相关产品推荐更多 >
万千商家帮你免费找货
0 人在求购买到急需产品
- 详细信息
- 文献和实验
- 技术资料
- 供应商:
上海康朗生物科技有限公司
- 库存:
大量
- 目录编号:
kl-10196R
- 克隆性:
多克隆
- 抗原来源:
Rabbit
- 保质期:
12个月
- 抗体英文名:
alpha smooth muscle Actin antibody
- 抗体名:
肌动蛋白α/α-SMA/α Actin抗体
- 宿主:
Rabbit
- 适应物种:
Human, Mouse, Rat, Rabbit,
- 免疫原:
KLH conjugated synthetic peptide derived from human alpha-SMA:165-260/377
- 亚型:
IgG
- 形态:
冻干粉或液体
- 应用范围:
WB=1:5000-20000 ELISA=1:500-1000 IHC-P=1:400-800 IHC-F=1:400-800 Flow-Cyt=1μg/Test ICC=1:100-500 IF=1:100-500
- 浓度:
1mg/ml
- 保存条件:
-20 °C
- 规格:
50ul 100ul 200ul
| 中文名称 | 肌动蛋白α/α-SMA/α Actin抗体 |
| 别 名 | alpha sarcomeric Actin; alpha smooth muscle Actin; Actin alpha; ASMA; ASM-A; alpha-SMA; alpha SMA; AAT6; ACTA2; Actin alpha 2 smooth muscle aorta; Actin aortic smooth muscle; ACTSA; ACTVS; Alpha 2 actin; Alpha cardiac actin; Alpha-actin 2; Cell growth inhibiting gene 46 protein; Growth inhibiting gene 46; ACTA_HUMAN; Actin alpha 2 smooth muscle aorta; Actin aortic smooth muscle; Actin, aortic smooth muscle; Alpha 2 actin; Alpha actin 2; Alpha cardiac actin; Alpha-actin 2; Alpha-actin-2; Cell growth inhibiting gene 46 protein; Cell growth-inhibiting gene 46 protein; Growth inhibiting gene 46; MYMY5 α-Smooth Muscle Actin; α Smooth Muscle Actin; |
![]() |
Specific References (6) | bs-10196R has been referenced in 6 publications. [IF=2.16] Xu, Liang, et al. "Total polysaccharide of Yupingfeng protects against bleomycin‐induced pulmonary fibrosis via inhibiting transforming growth factor‐β1‐mediated type I collagen abnormal deposition in rats." Journal of Pharmacy and Pharmacology (2014). IHC-P ; Rat. PubMed:25209833 [IF=2.88] Li, Liucheng, et al. "Total extract of Yupingfeng attenuates bleomycin-induced pulmonary fibrosis in rats." Phytomedicine 22.1 (2015): 111-119. WB ; Rat. PubMed:25636879 [IF=1.86] Qiao, Xi, et al. "Intermedin is upregulated and attenuates renal fibrosis by inhibition of oxidative stress in rats with unilateral ureteral obstruction."Nephrology (2015). IHC-P ; Rat. PubMed:26014968 [IF=1.72] Yan, Xuerui, et al. "Cyanidin-3-O-glucoside Induces Apoptosis and Inhibits Migration of Tumor Necrosis Factor-α-Treated Rat Aortic Smooth Muscle Cells." Cardiovascular Toxicology (2015): 1-9. Rat. PubMed:26138096 [IF=2.91] Pang, X-X., et al. "Urotensin II Induces ER Stress and EMT and Increase Extracellular Matrix Production in Renal Tubular Epithelial Cell in Early Diabetic Mice." Kidney and Blood Pressure Research 41.4 (2016): 434-449. WB, IHC-P ; Mouse. PubMed:27467277 [IF=2.55] Shen, Haitao, et al. "Chloroquine attenuates paraquat-induced lung injury in mice by altering inflammation, oxidative stress and fibrosis." International Immunopharmacology 46 (2017): 16-22. IHC-P ; Mouse. PubMed:28249220 |
| 规格价格 | 50ul/580元 购买 100ul/920元 购买 200ul/1600元 购买 大包装/询价 |
| 说 明 书 | 50ul 100ul 200ul |
| 研究领域 | 肿瘤 细胞生物 免疫学 细胞骨架 |
| 抗体来源 | Rabbit |
| 克隆类型 | Polyclonal |
| 交叉反应 | Human, Mouse, Rat, Rabbit, |
| 产品应用 | WB=1:5000-20000 ELISA=1:500-1000 IHC-P=1:400-800 IHC-F=1:400-800 Flow-Cyt=1μg/Test ICC=1:100-500 IF=1:100-500 (石蜡切片需做抗原修复) not yet tested in other applications. optimal dilutions/concentrations should be determined by the end user. |
| 分 子 量 | 42kDa |
| 细胞定位 | 细胞浆 |
| 性 状 | Lyophilized or Liquid |
| 浓 度 | 1mg/ml |
| 免 疫 原 | KLH conjugated synthetic peptide derived from human alpha-SMA:165-260/377 |
| 亚 型 | IgG |
| 纯化方法 | affinity purified by Protein A |
| 储 存 液 | 0.01M TBS(pH7.4) with 1% BSA, 0.03% Proclin300 and 50% Glycerol. |
