相关产品推荐更多 >
万千商家帮你免费找货
0 人在求购买到急需产品
- 详细信息
- 文献和实验
- 技术资料
- 提供商:
天津国晟中源科技有限责任公司
- 服务名称:
Transwell侵袭实验
- 规格:
项
Transwell侵袭实验
Transwell侵袭实验是细胞生物学和分子生物学领域广泛应用的实验技术,专门用于深入研究肿瘤细胞的迁移、侵袭和转移能力。该实验通过模拟细胞在生理环境中的迁移过程,评估细胞在穿越多孔屏障时的迁移和侵袭能力。Transwell实验不仅有助于理解肿瘤细胞的转移机制,还可用于评估药物对细胞迁移和侵袭能力的影响。
一、原理:
Transwell侵袭实验的基本原理是用一层聚碳酸酯膜将高营养的培养液和低营养的培养液隔开,细胞接种到低营养的培养液里。通常,膜孔被Matrigel覆盖,模仿细胞在体内的生理环境。肿瘤细胞必须分泌水解酶并通过变形运动才能穿过铺有Matrigel的滤膜,计数进入下室的细胞量可反映肿瘤细胞的侵袭能力。
二、材料与仪器:
实验试剂:
细胞培养基、PBS、固定液、结晶紫染液、基质胶、胰酶、血清白蛋白、DMSO等
实验仪器:
细胞计数仪、离心机、CO2培养箱、倒置显微镜、移液枪和移液管、4℃和-20℃冰箱、6孔培养板、Transwell小室
三、实验步骤:
1、实验准备
提前将Matrigel基质胶从-20℃放入4℃冰箱过夜,融化成液体状态。
2、包被基底膜
Matrigel基质胶以适当比例(1:8)稀释后,冰上操作包被Transwell小室底部膜的上室面。37℃孵育使Matrigel凝固风干。
3、水化基底膜
吸出培养板中残余液体,每孔加入50μL无血清培养液,37℃孵育30分钟进行基底膜水化。
4、细胞处理
常规胰酶消化细胞,PBS洗涤1-2遍去除血清。用无血清培养基重悬细胞,调整细胞密度为5×10^5个/mL。
5、接种细胞
取适量细胞悬液加入Transwell小室上室。在24孔培养板下室内加入600μL含10% FBS的完全培养基,作为趋化因子。
6、细胞培养
将培养板置于37℃的CO2培养箱中,依据细胞侵袭能力培养12-48小时。
7、细胞固定与染色
取出小室,PBS淋洗2遍。用棉签小心擦去小室微孔膜上层内的细胞。在24孔板内用固定液固定20分钟,然后用结晶紫溶液染色15分钟。
8、细胞计数与统计
倒置显微镜下拍照,每个样本随机计数多个视野,取平均值进行统计分析。
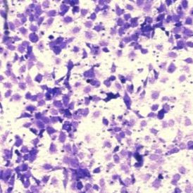
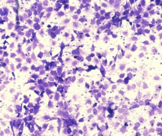
※实验示例:
Transwell侵袭实验
四、注意事项
1、细胞接种剂量
不同细胞的侵袭能力不同,需调整细胞接种数量,确保在收样时上室内仍有一定量的细胞存在。
2、避免气泡
在放置Transwell小室时,注意避免下层培养液和小室间产生气泡,气泡会减弱趋化作用。
3、检测时间点
培养时间主要依癌细胞侵袭能力而定,需根据细胞特性、处理因素等灵活选择。
4、操作细节
用棉签擦掉上室细胞时,注意不要蹭到已穿膜的细胞层。铺胶和加细胞时,注意冰上操作,避免Matrigel提前凝固。
5、饥饿处理
对于较难穿膜的细胞,可以在实验前进行饥饿处理12-24小时,以提高其穿膜能力。
风险提示:丁香通仅作为第三方平台,为商家信息发布提供平台空间。用户咨询产品时请注意保护个人信息及财产安全,合理判断,谨慎选购商品,商家和用户对交易行为负责。对于医疗器械类产品,请先查证核实企业经营资质和医疗器械产品注册证情况。
文献和实验(Membrane filters),也可认为是一种有通透性的支架(permeable supports)。更准确地说,Transwell应该是一种实验技术,这项技术的主要材料是Transwell小室(Transwell chamber,Transwell insert),其外形为一个可放置在孔板里的小杯子,不同厂家对Transwell会有不同的命名,而不同型号也可有不同形状,不同大小,根据实验需要,可有不同选择。阅读全文 Transwell 实验用品 我的课题涉及Transwell侵袭实验
加入 0.05%-0.2% BSA。03 细胞有侵袭能力的细胞才可用于 Transwell 侵袭实验。建议实验前先用酶谱法检测 MMPs 的表达,特别是 MMP-2 的表达。如果不清楚细胞 MMPs 的表达情况,就盲目进行 Transwell 侵袭实验,可能会造成不必要的浪费。另外,为了让实验结果更明显,可先撤血清让细胞饥饿 12-24 h,再进行实验。04 基质胶常用的是人工重构基底膜材料 Matrigel,主要成分为层黏连蛋白和 Ⅳ 型胶原。Matrigel 是一种细胞外基质,4℃时是液体,在 37℃会
基于阻抗的rtca细胞分析技术应用--Transwell侵袭实验
盖时,电信号能轻松穿过,这时阻抗值比较低。当细胞盖住电极时,能够通过的电信号就变少了,相应的阻抗值就会增大。当细胞死亡或者脱离电极时,阻抗值就会恢复到基线水平。 技术优势: 1.灵敏度高 能够检测出成像技术难以捕捉的、微小的细胞形态、构象变化; 2.长时间持续监测 不会错过药物反应时间框,在给药前可通过增殖曲线判断细胞状态; 3.无标记、原位 测量过程完全不会影响细胞生物学特性,无需优化抗体用量、染料浓度; 4.孵育时间等参数 自动采集数据,中间无需手动操作。 实验的一般流程
技术资料









