相关产品推荐更多 >
万千商家帮你免费找货
0 人在求购买到急需产品
- 详细信息
- 文献和实验
- 技术资料
- 提供商:
天津国晟中源科技有限责任公司
- 服务名称:
细胞划痕实验
- 规格:
项
细胞划痕实验
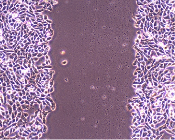
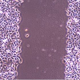
细胞划痕实验(Wound Healing Assay 或 Cell Scratch Assay)是一种常用的体外实验方法,用于研究细胞迁移、修复能力和细胞间相互作用。该实验通过在细胞单层上制造划痕,并定时观察细胞向划痕区域迁移的情况,从而评估细胞的迁移能力。这种方法操作简单,经济实惠,广泛应用于肿瘤侵袭、伤口愈合等研究领域。
一、原理:
细胞划痕实验的基本原理是:在细胞融合成单层后,使用工具(如细胞刮刀)在细胞单层上制造一个空白区域(划痕),通过去除划痕边缘的细胞来创建一个“伤口”。随后,在培养过程中观察划痕边缘的细胞如何逐渐进入空白区域,使“伤口”愈合。通过测量划痕宽度的变化,可以反映细胞的迁移速度和修复能力。
二、材料与仪器:
实验试剂:
细胞培养基、FBS(胎牛血清)、PBS(磷酸盐缓冲液)、胰酶、无血清培养基
实验仪器:
细胞计数仪、离心机、CO2培养箱、倒置显微镜、移液枪和移液管、4℃和-20℃冰箱、6孔培养板、细胞刮刀或200微升枪头
三、实验步骤:
1、准备细胞:
实验前一天,将细胞接种在培养板或皿中,并确保细胞处于对数生长期。细胞接种数量需根据细胞生长速度和状态而定,以确保过夜后细胞融合率达到80%~90%。
2、划痕前准备:
在培养板或皿背后用marker笔和直尺划横线作为参考,便于后续划痕和拍照。
3、划痕:
当细胞达到适当密度时,使用细胞刮刀或枪头在培养表面制造划痕。确保划痕清晰、整齐,且深度适中,避免损伤细胞。
4、洗涤:
用PBS轻轻冲洗细胞,去除划下的细胞和杂质。冲洗时要温柔,避免冲掉单层细胞。
5、更换培养基:
将普通细胞培养基更换为无血清或低血清(<2%)培养基,以抑制细胞增殖并促进迁移。
6、开始计时与观察:
在显微镜下观察并记录划痕开始时的状态。每隔一定时间(如6h、12h、24h)对划痕进行拍照,记录细胞迁移情况。
7、数据分析:
使用Image J等软件打开图片,随机划取多条水平线,计算细胞间距离的均值或划痕面积均值。
计算细胞迁移率(伤口愈合率)=(初始划痕面积-t时刻划痕面积)/初始划痕面积。
※实验示例:

细胞划痕实验
四、注意事项
1、保持恒温:
实验过程中,确保培养环境温度稳定,以避免温度变化对细胞迁移的影响。
2、细胞密度控制:
避免细胞过密或过稀,确保细胞处于合适的密度,以提高实验结果的准确性。
3、培养基选择:
使用无血清或低血清培养基以抑制细胞增殖,但需注意无血清培养可能影响细胞迁移速度。
4、实验重复:
为了获得可靠的结果,建议至少进行三次重复实验,并进行统计学分析。
5、气泡排除:
在操作过程中注意排除培养皿中的气泡,以免影响实验结果。
风险提示:丁香通仅作为第三方平台,为商家信息发布提供平台空间。用户咨询产品时请注意保护个人信息及财产安全,合理判断,谨慎选购商品,商家和用户对交易行为负责。对于医疗器械类产品,请先查证核实企业经营资质和医疗器械产品注册证情况。
文献和实验材料: 6孔板 marker笔 直尺 20微升枪头(灭菌) 无血清培养基 PBS 准备: 所有能灭菌的器械都要灭菌,直尺和marker笔在操作前紫外照射30min(超净台内) 流程: 1、先用marker笔在6孔板背后,用直尺比着,均匀地划横线,大约每隔0.5~1cm一道,横穿过孔。每孔至少穿过5条线。 2、在空中加入约5X105个细胞,具体数量因细胞不同而不同,掌握为过夜能铺满。 3、第二天用枪头比着直尺,尽量垂直于背后的横线划痕,枪头
质解聚。很多重大研究已经将 PAD 确定为与癌症,自身免疫性疾病(类风湿性关节炎)和炎性疾病等许多人类疾病相关的药物发现项目的重要靶位。实验材料PAD Cocktail, Active(#P312-37C ): 10µl Active PAD Cocktail (包含 5 µg 总 PAD 蛋白)用 20ul PAD cocktail 稀释缓冲液进行稀释;抗-GST 抗体交联的 Agarose Beads: 可购买商品化产品或实验室自制;PAD cocktail 稀释缓冲液:推荐配方为 0.1M
如图选择smooth5.寻找边缘 如图 选择6.调整阈值 如图 两个值分别调整为0 20后apply(图上 我弄得是0 18)7.最后一步 就可以选择区域啦 选择魔棒工具 选出划痕区域8.计算面积第一次发帖 如有不对 请批评指正在园子里看到一句话 很好 实验是简单的,道路是曲折的,时间就是用来浪费的,科研就是自娱自乐使劲折腾。最近实验不顺,希望攒攒人品!