| 保存条件 | Store at -20 °C for one year. Avoid repeated freeze/thaw cycles. The lyophilized antibody is stable at room temperature for at least one month and for greater than a year when kept at -20°C. When reconstituted in sterile pH 7.4 0.01M PBS or diluent of antibody the antibody is stable for at least two weeks at 2-4 °C. |
| PubMed | PubMed |
| 产品介绍 | background: All eukaryotic cells express Actin, which often constitutes as much as 50% of total cellular protein. Actin filaments can form both stable and labile structures and are crucial components of microvilli and the contractile apparatus of muscle cells. While lower eukaryotes, such as yeast, have only one Actin gene, higher eukaryotes have several isoforms encoded by a family of genes. At least six types of Actin are present in mammalian tissues and fall into three classes. alpha-Actin expression is limited to various types of muscle, whereas beta- and gamma-Actin are the principle constituents of filaments in other tissues. Members of the small GTPase family regulate the organization of the Actin cytoskeleton. Rho controls the assembly of Actin stress fibers and focal adhesion. Rac regulates Actin filament accumulation at the plasma membrane. Cdc42 stimulates formation of filopodia. Function: Actins are highly conserved proteins that are involved in various types of cell motility and are ubiquitously expressed in all eukaryotic cells. Subunit: Polymerization of globular actin (G-actin) leads to a structural filament (F-actin) in the form of a two-stranded helix. Each actin can bind to 4 others. Subcellular Location: Cytoplasm, cytoskeleton. Post-translational modifications: Oxidation of Met-46 by MICALs (MICAL1, MICAL2 or MICAL3) to form methionine sulfoxide promotes actin filament depolymerization. Methionine sulfoxide is produced stereospecifically, but it is not known whether the (S)-S-oxide or the (R)-S-oxide is produced (By similarity). DISEASE: Defects in ACTA2 are the cause of aortic aneurysm familial thoracic type 6 (AAT6) [MIM:611788]. AATs are characterized by permanent dilation of the thoracic aorta usually due to degenerative changes in the aortic wall. They are primarily associated with a characteristic histologic appearance known as 'medial necrosis' or 'Erdheim cystic medial necrosis' in which there is degeneration and fragmentation of elastic fibers, loss of smooth muscle cells, and an accumulation of basophilic ground substance. Similarity: Belongs to the actin family. SWISS: P68032 Gene ID: 59 Database links: Entrez Gene: 101021287 Baboon Entrez Gene: 515610 Cow Entrez Gene: 59 Human Entrez Gene: 11475 Mouse Entrez Gene: 733615 Pig Entrez Gene: 100009271 Rabbit Entrez Gene: 81633 Rat Omim: 102620 Human SwissProt: P62739 Cow SwissProt: P62736 Human SwissProt: P62737 Mouse SwissProt: P62740 Rabbit SwissProt: P62738 Rat Unigene: 500483 Human Unigene: 213025 Mouse Unigene: 195319 Rat Unigene: 3114 Rat Important Note: This product as supplied is intended for research use only, not for use in human, therapeutic or diagnostic applications. Actin α/α-Actin 是一种具有收缩能力的微丝蛋白,a-SMA广泛分布于几乎所有的肌型细胞中。Actin-α蛋白主要用于检测骨骼肌、平滑肌、血管平滑肌、心肌和肌原性肿瘤 包括:平滑肌瘤、平滑肌肉瘤、横纹肌肉瘤以及肌上细胞和肌上皮瘤。Actin(肌动蛋白)是在所有真核细胞中都表达的高度保守的蛋白质。它们沿微管组成了细胞骨架的主要成分。肌动蛋白至少表达为6种异构形式。它在心脏、骨骼横纹肌组织和某些平滑肌组织中表达,调节其收缩功能。有报导说肌动蛋白在乳房瘤中是高度磷酸化的。肌动蛋白的功能失调也会导致某种类型的心脏病。平滑肌α肌动蛋白使人更感兴趣,因为编码它的基因是相对局限于在血管平滑肌细胞中表达的少数几个基因之一。肌动蛋白是标记平滑肌和肌上皮细胞肿瘤的有效工具。 |
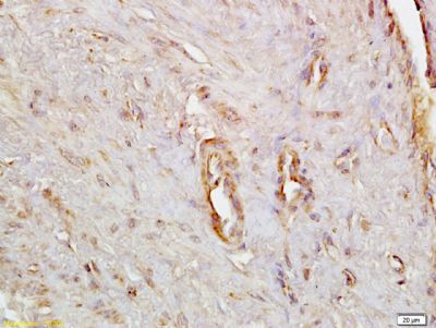
