相关产品推荐更多 >
万千商家帮你免费找货
0 人在求购买到急需产品
- 详细信息
- 文献和实验
- 技术资料
- 免疫原:
Synthesized peptide of human alpha Smooth Muscle Actin.
- 亚型:
IgG1
- 形态:
Liquid
- 保存条件:
Store as concentrated solution. Centrifuge briefly prior to opening vial. For short-term storage (1-2 weeks), store at 4ºC. For long-term storage, aliquot and store at -20ºC or below. Avoid multiple freeze-thaw cycles.
- 克隆性:
Monoclonal
- 标记物:
Unconjugated
- 适应物种:
Human, Mouse, Rat, Monkey
- 保质期:
12 months from the shipping date of the product.
- 抗原来源:
Human
- 目录编号:
GTX60466
- 级别:
Primary Antibodies
- 库存:
Available
- 供应商:
GeneTex
- 宿主:
Mouse
- 应用范围:
WB, ICC/IF, IHC-P, FACS, ELISA
- 靶点:
alpha Smooth Muscle Actin
- 抗体英文名:
alpha Smooth Muscle Actin antibody [4A4]
- 抗体名:
alpha Smooth Muscle Actin 抗体 [4A4]
- 规格:
100 μl
ELISA analysis of antigen using GTX60466 alpha Smooth Muscle Actin antibody [4A4].
Red : Control antigen 100ng
Purple : Antigen 10ng
Green : Antigen 50ng
Blue : Antigen 100ng
FACS analysis of HeLa cells using GTX60466 alpha Smooth Muscle Actin antibody [4A4].
Green : alpha Smooth Muscle Actin
Purple : negative control
WB analysis of HeLa (1), A431 (2), Jurkat (3), K562 (4), HEK293 (5), HepG2 (6), NIH3T3 (7), PC-12 (8) and Cos7 (9) cell lysate using GTX60466 alpha Smooth Muscle Actin antibody [4A4].
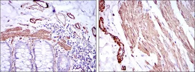
IHC-P analysis of human duodenum tissue (left) and human esophagus tissue (right) using GTX60466 alpha Smooth Muscle Actin antibody [4A4].
ICC/IF analysis of HepG2 cells using GTX60466 alpha Smooth Muscle Actin antibody [4A4].
Green : alpha Smooth Muscle Actin
Blue: DRAQ5 fluorescent DNA dye
Red: Actin filaments
风险提示:丁香通仅作为第三方平台,为商家信息发布提供平台空间。用户咨询产品时请注意保护个人信息及财产安全,合理判断,谨慎选购商品,商家和用户对交易行为负责。对于医疗器械类产品,请先查证核实企业经营资质和医疗器械产品注册证情况。
文献和实验Nguyen QH et al., Nat Commun 2018 (PMID:29795293)
by reaction with alkaline phosphatase-conjugated goat anti-mouse secondary antibody. Choose the actin pool broadly, however, consider also checking the column fractions by dot blot with mAB 3F2 to identify capping protein. Pool the actin fractions
Isolation and Culture of Human Airway Smooth Muscle Cells
doublings and express smooth muscle cell-specific markers such as myosin heavy chain, myosin light chain kinase, α-actin, caldesmon, and SM22α . In addition, the synthetic function of these cells appears to be comparable to those studied in vivo
Fluorescence Procedures for the Actin and Tubulin Cytoskeleton in Fixed Cells
and sensitive to changes in both the chemical and mechanical environment. Optimal conditions for fluorescence of proteins of the actin and tubulin cytoskeleton are based on: preserving cell structure; properties of individual cytoskeletal proteins
技术资料暂无技术资料 索取技术资料






![DDX59 antibody [N3C2], Internal](https://img1.dxycdn.com/2022/0328/928/3939496099763300453-14.jpg!wh200)


![ACE2 antibody [MSVA-919R] HistoMAX](https://custom.dxycdn.com/trademd/upload/pic/2013/11/12/A1383891150.jpg!small.t.1)

