万千商家帮你免费找货
0 人在求购买到急需产品
- 详细信息
- 文献和实验
- 技术资料
风险提示:丁香通仅作为第三方平台,为商家信息发布提供平台空间。用户咨询产品时请注意保护个人信息及财产安全,合理判断,谨慎选购商品,商家和用户对交易行为负责。对于医疗器械类产品,请先查证核实企业经营资质和医疗器械产品注册证情况。
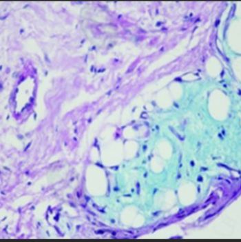
文献和实验AB-PSA染色步骤:
(1)脱蜡至水:二甲苯Ⅰ5分钟,二甲苯Ⅱ5分钟,二甲苯Ⅲ5分钟,无水乙醇1分钟,95%乙醇1分钟,75%乙醇1分钟,蒸馏水洗5分钟。
(2)滴加阿利新蓝染色液10-20分钟,蒸馏水洗3次,每次1-2分钟。
(3)放入氧化剂中进行氧化5分钟。自来水冲洗,蒸馏水浸洗2次。
(4)入Schiff染色液浸染10-20分钟。
(5)倾去Schiff染色液,流水冲洗10分钟。
(6)苏木素染色液染核1-2分钟,水洗。
(7)酸性分化液分化2-5秒,水洗。
(8)用Scott蓝化液返蓝3分钟,水洗3分钟。
(9)脱水透明:75%乙醇1分钟,95%乙醇1分钟,无水乙醇1分钟,二甲苯3次,每次1-2分钟,中性树胶封固。
不同血型还会影响中风的几率?新研究发现这种血型的人,在 60 岁前中风的风险更高……
600000 名从未经历过中风的健康对照人群的数据。在中风患者中,又分为早发性中风(发生在 60 岁之前的中风)和晚发性中风(发生在 60 岁以上)。 他们研究了所收集的遗传信息,以确定与中风相关的遗传变异,最终发现了早发性中风与一个染色体区域有关,这个染色体区域中包含了决定 ABO 血型的基因。 ABO 血型是根据人的红细胞膜上是否存在抗原 A 与抗原 B 而将血液分成 4 种血型。红细胞膜上仅有抗原 A 为 A 型血,只有抗原 B 为 B 型血,同时存在 A 和 B 抗原则为 AB 型血
连锁基因遗传规律(inheritance law of linkagegenes)
当决定两种性状的基因位于同一染色体上时的遗传规律。概括起来有如下三种情况: 完全连锁 只形成等量的亲本型配子。如在家蚕,已知黄色血液(A)对白色血液(a)呈显性,幼虫普通皮斑(B)对素白斑(b)呈显性, 与双隐性雄蚕测交,结果如下: 由于测交一代的表型类型和比例直接反映F1 产生的配子类型和比例,所以知道F1 只产生了亲本型配子(AB和ab),说明雌蚕的连锁基因属于完全连锁。因为两连锁基因所在的非姐妹染色单体之间
亦称双重交换。指在同源染色体上的两对基因之间发生两次交换的现象。根据四条染色单体中参与两次交换的染色单体的数目,可将双交换分为二线型、三线型和四线型。有关参与两次交换的染色单体各自独立地发生两次交换时,而二线型、三线型、四线型在双交换中所占的比例则为1∶2∶1。设在一条染色体上,有A、B、C三个基因,按ABC的顺序排列,AB间的交换值为x,BC间的交换值为y,那么,AC间的交换值应为x y。另外,AC两个基因间的重组值z则如下式: z=x y-2xy
技术资料暂无技术资料 索取技术资料










