相关产品推荐更多 >
万千商家帮你免费找货
0 人在求购买到急需产品
- 详细信息
- 技术资料
- 提供商:
天津国晟中源科技有限责任公司
- 服务名称:
细胞转染实验
- 规格:
项
细胞转染实验
转染实验旨在将外源核酸(DNA或RNA)导入真核细胞中,从而改变细胞的遗传特性或研究基因表达。这项技术广泛应用于基因功能研究、蛋白表达、基因治疗等领域。
一、原理:
转染基于细胞膜的特性,通过物理、化学或生物方法将外源核酸送入细胞内。在细胞内,这些外源核酸可以被转录和翻译成蛋白质,或整合到细胞基因组中稳定表达。
转染分为瞬时转染和稳定转染,前者外源基因不整合到基因组,表达短暂;后者则整合到基因组,实现长期表达。
二、材料与仪器:
实验试剂:
培养基、血清、PBS、胰酶等。
实验仪器:
移液器、二氧化碳培养箱、倒置荧光显微镜、荧光酶标仪、超净工作台、离心机等。
三、实验步骤:
1、转染前一天,在6孔板中接种细胞悬液1 mL/孔,细胞的接种数量为5x10^5个细胞/孔,1 mL 含 FBS和抗生素的 DMEM细胞培养基;
2、24小时内细胞汇合达到 60-80%,用于转染;
3、将siRNA-Mate转染试剂放置于室温中,使用前轻轻混匀;
4、将200 μL 无血清培养基加入无菌EP管中;在EP管中加入100 pmol待转染的siRNA,并充分混匀。随后在管子中加入10 μL siRNA-Mate转染试剂,快速涡旋10s使其完全混匀;
5、室温静置10分钟,使siRNA和转染试剂形成转染复合物。静置时间在30分钟内。
6、趁静置时,给6孔板换液,每孔换上1.8 mL预热的新鲜培养基;
7、将静置完毕的200 μL转染复合物加入孔中。
8、37℃静置培养细胞,24h后收细胞检测基因沉默水平及各组指标表达情况。
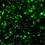
※实验示例:
转染敲低
转染过表达
四、注意事项
1、质粒质量:
使用高纯度、无菌、无内毒素的质粒进行转染,以确保转染效率和细胞健康。
2、转染条件优化:
通过预实验确定最佳的转染条件,包括转染试剂与质粒的比例、细胞密度、转染时间等。
3、无菌操作:
整个转染过程应在无菌条件下进行,避免污染。
风险提示:丁香通仅作为第三方平台,为商家信息发布提供平台空间。用户咨询产品时请注意保护个人信息及财产安全,合理判断,谨慎选购商品,商家和用户对交易行为负责。对于医疗器械类产品,请先查证核实企业经营资质和医疗器械产品注册证情况。
技术资料