| 产品图片 | ![]() Sample:NIH/3T3(human) Cell Lysate at 40 ug Primary: Anti-alpha smooth muscle Actin (bs-10196R) at 1/300 dilution Secondary: IRDye800CW Goat Anti-Rabbit IgG at 1/20000 dilution Predicted band size: 42 kD Observed band size: 42 kD ![]() Sample: A549 Cell Lysate at 40 ug Hela Cell Lysate at 40 ug A431 Cell Lysate at 40 ug Primary: Anti-alpha smooth muscle Actin (bs-10196R) at 1/300 dilution Secondary: IRDye800CW Goat Anti-Rabbit IgG at 1/20000 dilution Predicted band size: 42 kD Observed band size: 42 kD ![]() Sample: Bone (mouse) Lysate at 40 ug Primary: Anti- alpha smooth muscle (bs-10196R)at 1/300 dilution Secondary: IRDye800CW Goat Anti-Rabbit IgG at 1/20000 dilution Predicted band size: 42kD Observed band size: 47 kD ![]() Sample:Stomach (Mouse) Lysate at 40 ug Primary: Anti-alpha smooth muscle Actin (bs-10196R) at 1/300 dilution Secondary: IRDye800CW Goat Anti-Rabbit IgG at 1/20000 dilution Predicted band size: 42 kD Observed band size: 42 kD ![]() Sample: Spleen (Mouse) Lysate at 40 ug Lung (Mouse) Lysate at 40 ug Cerebrum (Mouse) Lysate at 40 ug Primary: Anti-alpha smooth muscle Actin (bs-10196R) at 1/300 dilution Secondary: IRDye800CW Goat Anti-Rabbit IgG at 1/20000 dilution Predicted band size: 42 kD Observed band size: 42 kD ![]() Paraformaldehyde-fixed, paraffin embedded (Mouse brain); Antigen retrieval by boiling in sodium citrate buffer (pH6.0) for 15min; Block endogenous peroxidase by 3% hydrogen peroxide for 20 minutes; Blocking buffer (normal goat serum) at 37°C for 30min; Antibody incubation with (alpha smooth muscle Actin) Polyclonal Antibody, Unconjugated (bs-10196R) at 1:400 overnight at 4°C, followed by operating according to SP Kit(Rabbit) (sp-0023) instructionsand DAB staining. ![]() Tissue/cell: Human endometrium tissue; 4% Paraformaldehyde-fixed and paraffin-embedded; Antigen retrieval: citrate buffer ( 0.01M, pH 6.0 ), Boiling bathing for 15min; Block endogenous peroxidase by 3% Hydrogen peroxide for 30min; Blocking buffer (normal goat serum,C-0005) at 37℃ for 20 min; Incubation: Anti-Actin α/alpha-SMA Polyclonal Antibody, Unconjugated(bs-10196R) 1:200, overnight at 4°C, followed by conjugation to the secondary antibody(SP-0023) and DAB(C-0010) staining ![]() Blank control (blue line): Hela (fixed with 70% ethanol (Overnight at 4℃) and then permeabilized with 90% ice-cold methanol for 30 min on ice). Primary Antibody (green line): Rabbit Anti-alpha smooth muscle Actin antibody (bs-10196R),Dilution: 1μg /10^6 cells; Isotype Control Antibody (orange line): Rabbit IgG . Secondary Antibody (white blue line): Goat anti-rabbit IgG-FITC,Dilution: 1μg /test. |
风险提示:丁香通仅作为第三方平台,为商家信息发布提供平台空间。用户咨询产品时请注意保护个人信息及财产安全,合理判断,谨慎选购商品,商家和用户对交易行为负责。对于医疗器械类产品,请先查证核实企业经营资质和医疗器械产品注册证情况。
文献和实验by reaction with alkaline phosphatase-conjugated goat anti-mouse secondary antibody. Choose the actin pool broadly, however, consider also checking the column fractions by dot blot with mAB 3F2 to identify capping protein. Pool the actin fractions
Isolation and Culture of Human Airway Smooth Muscle Cells
doublings and express smooth muscle cell-specific markers such as myosin heavy chain, myosin light chain kinase, α-actin, caldesmon, and SM22α . In addition, the synthetic function of these cells appears to be comparable to those studied in vivo
Fluorescence Procedures for the Actin and Tubulin Cytoskeleton in Fixed Cells
and sensitive to changes in both the chemical and mechanical environment. Optimal conditions for fluorescence of proteins of the actin and tubulin cytoskeleton are based on: preserving cell structure; properties of individual cytoskeletal proteins
技术资料暂无技术资料 索取技术资料



















