万千商家帮你免费找货
0 人在求购买到急需产品
- 详细信息
- 文献和实验
- 技术资料
风险提示:丁香通仅作为第三方平台,为商家信息发布提供平台空间。用户咨询产品时请注意保护个人信息及财产安全,合理判断,谨慎选购商品,商家和用户对交易行为负责。对于医疗器械类产品,请先查证核实企业经营资质和医疗器械产品注册证情况。
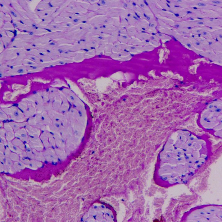
文献和实验PAS染色原理
细胞胞浆中存在糖原或多糖类物质(如糖蛋白、粘多糖、糖脂、粘蛋白等),过典酸能使细胞内的多糖乙二醇基氧化为二醛基,其与Schiff试剂中的无色品红结合后呈现紫红色,沉积在细胞内多糖所在之处。
PAS染色步骤
1、组织石蜡包埋切片后脱蜡至水,蒸馏水洗2min(细胞爬片4%多巨甲醛固定后水洗);
2、滴加过典酸溶液,氧化5min;
3、蒸馏水洗10min;
4、滴加Schiff试剂,侵染10-20min;
5、倾去Schiff 试剂,流水冲洗10min;
6、滴加苏木素染色液,染核1-2min;
7、流水冲洗5min;
8、酸性乙醇分化液分化;
9、Scott反蓝水洗3min;
10、常规透明、封片。
用 途 反应用来显示糖元和其它多糖物质操作步骤1、固定液用Carnoy液或75%酒精 Carnoy固定液: 纯酒精 60 ml 冰醋酸 10ml 氯仿 30ml2、染色液(1) 过碘酸酒清夜配法:过碘酸(HIO .2H O) 0.4g 95% 酒精 35ml M/5醋酸钠(2.72g+蒸馏水100ml) 5ml蒸馏水10ml保存于冰箱内,用棕色瓶,可用两周。(2) Schiff氏液:0.5克碱性品红加入100毫升蒸馏水中,时时摇动三角瓶5分钟,使之充分溶解.冷却至50℃后过滤,加入10
【临床意义】 (1)急性白血病类型的鉴别 红白血病的幼红细胞PAS染色多呈阳性反应,阳性率高,反应强;成熟红细胞有时亦可为阳性; 急性淋巴细胞白血病的原、幼淋巴细胞PAS染色多为红色颗粒或块状阳性反应; 急性粒细胞白血病的原粒细胞呈阴性或胞质呈弥漫淡色阳性反应; 急性早幼粒细胞白血病 异常早幼粒细胞的PAS染色为阳性反应; 急性单核细胞白血病原、幼单核细胞PAS染色阳性反应呈弥漫分布的红色细颗粒,巨核细胞白血病原巨核细胞PAS染色呈阳性
糠秕孢子菌毛囊炎是由圆形或卵圆形糠秕孢子菌引起的毛囊炎改变,其皮损特征表现为圆顶状毛囊性丘疹或脓皰样损害。 临床表现 1.青壮年多见; 2.皮损好发于胸背和上臂; 3.皮损表现为圆顶状毛囊性丘疹或脓皰样损害,直径2-4mm,按痤疮治疗无效。 诊断依据 1.皮损好发于胸背、上臂; 2.典型皮损表现; 3.皮屑直接镜检可见短杆状菌丝及圆形孢子; 4.皮损组织病理(PAS染色)毛囊内可见大量圆形或卵圆形芽生孢子。 治疗
技术资料暂无技术资料 索取技术资料










