是碱性品红(为红紫色)经亚硫酸处理后变为五色Schiff液
固定10分钟; 2.蒸馏水洗; 3.60%异丙醇浸洗; 4.1由红O染液10分钟(染液可回收再利用); 5. 60%异丙醇分色至背景五色; 6.蒸馏水洗; 7.Mayer苏木精复染; 8.自来水洗(蓝化)1~3分钟; 9.蒸馏水洗; 10.甘油明胶封片。 结果:组织细胞中脂滴呈橘红色,核呈蓝色。 油红O脂类染色澄 示大鼠脂肪肝中肝细胞内染为红色大脂
技术资料暂无技术资料 索取技术资料










